Shopping Cart
Remove All
Your shopping cart is currently empty
Synonyms: SPTAN1, SPTA2, Spectrin, non-erythroid alpha subunit, Spectrin alpha chain, non-erythrocytic 1, non-erythrocytic 1, NEAS, Fodrin alpha chain, Alpha-II spectrin
Anti-SPTAN1 Antibody
(8O990)
| Pack Size | Price | USA Stock | Global Stock | Quantity |
|---|---|---|---|---|
| 50 µL | $296 | 7-10 days | 7-10 days | |
| 100 µL | $498 | 7-10 days | 7-10 days |
| Description | Anti-SPTAN1 Antibody (8O990) is a Rabbit antibody targeting SPTAN1. Anti-SPTAN1 Antibody (8O990) can be used in IHC,WB. |
| Synonyms | SPTAN1, SPTA2, Spectrin, non-erythroid alpha subunit, Spectrin alpha chain, non-erythrocytic 1, non-erythrocytic 1, NEAS, Fodrin alpha chain, Alpha-II spectrin |
| Ig Type | IgG |
| Clone | 8O990 |
| Reactivity | Human,Mouse,Rat |
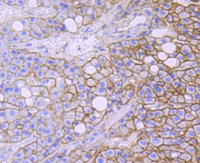
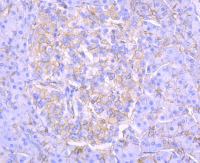
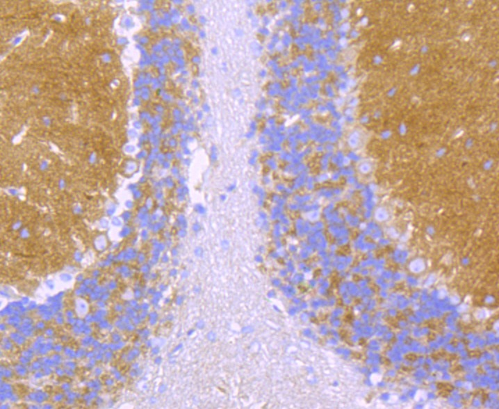
| Verified Activity | 1. Western blot analysis of Alpha Fodrin on different lysates using anti-Alpha Fodrin antibody at 1/500 dilution.Positive control:Lane 1: Hela, Lane 2: Jurkat, Lane 3: NIH-3T3, Lane 4:Rat brain, Lane 5:Mouse brain. 2. Immunohistochemical analysis of paraffin-embedded human liver cancer tissue using anti-Alpha Fodrin antibody. Counter stained with hematoxylin. 3. Immunohistochemical analysis of paraffin-embedded human pancreas tissue using anti-Alpha Fodrin antibody. Counter stained with hematoxylin. 4. Immunohistochemical analysis of paraffin-embedded mouse cerebellum tissue using anti-Alpha Fodrin antibody. Counter stained with hematoxylin. , , ,![]() |
| Application | |
| Recommended Dose | WB: 1:500-2000; IHC: 1:50-200 |
| Antibody Type | Monoclonal |
| Host Species | Rabbit |
| Construction | Recombinant Antibody |
| Purification | ProA affinity purified |
| Appearance | Liquid |
| Formulation | 1*TBS (pH7.4), 1%BSA, 40%Glycerol. Preservative: 0.05% Sodium Azide. |
| Research Background | Alpha Fodrin also named Spectrin. Spectrin, an actin binding protein that is a major component of the cytoskeletal superstructure of the erythrocyte plasma membrane, is essential in determining the properties of the membrane including its shape and deformability. Spectrins function as membrane organizers and stabilizers, composed of nonhomologous α and β chains, which aggregate side-to-side in an antiparallel fashion to form dimers, tetramers, and higher polymers. Spectrin α I and spectrin β I are present in erythrocytes, whereas spectrin α II (also designated fodrin α) and spectrin β II (also designated fodrin β) are present in other somatic cells. The spectrin tetramers in erythrocytes act as barriers to lateral diffusion, but spectrin dimers seem to lack this function. Activation of calpain results in the breakdown of spectrin α II, a neuronal cytoskeleton protein. |
| Conjucates | Unconjugated |
| Immunogen | Recombinant Protein |
| Uniprot ID |
| Molecular Weight | Theoretical: 285/150 kDa. |
| Stability & Storage | Store at -20°C or -80°C for 12 months. Avoid repeated freeze-thaw cycles. |
| Transport | Shipping with blue ice. |
| Size | Quantity | Unit Price | Amount | Operation |
|---|

Copyright © 2015-2026 TargetMol Chemicals Inc. All Rights Reserved.