Shopping Cart
Remove All
Your shopping cart is currently empty
Synonyms: T cell transcription factor NFAT3, Nuclear factor of activated T-cells cytoplasmic calcineurin-dependent 4, nuclear factor of activated T-cells cytoplasmic 4, Nuclear factor of activated T-cells, Nuclear factor of activated T cells cytoplasmic calcineurin dependent 4, Nuclear factor of activated T cells cytoplasmic 4, NFATC4 cytoplasmic 4, NF-ATc4, NFATc4, NF-AT3, NFAT3, NFAC4, NF ATc4
| Pack Size | Price | USA Stock | Global Stock | Quantity |
|---|---|---|---|---|
| 50 μL | $221 | 7-10 days | 7-10 days | |
| 100 μL | $373 | 7-10 days | 7-10 days | |
| 200 μL | $527 | 7-10 days | 7-10 days |
| Description | Anti-NFATC4 Polyclonal Antibody is a Rabbit antibody targeting NFATC4. Anti-NFATC4 Polyclonal Antibody can be used in IF, IHC-Fr, IHC-P. |
| Synonyms | T cell transcription factor NFAT3, Nuclear factor of activated T-cells cytoplasmic calcineurin-dependent 4, nuclear factor of activated T-cells cytoplasmic 4, Nuclear factor of activated T-cells, Nuclear factor of activated T cells cytoplasmic calcineurin dependent 4, Nuclear factor of activated T cells cytoplasmic 4, NFATC4 cytoplasmic 4, NF-ATc4, NFATc4, NF-AT3, NFAT3, NFAC4, NF ATc4 |
| Ig Type | IgG |
| Reactivity | Mouse,Rat (predicted:Human,Dog,Pig,Cow,Horse,Sheep) |
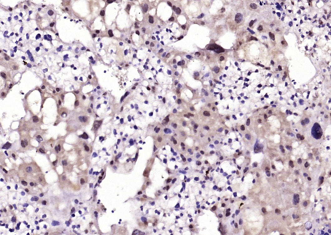
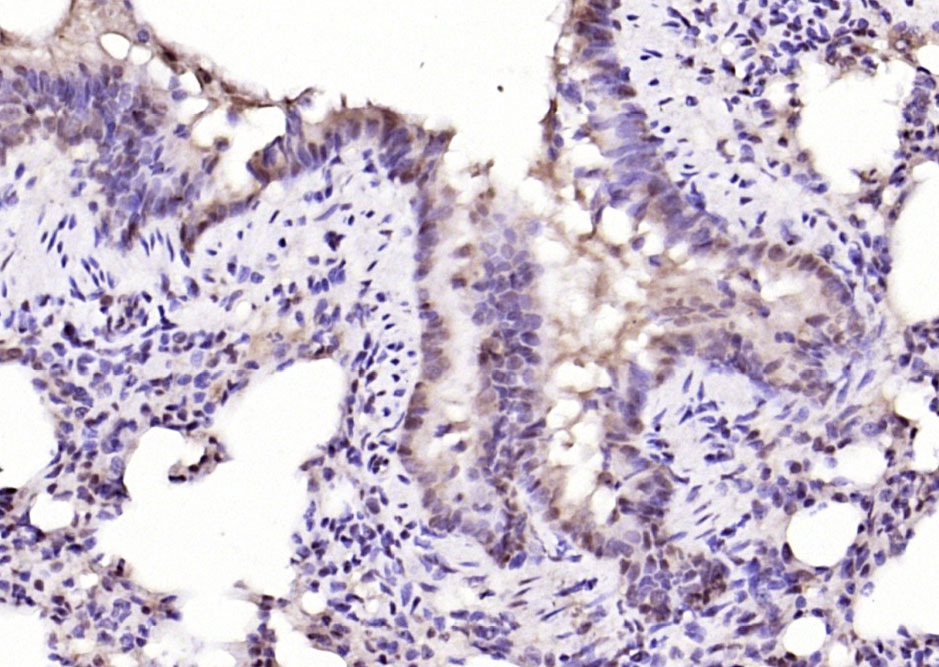
| Verified Activity | 1. Paraformaldehyde-fixed, paraffin embedded (rat lung); Antigen retrieval by boiling in sodium citrate buffer (pH6.0) for 15 min; Block endogenous peroxidase by 3% hydrogen peroxide for 20 min; Blocking buffer (normal goat serum) at 37°C for 30 min; Antibody incubation with (NFATC4) Polyclonal Antibody, Unconjugated (TMAB-01225) at 1:200 overnight at 4°C, followed by operating according to SP Kit (Rabbit) instructionsand DAB staining. 2. Paraformaldehyde-fixed, paraffin embedded (mouse placenta); Antigen retrieval by boiling in sodium citrate buffer (pH6.0) for 15 min; Block endogenous peroxidase by 3% hydrogen peroxide for 20 min; Blocking buffer (normal goat serum) at 37°C for 30 min; Antibody incubation with (NFATC4) Polyclonal Antibody, Unconjugated (TMAB-01225) at 1:200 overnight at 4°C, followed by operating according to SP Kit (Rabbit) instructionsand DAB staining. |
| Application | |
| Recommended Dose | IF=1:100-500; IHC-Fr=1:100-500; IHC-P=1:100-500 |
| Antibody Type | Polyclonal |
| Host Species | Rabbit |
| Subcellular Localization | Cytoplasm. Nucleus. Cytoplasmic for the phosphorylated form and nuclear after activation that is controlled by calcineurin-mediated dephosphorylation. Rapid nuclear exit of NFATC is thought to be one mechanism by which cells distinguish between sustained and transient calcium signals. The subcellular localization of NFATC plays a key role in the regulation of gene transcription. |
| Tissue Specificity | Highly expressed in placenta, lung, kidney, testis and ovary. Weakly expressed in spleen and thymus. Not expressed in peripheral blood lymphocytes. Detected in hippocampus. |
| Construction | Polyclonal Antibody |
| Purification | Protein A purified |
| Appearance | Liquid |
| Formulation | 0.01M TBS (pH7.4) with 1% BSA, 0.02% Proclin300 and 50% Glycerol. |
| Concentration | 1 mg/mL |
| Research Background | The product of this gene is a member of the nuclearfactors of activated T cells DNA-binding transcription complex.This complex consists of at least two components: a preexistingcytosolic component that translocates to the nucleus upon T cellreceptor (TCR) stimulation and an inducible nuclear component.Other members of this family of nuclear factors of activated Tcells also participate in the formation of this complex. Theproduct of this gene plays a role in the inducible expression ofcytokine genes in T cells, especially in the induction of the IL-2and IL-4. Alternatively spliced transcript variants encodingdifferent isoforms have been noted for this gene. [provided byRefSeq, Oct 2008]. |
| Immunogen | KLH conjugated synthetic peptide: human NF-ATc4 |
| Antigen Species | Human |
| Gene Name | NFATC4 |
| Gene ID | |
| Protein Name | Nuclear factor of activated T-cells, cytoplasmic 4 |
| Uniprot ID | |
| Biology Area | NFATs,Other factors,Non-CD,NFATS |
| Function | Plays a role in the inducible expression of cytokine genes in T-cells, especially in the induction of the IL-2 and IL-4. Transcriptionally repressed by estrogen receptors; this inhibition is further enhanced by estrogen. Increases the transcriptional activity of PPARG and has a direct role in adipocyte differentiation. May play an important role in myotube differentiation. May play a critical role in cardiac development and hypertrophy. May play a role in deafferentation-induced apoptosis of sensory neurons. |
| Molecular Weight | Theoretical: 95 kDa. |
| Stability & Storage | Store at -20°C or -80°C for 12 months. Avoid repeated freeze-thaw cycles. |
| Transport | Shipping with blue ice. |
| Size | Quantity | Unit Price | Amount | Operation |
|---|

Copyright © 2015-2026 TargetMol Chemicals Inc. All Rights Reserved.