Shopping Cart
Remove All
Your shopping cart is currently empty
Anti-RING1 Antibody (1C89) is a Mouse antibody targeting RING1. Anti-RING1 Antibody (1C89) can be used in FCM,IHC,WB.
| Pack Size | Price | USA Warehouse | Global Warehouse | Quantity |
|---|---|---|---|---|
| 50 μL | $296 | 7-10 days | 7-10 days | |
| 100 μL | $428 | 7-10 days | 7-10 days |
| Description | Anti-RING1 Antibody (1C89) is a Mouse antibody targeting RING1. Anti-RING1 Antibody (1C89) can be used in FCM,IHC,WB. |
| Synonyms | Transcription repressor Ring1A, Rnf1, RING1A, Ring1A, RING1_HUMAN, RING finger protein 1, Ring 1, Really interesting new gene 1 protein, Polycomb complex protein RING1, E3 ubiquitin-protein ligase RING1 |
| Clone | 1C89 |
| Reactivity | Human |
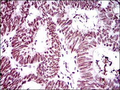
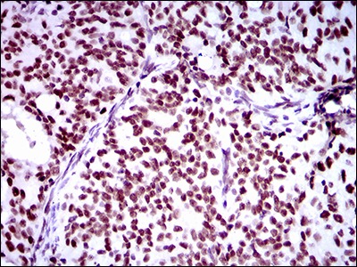
| Verified Activity | 1. Western blot analysis of Ring1 on human Ring1 recombinant protein using anti-Ring1 antibody at 1/1,000 dilution. 2. Western blot analysis of Ring1 on HEK293 (1) and Ring1-hIgGFc transfected HEK293 (2) cell lysate using anti-Ring1 antibody at 1/1,000 dilution. 3. Western blot analysis of Ring1 on different cell lysate using anti-Ring1 antibody at 1/1,000 dilution. Positive control: Line1: MOLT-4, Line2: LNCaP, Line3: Hela, Line4: HEK-293, Line5: Jurkat. 4. Immunohistochemical analysis of paraffin-embedded human cervical cancer tissue using anti-Ring1 antibody. Counter stained with hematoxylin. 5. Immunohistochemical analysis of paraffin-embedded human rectum cancer tissue using anti-Ring1 antibody. Counter stained with hematoxylin. 6. Flow cytometric analysis of Hela cells with Ring1 antibody at 1/100 dilution (green) compared with an unlabelled control (cells without incubation with primary antibody; red). ![]() ![]() ![]() ![]() ![]() ![]() |
| Application | |
| Recommended Dose | WB: 1:500-1000; IHC: 1:100-200; FCM: 1:100-200 |
| Antibody Type | Monoclonal |
| Host Species | Mouse |
| Construction | Hybridoma Monoclonal Antibody |
| Purification | ProA affinity purified |
| Appearance | Liquid |
| Formulation | 1*TBS (pH7.4), 1%BSA, 40%Glycerol. Preservative: 0.05% Sodium Azide. |
| Research Background | In Drosophila, the Polycomb (PcG) gene family encodes chromatin proteins that are required for the repression of homeotic loci during embryonic development. The human PcG homologues form two distinct multimeric protein complexes, the EED/EZH protein complex and the HPC/HPH protein complex, which have mutually exclusive expression patterns. The HPC/HPH PcG complex contains the human polycomb 2 (HPC2), human polyhomeotic (HPH), Bmi-1 and RING1 proteins. The human RING1 gene, which is proximal to the major histocompatibility complex region on chromosome six, encodes for a protein that contains a RING finger motif, a zinc-binding domain found in many regulatory proteins, but unlike the other human PcG genes, RING1 displays no homology to known Drosophila PcG genes. RING1 strongly represses En-2, the mammalian homolog of the Drosophila engrailed gene, and when overexpressed, it mediates an increase in the expression of proto-oncogenes, such as c-Jun and c-fos. Also, loss of RING1 and Bmi-1 expression correlates with the differentiation of B cells, which suggests a role for RING1 in germinal center development. |
| Conjucates | Unconjugated |
| Immunogen | Recombinant Protein |
| Uniprot ID |
| Molecular Weight | Theoretical: 50 kDa. |
| Stability & Storage | Store at -20°C or -80°C for 12 months. Avoid repeated freeze-thaw cycles. |
| Transport | Shipping with blue ice. |
| Size | Quantity | Unit Price | Amount | Operation |
|---|

Copyright © 2015-2026 TargetMol Chemicals Inc. All Rights Reserved.