Shopping Cart
Remove All
Your shopping cart is currently empty
Synonyms: WWTR1, WWTR 1, WW domain containing transcription regulator protein 1, WW domain containing transcription regulator 1, Transcriptional coactivator with PDZ binding motif, Transcriptional co activator with PDZ binding motif
| Pack Size | Price | USA Stock | Global Stock | Quantity |
|---|---|---|---|---|
| 50 μL | $221 | 7-10 days | 7-10 days | |
| 100 μL | $373 | 7-10 days | 7-10 days | |
| 200 μL | $529 | 7-10 days | 7-10 days |
| Description | Anti-TAZ Polyclonal Antibody is a Rabbit antibody targeting Sodium Potassium ATPase. Anti-TAZ Polyclonal Antibody can be used in FCM,IF,IHC-Fr,IHC-P,WB. |
| Synonyms | WWTR1, WWTR 1, WW domain containing transcription regulator protein 1, WW domain containing transcription regulator 1, Transcriptional coactivator with PDZ binding motif, Transcriptional co activator with PDZ binding motif |
| Ig Type | IgG |
| Reactivity | Human,Mouse,Rat(predicted:Pig,Sheep,Cow,Dog,Horse) |
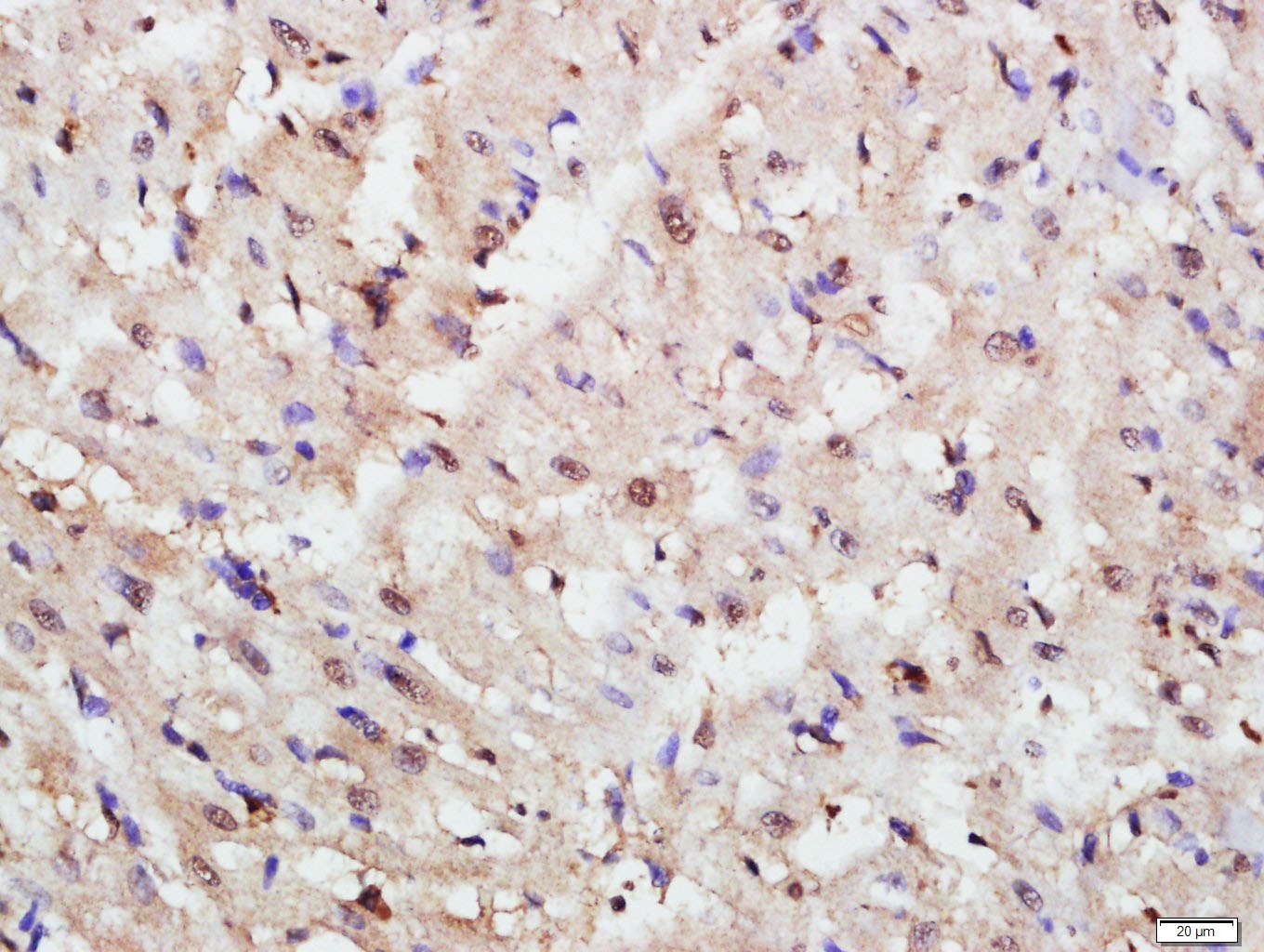
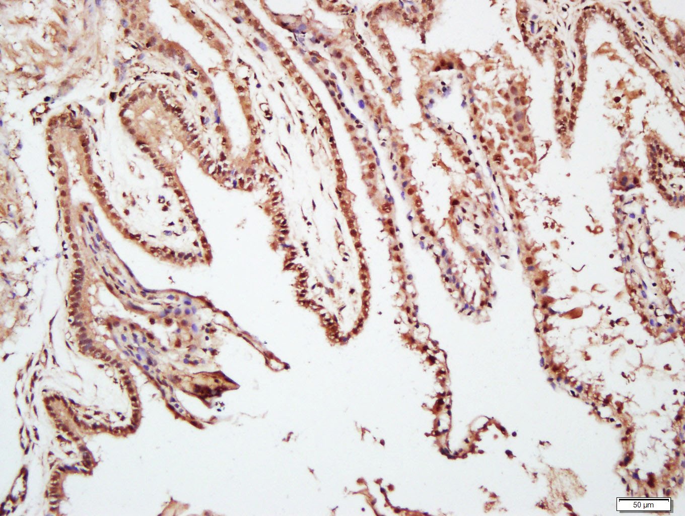
| Verified Activity | 1. Paraformaldehyde-fixed, paraffin embedded (rat heart); Antigen retrieval by boiling in sodium citrate buffer (pH6.0) for 15 min; Block endogenous peroxidase by 3% hydrogen peroxide for 20 min; Blocking buffer (normal goat serum) at 37°C for 30 min; Antibody incubation with (TAZ) Polyclonal Antibody, Unconjugated (TMAB-01810) at 1:400 overnight at 4°C, followed by a conjugated secondary for 20 min and DAB staining. 2. Paraformaldehyde-fixed, paraffin embedded (mouse placenta); Antigen retrieval by boiling in sodium citrate buffer (pH6.0) for 15 min; Block endogenous peroxidase by 3% hydrogen peroxide for 20 min; Blocking buffer (normal goat serum) at 37°C for 30 min; Antibody incubation with (TAZ) Polyclonal Antibody, Unconjugated (TMAB-01810) at 1:400 overnight at 4°C, followed by a conjugated secondary for 20 min and DAB staining. 3. Sample: MCF-7 (Human) Cell Lysate at 40 μg LOVO (Human) CellLysate at 40 μg A549 (Human) CellLysate at 40 μg Primary: Anti-TAz (TMAB-01810) at 1/300 dilution Secondary: IRDye800CW Goat Anti-RabbitIgG at 1/20000 dilution Predicted band size: 44 kDa Observed band size: 46 kDa 4. Blank control: A549. Primary Antibody (green line): Rabbit Anti-TAZ antibody (TMAB-01810) Dilution: 1 μg/10^6 cells; Isotype Control Antibody (orange line): Rabbit IgG. Secondary Antibody: Goat anti-rabbit IgG-PE Dilution: 3 μg/test. Protocol The cells were fixed with 4% PFA (10 min at room temperature) and then permeabilized with 90% ice-cold methanol for 20 min at-20°C. The cells were then incubated in 5% BSA to block non-specific protein-protein interactions for 30 min at at room temperature. Cells stained with Primary Antibody for 30 min at room temperature. The secondary antibody used for 40 min at room temperature. 5. Sample: Lane 1: Kidney (Mouse) Lysate at 40 μg Lane 2: Kidney (Rat) Lysate at 40 μg Primary: Anti-TAZ (TMAB-01810) at 1/1000 dilution Anti-beta-Actin at 1/2000 dilution Secondary: IRDye800CW Goat Anti-Rabbit IgG at 1/20000 dilution Predicted band size: 50-55 kDa Observed band size: 52 kDa |
| Application | |
| Recommended Dose | WB: 1:500-2000; IHC-P: 1:100-500; IHC-Fr: 1:100-500; IF: 1:100-500; FCM: 3ug/test |
| Antibody Type | Polyclonal |
| Host Species | Rabbit |
| Subcellular Localization | Nucleus. Cytoplasm. Concentrates along specific portions of the plasma membrane, and accumulates in punctate nuclear bodies. |
| Tissue Specificity | Highly expressed in kidney, heart, placenta and lung. Expressed in the thyroid tissue. |
| Construction | Polyclonal Antibody |
| Purification | Protein A purified |
| Appearance | Liquid |
| Formulation | 0.01M TBS (pH7.4) with 1% BSA, 0.02% Proclin300 and 50% Glycerol. |
| Concentration | 1 mg/mL |
| Research Background | The transcriptional co-activator with PDZ-binding motif (TAZ) is a 14-3-3-binding molecule. The highly conserved and ubiquitously expressed 14-3-3 proteins regulate differentiation, cell cycle progression and apoptosis by binding intracellular phosphoproteins involved in signal transduction. TAZ may link events at the plasma membrane and cytosketeton to nuclear transcription in a manner that can be regulated by 14-3-3. TAZ shares homology with the WW domain of Yes-associated protein (YAP) and functions as a transcriptional co-activator by binding to the PPXY motif present on transcription factors. TAZ recognizes immunoreactive protein bands in lysates from MDCK, NIH-3T3 and 293T cells. In addition, COS7, Hep G2, CHO and HeLa cells express endogenous TAZ. 14-3-3 binding requires TAZ phosphorylation on a single Serine 89 residue, resulting in the inhibition of TAZ transcriptional co-activation through 14-3-3-mediated nuclear export. |
| Immunogen | KLH conjugated synthetic peptide: human TAZ |
| Antigen Species | Human |
| Gene Name | WWTR1 |
| Gene ID | |
| Protein Name | WW domain-containing transcription regulator protein 1 |
| Uniprot ID | |
| Function | Transcriptional coactivator which acts as a downstream regulatory target in the Hippo signaling pathway that plays a pivotal role in organ size control and tumor suppression by restricting proliferation and promoting apoptosis. The core of this pathway is composed of a kinase cascade wherein MST1/MST2, in complex with its regulatory protein SAV1, phosphorylates and activates LATS1/2 in complex with its regulatory protein MOB1, which in turn phosphorylates and inactivates YAP1 oncoprotein and WWTR1/TAZ. WWTR1 enhances PAX8 and NKX2-1/TTF1-dependent gene activation. Regulates the nuclear accumulation of SMADS and has a key role in coupling them to the transcriptional machinery such as the mediator complex. Regulates embryonic stem-cell self-renewal, promotes cell proliferation and epithelial-mesenchymal transition. |
| Molecular Weight | Theoretical: 44 kDa. Actual: 48-52 kDa. |
| Stability & Storage | Store at -20°C or -80°C for 12 months. Avoid repeated freeze-thaw cycles. |
| Transport | Shipping with blue ice. |
| Size | Quantity | Unit Price | Amount | Operation |
|---|

Copyright © 2015-2026 TargetMol Chemicals Inc. All Rights Reserved.