Shopping Cart
Remove All
Your shopping cart is currently empty
Anti-NMDAR2A Antibody (4O151) is a Rabbit antibody targeting NMDAR2A. Anti-NMDAR2A Antibody (4O151) can be used in IHC,WB.
| Pack Size | Price | USA Warehouse | Global Warehouse | Quantity |
|---|---|---|---|---|
| 50 μL | $297 | 7-10 days | 7-10 days | |
| 100 μL | $496 | 7-10 days | 7-10 days |
| Description | Anti-NMDAR2A Antibody (4O151) is a Rabbit antibody targeting NMDAR2A. Anti-NMDAR2A Antibody (4O151) can be used in IHC,WB. |
| Synonyms | OTTHUMP00000174531, OTTHUMP00000160135, NR2A, NR 2A, NMDE1, NMDAR2A, NMDAR 2A, NMDA Receptor Type 2A, NMDA receptor subtype 2A, N Methyl D Aspartate Receptor Subtype 2A, N methyl D aspartate receptor channel, subunit epsilon 1, HNR2A, GRIN2A, GRIN 2A, Glutamate receptor ionotropic N methyl D aspartate 2A, Glutamate receptor, Glutamate [NMDA] receptor subunit epsilon 1 |
| Ig Type | IgG |
| Clone | 4O151 |
| Reactivity | Human,Mouse,Rat |
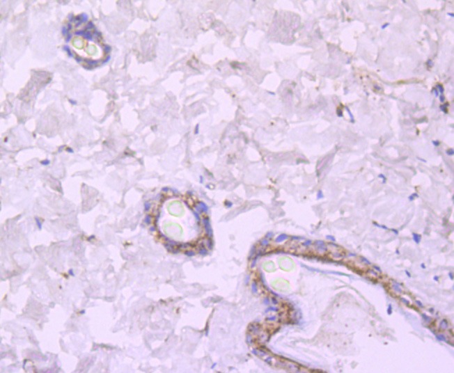
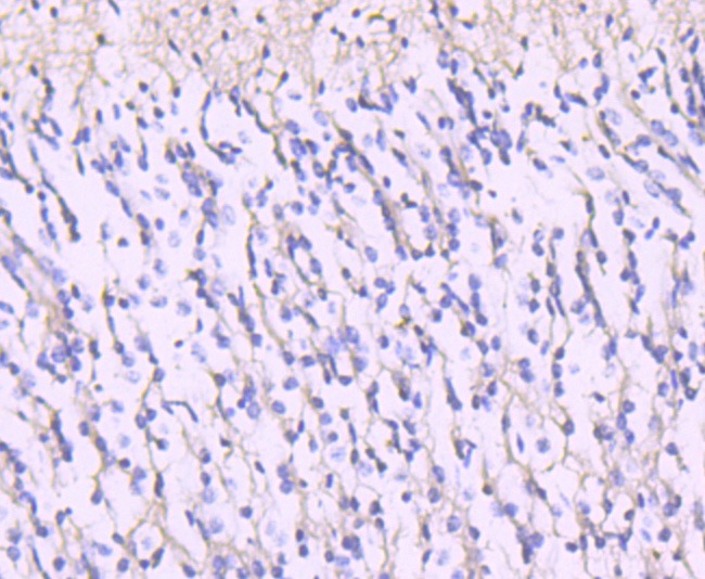
| Verified Activity | 1. Western blot analysis of NMDAR2A on rat brain tissue lysate using anti-NMDAR2A antibody at 1/1,000 dilution. 2. Immunohistochemical analysis of paraffin-embedded rat brain tissue using anti-NMDAR2A antibody. Counter stained with hematoxylin. 3. Immunohistochemical analysis of paraffin-embedded rat skin tissue using anti-NMDAR2A antibody. Counter stained with hematoxylin. 4. Immunohistochemical analysis of paraffin-embedded human brain tissue using anti-NMDAR2A antibody. Counter stained with hematoxylin. 5. Immunohistochemical analysis of paraffin-embedded mouse small intestine tissue using anti-NMDAR2A antibody. Counter stained with hematoxylin. ![]() ![]() ![]() ![]() ![]() |
| Application | |
| Recommended Dose | WB: 1:500; IHC: 1:50-100 |
| Antibody Type | Monoclonal |
| Host Species | Rabbit |
| Construction | Recombinant Antibody |
| Purification | ProA affinity purified |
| Appearance | Liquid |
| Formulation | 1*TBS (pH7.4), 1%BSA, 40%Glycerol. Preservative: 0.05% Sodium Azide. |
| Research Background | NMDAR2A is a member of the glutamate-gated ion channel protein family. The encoded protein is an N-methyl-D-aspartate (NMDA) receptor subunit. NMDA receptors are both ligand-gated and voltage-dependent, and are involved in long-term potentiation, an activity-dependent increase in the efficiency of synaptic transmission thought to underlie certain kinds of memory and learning. |
| Conjucates | Unconjugated |
| Immunogen | Recombinant Protein |
| Uniprot ID |
| Molecular Weight | Theoretical: 165 kDa. |
| Stability & Storage | Store at -20°C or -80°C for 12 months. Avoid repeated freeze-thaw cycles. |
| Transport | Shipping with blue ice. |
| Size | Quantity | Unit Price | Amount | Operation |
|---|

Copyright © 2015-2026 TargetMol Chemicals Inc. All Rights Reserved.