Shopping Cart
Remove All
Your shopping cart is currently empty
Anti-TKTL1 Polyclonal Antibody is a Rabbit antibody targeting TKTL1. Anti-TKTL1 Polyclonal Antibody can be used in IF,IHC-Fr,IHC-P,WB.
| Pack Size | Price | USA Stock | Global Stock | Quantity |
|---|---|---|---|---|
| 50 μL | $222 | 7-10 days | 7-10 days | |
| 100 μL | $373 | 7-10 days | 7-10 days | |
| 200 μL | $528 | 7-10 days | 7-10 days |
| Description | Anti-TKTL1 Polyclonal Antibody is a Rabbit antibody targeting TKTL1. Anti-TKTL1 Polyclonal Antibody can be used in IF,IHC-Fr,IHC-P,WB. |
| Synonyms | Transketolase2, Transketolase related protein, Transketolase like protein 1, Transketolase like 1, Transketolase 2, TKTL 1, TKT2, TKT 2, TKR, TK2, TK 2 |
| Ig Type | IgG |
| Reactivity | Human,Mouse,Rat (predicted:Dog,Pig,Cow,Horse,Rabbit,Sheep) |
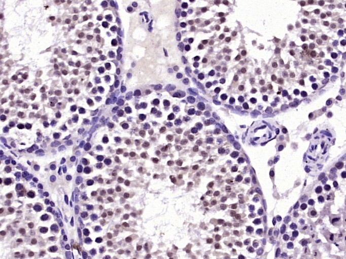
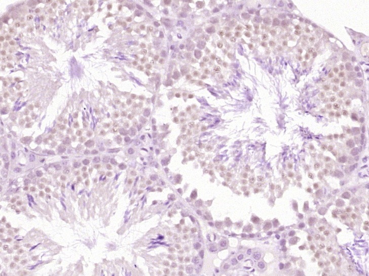
| Verified Activity | 1. Paraformaldehyde-fixed, paraffin embedded (Mouse testis); Antigen retrieval by boiling in sodium citrate buffer (pH6.0) for 15 min; Block endogenous peroxidase by 3% hydrogen peroxide for 20 min; Blocking buffer (normal goat serum) at 37°C for 30 min; Antibody incubation with (TKTL1) Polyclonal Antibody, Unconjugated (TMAB-01849) at 1:400 overnight at 4°C, followed by operating according to SP Kit (Rabbit) instructions and DAB staining. 2. Paraformaldehyde-fixed, paraffin embedded (Rat testis); Antigen retrieval by boiling in sodium citrate buffer (pH6.0) for 15 min; Block endogenous peroxidase by 3% hydrogen peroxide for 20 min; Blocking buffer (normal goat serum) at 37°C for 30 min; Antibody incubation with (TKTL1) Polyclonal Antibody, Unconjugated (TMAB-01849) at 1:400 overnight at 4°C, followed by operating according to SP Kit (Rabbit) instructions and DAB staining. 3. Sample: 293t (Human) Cell Lysate at 30 μg A431 (Human) Cell Lysate at 30 μg Primary: Anti-TKTL1 (TMAB-01849) at 1/1000 dilution Secondary: IRDye800CW Goat Anti-Rabbit IgG at 1/20000 dilution Predicted band size: 65 kDa Observed band size: 65 kDa 4. Sample: Testis (Mouse) Lysate at 40 μg Primary: Anti-TKTL1 (TMAB-01849) at 1/1000 dilution Secondary: IRDye800CW Goat Anti-Rabbit IgG at 1/20000 dilution Predicted band size: 65 kDa Observed band size: 65 kDa ![]() ![]() ![]() ![]() |
| Application | |
| Recommended Dose | WB: 1:500-2000; IHC-P: 1:100-500; IHC-Fr: 1:100-500; IF: 1:100-500 |
| Antibody Type | Polyclonal |
| Host Species | Rabbit |
| Subcellular Localization | Cytoplasm. Nucleus. Note=Predominantly cytoplasmic and to a lesser extent also nuclear. |
| Tissue Specificity | Expressed in fetal and adult heart, brain, lung, liver, and kidney, and in adult placenta, skeletal muscle and pancreas. Up-regulated in various epithelial tumors. |
| Construction | Polyclonal Antibody |
| Purification | Protein A purified |
| Appearance | Liquid |
| Formulation | 0.01M TBS (pH7.4) with 1% BSA, 0.02% Proclin300 and 50% Glycerol. |
| Concentration | 1 mg/mL |
| Research Background | The protein encoded by this gene is a transketolase that acts as a homodimer and catalyzes the conversion of sedoheptulose 7-phosphate and D-glyceraldehyde 3-phosphate to D-ribose 5-phosphate and D-xylulose 5-phosphate. This reaction links the pentose phosphate pathway with the glycolytic pathway. Variations in this gene may be the cause of Wernicke-Korsakoff syndrome. Three transcript variants encoding different isoforms have been found for this gene. |
| Immunogen | KLH conjugated synthetic peptide: human TKTL1 |
| Antigen Species | Human |
| Gene Name | TKTL1 |
| Gene ID | |
| Protein Name | Transketolase-like protein 1 |
| Uniprot ID | |
| Biology Area | Enzymes,Energy Metabolism,Energy Metabolism |
| Function | Catalyzes the transfer of a two-carbon ketol group from a ketose donor to an aldose acceptor, via a covalent intermediate with the cofactor thiamine pyrophosphate. |
| Molecular Weight | Theoretical: 65 kDa. Actual: 65 kDa. |
| Stability & Storage | Store at -20°C or -80°C for 12 months. Avoid repeated freeze-thaw cycles. |
| Transport | Shipping with blue ice. |
| Size | Quantity | Unit Price | Amount | Operation |
|---|

Copyright © 2015-2026 TargetMol Chemicals Inc. All Rights Reserved.