Shopping Cart
Remove All
Your shopping cart is currently empty
Synonyms: ox-LDL: LDL(Copper oxidized), oxidized low density lipoprotein, MDA oxidized low density lipoprotein, MDA oxidized LDL, Low density lipoprotein, Cu2SO4 oxidized low density lipoprotein
Anti-ox-LDL Antibody
(4W894)
| Pack Size | Price | USA Stock | Global Stock | Quantity |
|---|---|---|---|---|
| 50 µL | $220 | 7-10 days | 7-10 days | |
| 100 µL | $373 | 7-10 days | 7-10 days | |
| 200 µL | $528 | 7-10 days | 7-10 days |
| Description | Anti-ox-LDL Antibody (4W894) is a Mouse antibody targeting ox-LDL. Anti-ox-LDL Antibody (4W894) can be used in IF, IHC-Fr, IHC-P. |
| Synonyms | ox-LDL: LDL(Copper oxidized), oxidized low density lipoprotein, MDA oxidized low density lipoprotein, MDA oxidized LDL, Low density lipoprotein, Cu2SO4 oxidized low density lipoprotein |
| Ig Type | IgG |
| Clone | 4W894 |
| Reactivity | Human,Rat (predicted:Mouse) |
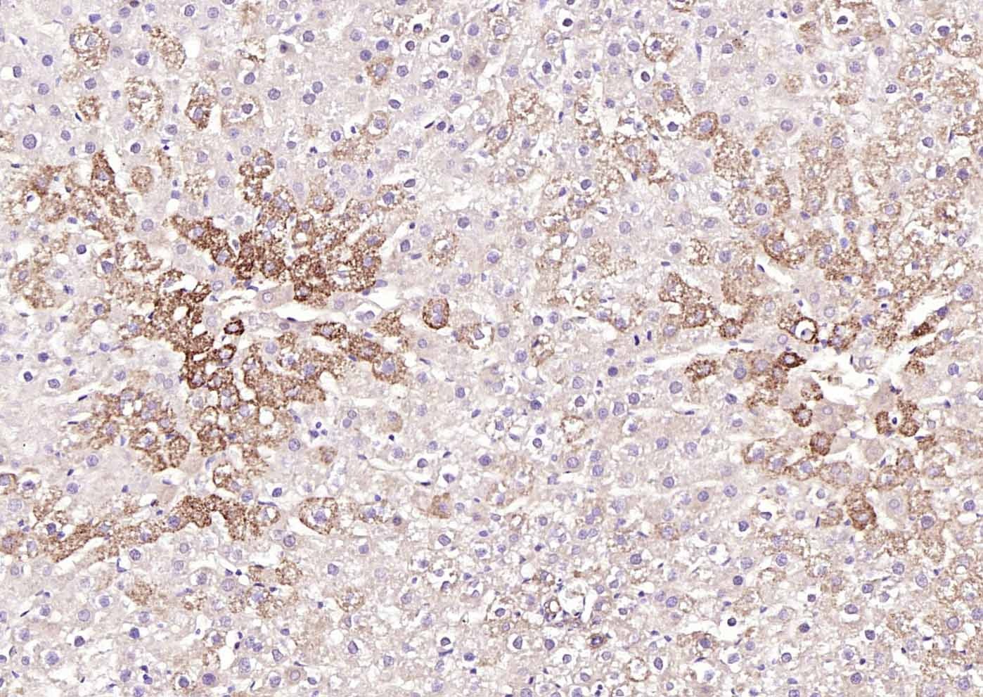
| Verified Activity | 1. Paraformaldehyde-fixed, paraffin embedded (rat liver); Antigen retrieval by boiling in sodium citrate buffer (pH6.0) for 15 min; Block endogenous peroxidase by 3% hydrogen peroxide for 20 min; Blocking buffer (normal goat serum) at 37°C for 30 min; Incubation with (ox-LDL) Monoclonal Antibody, Unconjugated (TMAB-01307) at 1:200 overnight at 4°C, followed by operating according to SP Kit (Mouse) instructionsand DAB staining.
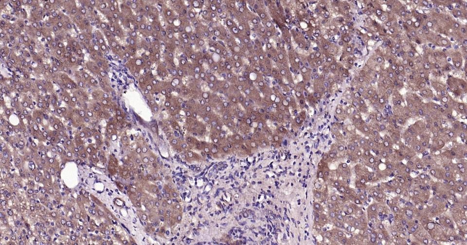
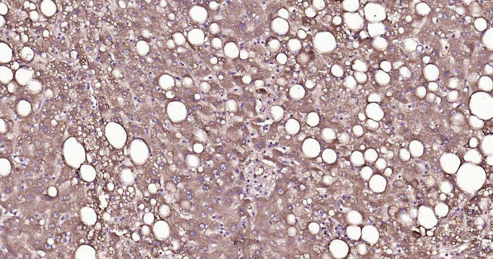
2. Paraformaldehyde-fixed, paraffin embedded Human Liver Cancer; Antigen retrieval by boiling in sodium citrate buffer (pH6.0) for 15 min; Antibody incubation with ox-LDL Monoclonal Antibody, Unconjugated (TMAB-01307) at 1:200 overnight at 4°C, followed by conjugation to the secondary antibody and DAB staining. 3. Paraformaldehyde-fixed, paraffin embedded Human Liver; Antigen retrieval by boiling in sodium citrate buffer (pH6.0) for 15 min; Antibody incubation with ox-LDL Monoclonal Antibody, Unconjugated (TMAB-01307) at 1:200 overnight at 4°C, followed by conjugation to the secondary antibody and DAB staining. , ,![]() |
| Application | |
| Recommended Dose | IHC-P: 1:100-1000; IHC-Fr: 1:100-1000; IF: 1:100-1000 |
| Antibody Type | Monoclonal |
| Host Species | Mouse |
| Subcellular Localization | Secreted. |
| Construction | Hybridoma Monoclonal Antibody |
| Purification | Protein G purified |
| Appearance | Liquid |
| Formulation | 0.01M TBS (pH7.4) with 1% BSA, 0.02% Proclin300 and 50% Glycerol. |
| Concentration | 1 mg/mL |
| Research Background | Low-density lipoprotein (LDL) is the carrier protein for cholesterol in the blood. LDL binds to its receptor on the capillary walls and thereby mediates the uptake and clearence of cholesterol from the circulation. In atherosclerotic lesions oxidatively modified LDL is found and oxidized LDL is specifically recognized and ingested by macrophages via scavenger receptor A and CD36. Oxidized LDL may be a marker of atherosclerosis but the precise changes in oxidized LDL are not well described. Low-density lipoprotein oxidised with Cu2SO4. |
| Immunogen | Full length protein from human plasma |
| Antigen Species | Human |
| Protein Name | Mouse ox-LDL |
| Molecular Weight | Theoretical: 31 kDa. |
| Stability & Storage | Store at -20°C or -80°C for 12 months. Avoid repeated freeze-thaw cycles. |
| Transport | Shipping with blue ice. |
| Size | Quantity | Unit Price | Amount | Operation |
|---|

Copyright © 2015-2026 TargetMol Chemicals Inc. All Rights Reserved.