Shopping Cart
Remove All
Your shopping cart is currently empty
Anti-Phospho-STAT3 (Ser727) Antibody (9W152) is a Rabbit antibody targeting Phospho-STAT3 (Ser727). Anti-Phospho-STAT3 (Ser727) Antibody (9W152) can be used in ICC/IF,IHC,IP,WB.
| Pack Size | Price | USA Warehouse | Global Warehouse | Quantity |
|---|---|---|---|---|
| 50 μL | $297 | 7-10 days | 7-10 days | |
| 100 μL | $497 | 7-10 days | 7-10 days |
| Description | Anti-Phospho-STAT3 (Ser727) Antibody (9W152) is a Rabbit antibody targeting Phospho-STAT3 (Ser727). Anti-Phospho-STAT3 (Ser727) Antibody (9W152) can be used in ICC/IF,IHC,IP,WB. |
| Synonyms | STAT3 (p-Ser727), STAT3 (p-S727), p-STAT3 (Ser727), p-STAT3 (S727) |
| Ig Type | IgG |
| Clone | 9W152 |
| Reactivity | Human,Mouse,Rat |
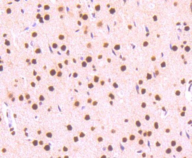
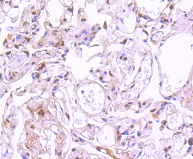
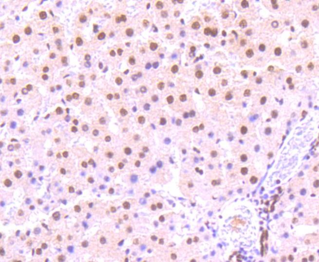
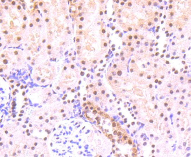
| Verified Activity | 1. Western blot analysis of Phospho-STAT3 (S727) on different lysates using anti-Phospho-STAT3 (S727) antibody at 1/1,000 dilution. Positive control: Lane 1: Hela, Lane 2: NIH/3T3. 2. Immunohistochemical analysis of paraffin-embedded rat liver tissue using anti-Phospho-STAT3 (S727) antibody. Counter stained with hematoxylin. 3. Immunohistochemical analysis of paraffin-embedded rat brain tissue using anti-Phospho-STAT3 (S727) antibody. Counter stained with hematoxylin. 4. Immunohistochemical analysis of paraffin-embedded rat kidney tissue using anti-Phospho-STAT3 (S727) antibody. Counter stained with hematoxylin. 5. Immunohistochemical analysis of paraffin-embedded human lung tissue using anti-Phospho-STAT3 (S727) antibody. Counter stained with hematoxylin. 6. ICC staining Phospho-STAT3 (S727) in Hela cells (green). The nuclear counter stain is DAPI (blue). Cells were fixed in paraformaldehyde, permeabilised with 0.25% Triton X100/PBS. 7. ICC staining Phospho-STAT3 (S727) in A431 cells (green). The nuclear counter stain is DAPI (blue). Cells were fixed in paraformaldehyde, permeabilised with 0.25% Triton X100/PBS. 8. ICC staining Phospho-STAT3 (S727) in NIH/3T3 cells (green). The nuclear counter stain is DAPI (blue). Cells were fixed in paraformaldehyde, permeabilised with 0.25% Triton X100/PBS. ![]() ![]() ![]() ![]() ![]() ![]() ![]() ![]() |
| Application | |
| Recommended Dose | WB: 1:1000-2000; IHC: 1:50-200; ICC/IF: 1:50-200 |
| Antibody Type | Monoclonal |
| Host Species | Rabbit |
| Construction | Recombinant Antibody |
| Purification | ProA affinity purified |
| Appearance | Liquid |
| Formulation | 1*TBS (pH7.4), 1%BSA, 40%Glycerol. Preservative: 0.05% Sodium Azide. |
| Research Background | Membrane receptor signaling by various ligands, including interferons and growth hormones such as EGF, induces activation of JAK kinases which then leads to tyrosine phosphorylation of the various Stat transcription factors. Stat1 and Stat2 are induced by IFN-α and form a heterodimer which is part of the ISGF3 transcription factor complex. Although early reports indicate Stat3 activation by EGF and IL-6, it has been shown that Stat3β appears to be activated by both while Stat3α is activated by EGF, but not by IL-6. Highest expression of Stat4 is seen in testis and myeloid cells. IL-12 has been identified as an activator of Stat4. Stat5 has been shown to be activated by Prolactin and by IL-3. Stat6 is involved in IL-4 activated signaling pathways. |
| Conjucates | Unconjugated |
| Others Formats | Phospho |
| Immunogen | A synthesized phosphopeptide: human STAT3 around the phosphorylation site of Ser727 |
| Antigen Species | human |
| Uniprot ID |
| Molecular Weight | Theoretical: 88 kDa. |
| Stability & Storage | Store at -20°C or -80°C for 12 months. Avoid repeated freeze-thaw cycles. |
| Transport | Shipping with blue ice. |
| Size | Quantity | Unit Price | Amount | Operation |
|---|

Copyright © 2015-2026 TargetMol Chemicals Inc. All Rights Reserved.