Shopping Cart
Remove All
Your shopping cart is currently empty
Anti-Phospho-EIF2AK2 (Thr446) Antibody (2N330) is a Rabbit antibody targeting Phospho-EIF2AK2 (Thr446). Anti-Phospho-EIF2AK2 (Thr446) Antibody (2N330) can be used in ChIP,IHC,IP,WB.
| Pack Size | Price | USA Warehouse | Global Warehouse | Quantity |
|---|---|---|---|---|
| 50 μL | $298 | 7-10 days | 7-10 days | |
| 100 μL | $498 | 7-10 days | 7-10 days |
| Description | Anti-Phospho-EIF2AK2 (Thr446) Antibody (2N330) is a Rabbit antibody targeting Phospho-EIF2AK2 (Thr446). Anti-Phospho-EIF2AK2 (Thr446) Antibody (2N330) can be used in ChIP,IHC,IP,WB. |
| Synonyms | p68 kinase, EIF2AK2 (p-Thr446), EIF2AK2 (p-T446), EIF2AK2 (pT446), EIF2AK2 (phospho-Thr446), eIF2A protein kinase2 |
| Ig Type | IgG |
| Clone | 2N330 |
| Reactivity | Human |
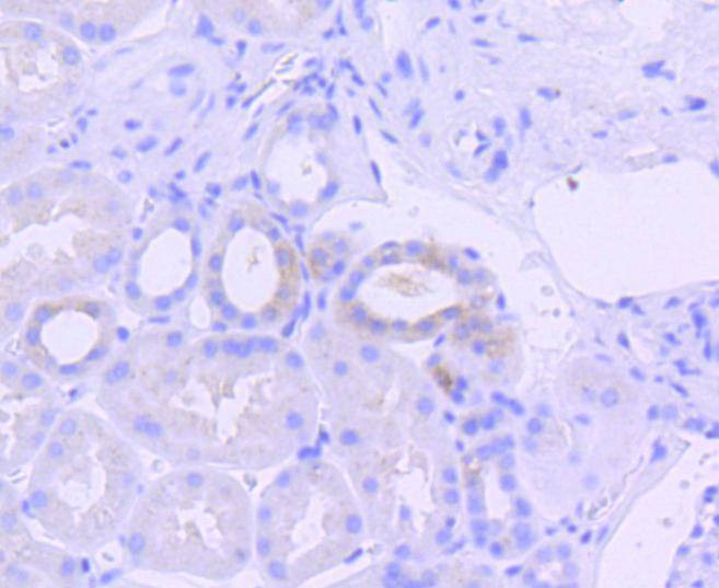
| Verified Activity | 1. Western blot analysis of Phospho-PKR (T446) on different lysates using anti-Phospho-PKR (T446) antibody at 1/1,000 dilution. Positive control: Lane 1: Hela treated with Calyculin A and TNF-alpha whole cell lysates, Lane 2: Untreated Hela whole cell lysates. 2. Immunohistochemical analysis of paraffin-embedded human kidney tissue using anti-Phospho-PKR (T446) antibody. Counter stained with hematoxylin. ![]() ![]() |
| Application | |
| Recommended Dose | WB: 1:1000-2000; IHC: 1:50-200 |
| Antibody Type | Monoclonal |
| Host Species | Rabbit |
| Construction | Recombinant Antibody |
| Purification | ProA affinity purified |
| Appearance | Liquid |
| Formulation | 1*TBS (pH7.4), 1%BSA, 40%Glycerol. Preservative: 0.05% Sodium Azide. |
| Research Background | An interferon-inducible, RNA-dependent protein serine/threonine kinase, PKR has various designations. Mouse PKR is known as DAI, dsJ, PI kinase, p65, p67 or TIK, whereas human PKR is known as p68 or p69. PKR phosphorylates its substrate, a subunit of protein synthesis initiation factor eIF-2 on Ser 51 to inhibit translation. PKR contains two dsRNA binding motifs required for its activation by dsRNA. Three kinds of regulation of PKR enzymatic activity occur, and these include transcriptional regulation in response to interferon, an autoregulatory mechanism controlling PKR expression at the level of translation, and posttranslational regulation by RNA mediated autophosphorylation. Human PKR contains at least 15 autophosphorylation sites, but only Thr-446 and Thr-451 in the activation loop are critical for its kinase activity. Thr-446 is the in vivo autophosphorylation site of PKR. Mutation of threonine to alanine at position 446 substantially reduces PKR function, and mutant kinase containing Ala-451 is completely inactive. |
| Conjucates | Unconjugated |
| Others Formats | Phospho |
| Immunogen | A synthesized phosphopeptide: human PKR around the phosphorylation site of Thr446 |
| Antigen Species | human |
| Uniprot ID |
| Molecular Weight | Theoretical: 62 kDa. |
| Stability & Storage | Store at -20°C or -80°C for 12 months. Avoid repeated freeze-thaw cycles. |
| Transport | Shipping with blue ice. |
| Size | Quantity | Unit Price | Amount | Operation |
|---|

Copyright © 2015-2026 TargetMol Chemicals Inc. All Rights Reserved.