Shopping Cart
Remove All
Your shopping cart is currently empty
Synonyms: PPAR-delta, PPARD, PPARB, Peroxisome proliferator-activated receptor delta, Peroxisome proliferator-activated receptor beta (PPAR-beta), Nuclear receptor subfamily 1 group C member 2, Nuclear hormone receptor 1 (NUC1), NUCI, NR1C2

| Pack Size | Price | USA Stock | Global Stock | Quantity |
|---|---|---|---|---|
| 50 μL | $216 | 7-10 days | 7-10 days | |
| 100 μL | $317 | 7-10 days | 7-10 days |
| Description | Anti-PPARD Antibody (2A714) is a Mouse antibody targeting PPARD. Anti-PPARD Antibody (2A714) can be used in IHC. |
| Synonyms | PPAR-delta, PPARD, PPARB, Peroxisome proliferator-activated receptor delta, Peroxisome proliferator-activated receptor beta (PPAR-beta), Nuclear receptor subfamily 1 group C member 2, Nuclear hormone receptor 1 (NUC1), NUCI, NR1C2 |
| Ig Type | IgG1 |
| Clone | 2A714 |
| Reactivity | Human,Mouse,Rat |
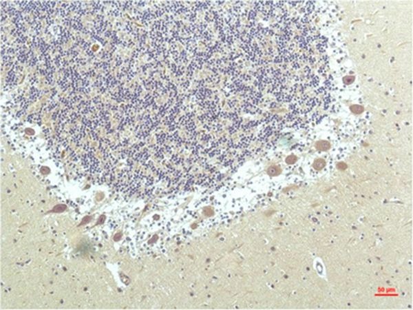
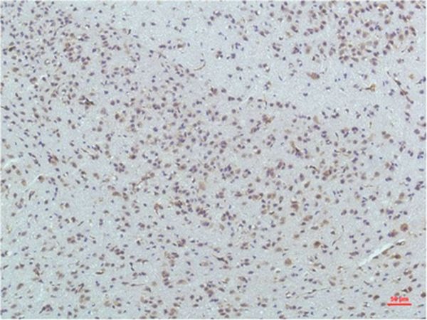
| Verified Activity | 1. Immunohistochemical analysis of paraffin-embedded Human Brain Tissue using PPAR Delta Mouse mAb diluted at 1:200. 2. Immunohistochemical analysis of paraffin-embedded Mouse Brain Tissue using PPAR Delta Mouse mAb diluted at 1:200. ,![]() |
| Application | |
| Recommended Dose | IHC: 1:100-200 |
| Antibody Type | Monoclonal |
| Host Species | Mouse |
| Construction | Hybridoma Monoclonal Antibody |
| Appearance | Liquid |
| Formulation | Liquid in PBS containing 50% glycerol, 0.5% BSA and 0.02% sodium azide. |
| Conjucates | Unconjugated |
| Immunogen | Recombinant Protein |
| Uniprot ID |
| Molecular Weight | Theoretical: 50 kDa. |
| Stability & Storage | Store at -20°C or -80°C for 12 months. Avoid repeated freeze-thaw cycles. |
| Transport | Shipping with blue ice. |
| Size | Quantity | Unit Price | Amount | Operation |
|---|

Copyright © 2015-2026 TargetMol Chemicals Inc. All Rights Reserved.