Shopping Cart
Remove All
Your shopping cart is currently empty
Synonyms: S6K-alpha-5, S6K alpha 5, RSK-like protein kinase, RSKL, RSK Like Protein Kinase, RPS6KA5 (p-Ser376), RPS6KA5 (p-S376), RLPK, Ribosomal protein S6 kinase alpha-5, Ribosomal Protein S6 Kinase Alpha 5, Ribosomal protein S6 kinase 90kD polypeptide 5, p-RPS6KA5 (Ser376), p-RPS6KA5 (S376), Phospho-RPS6KA5 (S376), Nuclear Mitogen And Stress Activated Protein Kinase 1, MSPK1, Mitogen and stress activated protein kinase 1, MGC1911, KS6A5_HUMAN, EC 2.7.11.1, 90 kDa ribosomal protein S6 kinase 5
| Pack Size | Price | USA Stock | Global Stock | Quantity |
|---|---|---|---|---|
| 50 μL | $298 | 7-10 days | 7-10 days | |
| 100 μL | $498 | 7-10 days | 7-10 days |
| Description | Anti-Phospho-RPS6KA5 (Ser376) Antibody (8P256) is a Rabbit antibody targeting Phospho-RPS6KA5 (Ser376). Anti-Phospho-RPS6KA5 (Ser376) Antibody (8P256) can be used in ICC,IHC,IP,WB. |
| Synonyms | S6K-alpha-5, S6K alpha 5, RSK-like protein kinase, RSKL, RSK Like Protein Kinase, RPS6KA5 (p-Ser376), RPS6KA5 (p-S376), RLPK, Ribosomal protein S6 kinase alpha-5, Ribosomal Protein S6 Kinase Alpha 5, Ribosomal protein S6 kinase 90kD polypeptide 5, p-RPS6KA5 (Ser376), p-RPS6KA5 (S376), Phospho-RPS6KA5 (S376), Nuclear Mitogen And Stress Activated Protein Kinase 1, MSPK1, Mitogen and stress activated protein kinase 1, MGC1911, KS6A5_HUMAN, EC 2.7.11.1, 90 kDa ribosomal protein S6 kinase 5 |
| Ig Type | IgG |
| Clone | 8P256 |
| Reactivity | Human,Rat |
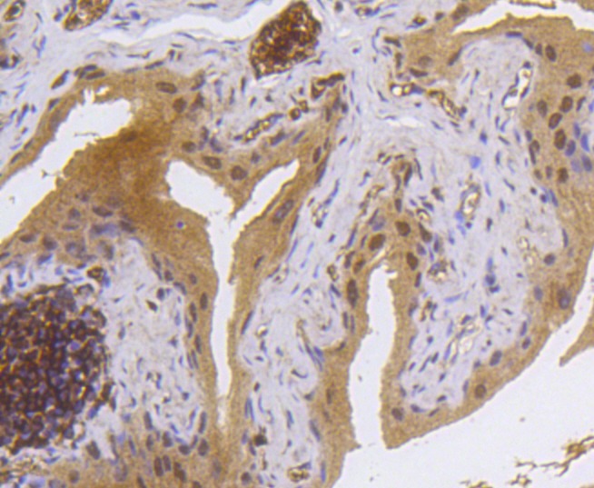
| Verified Activity | 1. Immunohistochemical analysis of paraffin-embedded mouse bladder tissue using anti-MSK1 (phospho S376) antibody. Counter stained with hematoxylin. 2. ICC staining MSK1(phospho S376) in Hela cells (green). The nuclear counter stain is DAPI (blue). Cells were fixed in paraformaldehyde, permeabilised with 0.25% Triton X100/PBS. 3. ICC staining MSK1(phospho S376) in LO2 cells (green). The nuclear counter stain is DAPI (blue). Cells were fixed in paraformaldehyde, permeabilised with 0.25% Triton X100/PBS. 4. ICC staining MSK1(phospho S376) in PC-3M cells (green). The nuclear counter stain is DAPI (blue). Cells were fixed in paraformaldehyde, permeabilised with 0.25% Triton X100/PBS. 5. ICC staining MSK1(phospho S376) in 293 cells (green). The nuclear counter stain is DAPI (blue). Cells were fixed in paraformaldehyde, permeabilised with 0.25% Triton X100/PBS. |
| Application | |
| Recommended Dose | WB: 1:1000; IHC: 1:50-200; ICC: 1:50-200 |
| Antibody Type | Monoclonal |
| Host Species | Rabbit |
| Construction | Hybridoma Monoclonal Antibody |
| Purification | ProA affinity purified |
| Appearance | Liquid |
| Formulation | 1*TBS (pH7.4), 1%BSA, 40%Glycerol. Preservative: 0.05% Sodium Azide. |
| Research Background | The family of ribosomal S6 kinases (Rsks), designated Rsk-1, Rsk-2 and Rsk-3, have been implicated as important signaling intermediates in response to a broad range of ligand-activated receptor tyrosine kinases. A unique feature common to the three members of the Rsk family is that each possesses two non-identical complete kinase catalytic domains. A related S6 kinase, p70 S6 kinase, functions to phosphorylate the S6 protein on ribosomal 40S subunits. p70 S6 kinase b shares high sequence homology with p70 S6 kinase, except in the carboxy terminus where it contains a proline-rich domain that may be involved in SH3 domain containing protein interactions. MSK1 (also designated RLPK) is related to Rsk and p70 S6 kinase family members and is thought to be structurally similar to Rsk family members, but it may be regulated by distinct mechanisms. |
| Conjucates | Unconjugated |
| Others Formats | Phospho |
| Immunogen | A synthesized phosphopeptide: human MSK1 around the phosphorylation site of Ser376 |
| Antigen Species | human |
| Uniprot ID |
| Molecular Weight | Theoretical: 90/80 kDa. |
| Stability & Storage | Store at -20°C or -80°C for 12 months. Avoid repeated freeze-thaw cycles. |
| Transport | Shipping with blue ice. |
| Size | Quantity | Unit Price | Amount | Operation |
|---|

Copyright © 2015-2026 TargetMol Chemicals Inc. All Rights Reserved.