Shopping Cart
Remove All
Your shopping cart is currently empty
Synonyms: recombination protein A, RecA, E. coli, homolog of, RecA like protein, RecA homolog E. coli, RECA, RAD51A, RAD51 S cerevisiae homolog, RAD51 homolog(RecA homolog, E. coli)(S. cerevisiae), RAD51 homolog S. cerevisiae, RAD51 homolog, Rad 51, HsT16930, HsRad51, HRAD51, homolog of S cerevisiae RAD51, Homolog of E coli RecA, HGNC:9817, E coli RecA homolog, DNA repair protein rhp51, DNA repair protein RAD51 homolog 1, BRCC5, BRCC 5, BRCA1/BRCA2 containing complex, subunit 5
| Pack Size | Price | USA Stock | Global Stock | Quantity |
|---|---|---|---|---|
| 50 μL | $298 | 7-10 days | 7-10 days | |
| 100 μL | $496 | 7-10 days | 7-10 days |
| Description | Anti-RAD51 Antibody (4A386) is a Rabbit antibody targeting RAD51. Anti-RAD51 Antibody (4A386) can be used in FCM,ICC/IF,IHC,IP,WB. |
| Synonyms | recombination protein A, RecA, E. coli, homolog of, RecA like protein, RecA homolog E. coli, RECA, RAD51A, RAD51 S cerevisiae homolog, RAD51 homolog(RecA homolog, E. coli)(S. cerevisiae), RAD51 homolog S. cerevisiae, RAD51 homolog, Rad 51, HsT16930, HsRad51, HRAD51, homolog of S cerevisiae RAD51, Homolog of E coli RecA, HGNC:9817, E coli RecA homolog, DNA repair protein rhp51, DNA repair protein RAD51 homolog 1, BRCC5, BRCC 5, BRCA1/BRCA2 containing complex, subunit 5 |
| Ig Type | IgG |
| Clone | 4A386 |
| Reactivity | Human,Mouse,Rat |
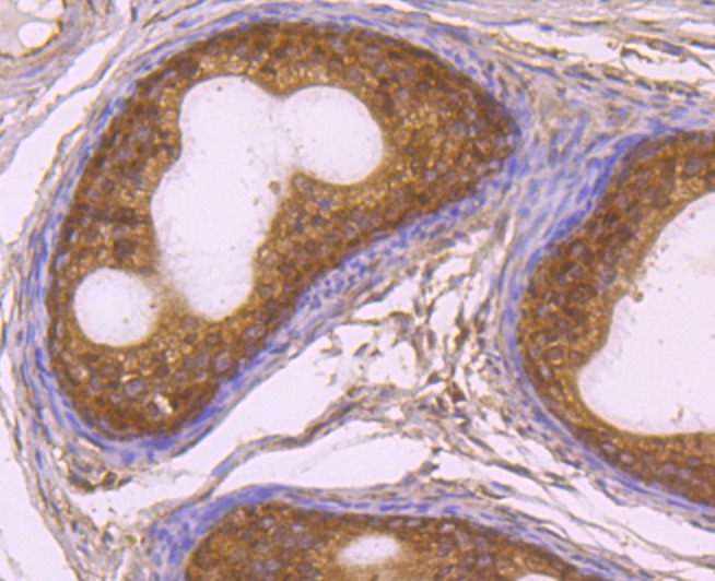
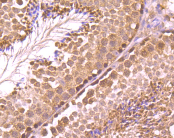
| Verified Activity | 1. Western blot analysis of Rad51 on mouse testie tissue lytase using anti-Rad51 antibody at 1/1,000 dilution. 2. Immunohistochemical analysis of paraffin-embedded rat epididymis tissue using anti-Rad51 antibody. Counter stained with hematoxylin. 3. Immunohistochemical analysis of paraffin-embedded human placenta tissue using anti-Rad51 antibody. Counter stained with hematoxylin. 4. Immunohistochemical analysis of paraffin-embedded mouse testis tissue using anti-Rad51 antibody. Counter stained with hematoxylin. 5. ICC staining Rad51 in Hela cells (green). The nuclear counter stain is DAPI (blue). Cells were fixed in paraformaldehyde, permeabilised with 0.25% Triton X100/PBS. 6. ICC staining Rad51 in LOVO cells (green). The nuclear counter stain is DAPI (blue). Cells were fixed in paraformaldehyde, permeabilised with 0.25% Triton X100/PBS. 7. ICC staining Rad51 in PANC-1 cells (green). The nuclear counter stain is DAPI (blue). Cells were fixed in paraformaldehyde, permeabilised with 0.25% Triton X100/PBS. 8. Flow cytometric analysis of Jurkat cells with Rad51 antibody at 1/100 dilution (red) compared with an unlabelled control (cells without incubation with primary antibody; black). |
| Application | |
| Recommended Dose | WB: 1:500; IHC: 1:50-200; ICC/IF: 1:50-200; IP: 1:10-50; FCM: 1:50-100 |
| Antibody Type | Monoclonal |
| Host Species | Rabbit |
| Construction | Recombinant Antibody |
| Purification | ProA affinity purified |
| Appearance | Liquid |
| Formulation | 1*TBS (pH7.4), 1%BSA, 40%Glycerol. Preservative: 0.05% Sodium Azide. |
| Research Background | Rad51 (RECA, BRCC5) interacts with BRCA1 and BRCA2 to influence subcellular localization and cellular response to DNA damage. BRCA2 inactivation may be a key event leading to genomic instability and tumorigenesis from deregulation of Rad51. Rad52 forms a heptameric ring that binds single-stranded DNA ends and catalyzes DNA-DNA interaction necessary for the annealing of complementary strands. Rad52 can interact with Rad51. Rad54A of the DEAD-like helicase superfamily binds to double-strand DNA and induces a DNA topological change, which is thought to facilitate homologous DNA pairing and stimulate DNA recombination. Rad54B of the DEAD-like helicase superfamily binds to double-stranded DNA and displays ATPase activity in the presence of DNA. Rad54B is abundant in testis and spleen, and mutations of this gene occur in primary lymphoma and colon cancer. MRE11 (meiotic recombination 11, ATLD, HNGS1) is a nuclear 3??-5?? exonuclease/endonuclease that associates with Rad50 and influences homologous recombination, telomere length maintenance, and DNA double-strand break repair. MRE11 is most abundant in proliferating tissues. |
| Conjucates | Unconjugated |
| Immunogen | Recombinant Protein |
| Uniprot ID |
| Molecular Weight | Theoretical: 37 kDa. |
| Stability & Storage | Store at -20°C or -80°C for 12 months. Avoid repeated freeze-thaw cycles. |
| Transport | Shipping with blue ice. |
| Size | Quantity | Unit Price | Amount | Operation |
|---|

Copyright © 2015-2026 TargetMol Chemicals Inc. All Rights Reserved.