Shopping Cart
- Remove All
 Your shopping cart is currently empty Your shopping cart is currently empty
Anti-PRKN Polyclonal Antibody is a Rabbit antibody targeting PRKN. Anti-PRKN Polyclonal Antibody can be used in IF,IHC-Fr,IHC-P,WB.
| Pack Size | Price | Availability | Quantity | 
|---|---|---|---|
| 50 μL | $221 | 7-10 days | |
| 100 μL | $374 | 7-10 days | |
| 200 μL | $529 | 7-10 days | 
| Description | Anti-PRKN Polyclonal Antibody is a Rabbit antibody targeting PRKN. Anti-PRKN Polyclonal Antibody can be used in IF,IHC-Fr,IHC-P,WB. | 
| Synonyms | PRKN, Parkinson juvenile disease protein 2 (Parkinson disease protein 2), Parkin RBR E3 ubiquitin-protein ligase, Parkin, PARK2, E3 ubiquitin-protein ligase parkin | 
| Ig Type | IgG | 
| Reactivity | Human,Mouse (predicted:Rat,Pig,Cow,Sheep) | 
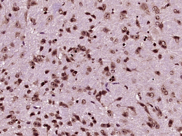
| Verified Activity | 1. Sample:  Lane 1: Mouse Brain Lysates Lane 2: Mouse Cerebellum Lysates Lane 3: Mouse Hippocampus Lysates Primary: Anti-Parkin (TMAB-01573) at 1/1000 dilution Secondary: IRDye800CW Goat Anti-Rabbit IgG at 1/20000 dilution Predicted band size: 51 kDa Observed band size: 51 kDa 2. Paraformaldehyde-fixed, paraffin embedded (human brain glioma); Antigen retrieval by boiling in sodium citrate buffer (pH6.0) for 15 min; Block endogenous peroxidase by 3% hydrogen peroxide for 20 min; Blocking buffer (normal goat serum) at 37°C for 30 min; Antibody incubation with (Parkin) Polyclonal Antibody, Unconjugated (TMAB-01573) at 1:400 overnight at 4°C, followed by operating according to SP Kit (Rabbit) instructionsand DAB staining. 3. Paraformaldehyde-fixed, paraffin embedded (Mouse brain); Antigen retrieval by boiling in sodium citrate buffer (pH6.0) for 15 min; Block endogenous peroxidase by 3% hydrogen peroxide for 20 min; Blocking buffer (normal goat serum) at 37°C for 30 min; Antibody incubation with (Parkin) Polyclonal Antibody, Unconjugated (TMAB-01573) at 1:400 overnight at 4°C, followed by operating according to SP Kit (Rabbit) instructions and DAB staining.    | 
| Application | |
| Recommended Dose | WB: 1:500-2000; IHC-P: 1:100-500; IHC-Fr: 1:100-500; IF: 1:100-500 | 
| Antibody Type | Polyclonal | 
| Host Species | Rabbit | 
| Subcellular Localization | Cytoplasm, cytosol. Nucleus. Endoplasmic reticulum. Mitochondrion. Note=Mainly localizes in the cytosol. Co-localizes with SYT11 in neutrites. Co-localizes with SNCAIP in brainstem Lewy bodies. Relocates to dysfunctional mitochondria that have lost the mitochondrial membrane potential; recruitment to mitochondria is PINK1-dependent. | 
| Tissue Specificity | Highly expressed in the brain including the substantia nigra. Expressed in heart, testis and skeletal muscle. Expression is down-regulated or absent in tumor biopsies, and absent in the brain of PARK2 patients. Overexpression protects dopamine neurons fro | 
| Construction | Polyclonal Antibody | 
| Purification | Protein A purified | 
| Appearance | Liquid | 
| Formulation | 0.01M TBS (pH7.4) with 1% BSA, 0.02% Proclin300 and 50% Glycerol. | 
| Concentration | 1 mg/mL | 
| Research Background | Parkinson's Disease, the second most common neurodegenerative disease after Alzheimer's Disease, is characterized by the loss of dopaminergic neurons and the presence of Lewy bodies (comprised of alpha synuclein and parkin inclusions). Autosomal Recessive Juvenile Parkinsonism (AR-JP) is a recently described form of Parkinson's Disease that has been linked to a gene that codes for parkin. Parkin, a 52 kDa protein, has a suggested role in the ubiquitin/proteasome pathway for protein degradation. The amino terminus bears sequence homology to ubiquitin while functionally it acts as a RING type ubiquitin protein ligase (E3) that coordinates the transfer of ubiquitin to substrate proteins, thus targeting them for degradation by the proteasome. | 
| Immunogen | KLH conjugated synthetic peptide: human Parkin | 
| Antigen Species | Human | 
| Gene Name | PRKN | 
| Gene ID | |
| Protein Name | E3 ubiquitin-protein ligase parkin | 
| Uniprot ID | |
| Biology Area | Parkin / PARK,Mitophagy fission and fusion,RING Finger E3 Ligase | 
| Function | Functions within a multiprotein E3 ubiquitin ligase complex, catalyzing the covalent attachment of ubiquitin moieties onto substrate proteins, such as BCL2, SYT11, CCNE1, GPR37, STUB1, a 22 kDa O-linked glycosylated isoform of SNCAIP, SEPT5, ZNF746 and AIMP2. Mediates monoubiquitination as well as 'Lys-48'-linked and 'Lys-63'-linked polyubiquitination of substrates depending on the context. Participates in the removal and/or detoxification of abnormally folded or damaged protein by mediating 'Lys-63'-linked polyubiquitination of misfolded proteins such as PARK7: 'Lys-63'-linked polyubiquitinated misfolded proteins are then recognized by HDAC6, leading to their recruitment to aggresomes, followed by degradation. Mediates 'Lys-63'-linked polyubiquitination of SNCAIP, possibly playing a role in Lewy-body formation. Mediates monoubiquitination of BCL2, thereby acting as a positive regulator of autophagy. Promotes the autophagic degradation of dysfunctional depolarized mitochondria. Mediates 'Lys-48'-linked polyubiquitination of ZNF746, followed by degradation of ZNF746 by the proteasome; possibly playing a role in role in regulation of neuron death. Limits the production of reactive oxygen species (ROS). Loss of this ubiquitin ligase activity appears to be the mechanism underlying pathogenesis of PARK2. May protect neurons against alpha synuclein toxicity, proteasomal dysfunction, GPR37 accumulation, and kainate-induced excitotoxicity. May play a role in controlling neurotransmitter trafficking at the presynaptic terminal and in calcium-dependent exocytosis. Regulates cyclin-E during neuronal apoptosis. May represent a tumor suppressor gene. | 
| Molecular Weight | Theoretical: 51 kDa. | 
| Stability & Storage | Store at -20°C or -80°C for 12 months. Avoid repeated freeze-thaw cycles. | 
| Transport | Shipping with blue ice. | 

Copyright © 2015-2025 TargetMol Chemicals Inc. All Rights Reserved.