Shopping Cart
Remove All
Your shopping cart is currently empty
Synonyms: v myb avian myeloblastosis viral oncogene homolog, Transcriptional activator Myb, Proto oncogene c Myb, Oncogene MYB, ONCOGENE AMV, MYB proto-oncogene transcription factor, efg, c-myb8B_CDS, c-myb14A_CDS, c-myb13A_CDS, c-myb10A_CDS, c-myb_CDS, Cmyb, C myb
| Pack Size | Price | USA Stock | Global Stock | Quantity |
|---|---|---|---|---|
| 50 μL | $297 | 7-10 days | 7-10 days | |
| 100 μL | $497 | 7-10 days | 7-10 days |
| Description | Anti-MYB Antibody (7C786) is a Rabbit antibody targeting MYB. Anti-MYB Antibody (7C786) can be used in FCM,ICC/IF,IHC,WB. |
| Synonyms | v myb avian myeloblastosis viral oncogene homolog, Transcriptional activator Myb, Proto oncogene c Myb, Oncogene MYB, ONCOGENE AMV, MYB proto-oncogene transcription factor, efg, c-myb8B_CDS, c-myb14A_CDS, c-myb13A_CDS, c-myb10A_CDS, c-myb_CDS, Cmyb, C myb |
| Ig Type | IgG |
| Clone | 7C786 |
| Reactivity | Human |
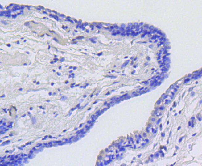
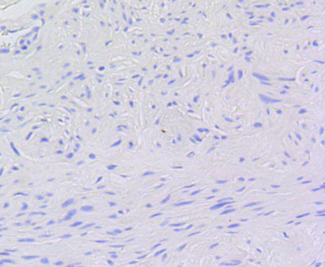
| Verified Activity | 1. Immunohistochemical analysis of paraffin-embedded human uterine neck tissue using anti-P-V-Myb+C-Myb (S11) antibody. Counter stained with hematoxylin. 2. Immunohistochemical analysis of paraffin-embedded human breast carcinoma tissue using anti-P-V-Myb+C-Myb (S11) antibody. Counter stained with hematoxylin. 3. ICC staining P-V-Myb+C-Myb (S11) in Ags cells (green). The nuclear counter stain is DAPI (blue). Cells were fixed in paraformaldehyde, permeabilised with 0.25% Triton X100/PBS. 4. Flow cytometric analysis of MCF-7 cells with P-V-Myb+C-Myb (S11) antibody at 1/50 dilution (blue) compared with an unlabelled control (cells without incubation with primary antibody; red). Alexa Fluor 488-conjugated goat anti rabbit IgG was used as antibody. |
| Application | |
| Recommended Dose | WB: 1:1000-2000; IHC: 1:50-200; ICC/IF: 1:50-200; FCM: 1:50-100 |
| Antibody Type | Monoclonal |
| Host Species | Rabbit |
| Construction | Recombinant Antibody |
| Purification | ProA affinity purified |
| Appearance | Liquid |
| Formulation | 1*TBS (pH7.4), 1%BSA, 40%Glycerol. Preservative: 0.05% Sodium Azide. |
| Research Background | The Myb family of transcription factors regulates proliferation, differentiation and apoptosis of hematopoletic cells. The avian myeloblastosis viral (v-Myb) protein is nuclear and binds to specific DNA sequences. The gene encoding for v-Myb is oncogenic, causing monoblastic leukemia and transforming myelomonocytic cells by deregulating the expression of specific target genes. v-Myb functions as a transcriptional activator, and it can repress biologically relevant genes such as Ets-2, which promotes macrophage differentiation. The proto-oncogene c-Myb encodes for a nuclear protein that plays a role in transcriptional regulation and may be essential for hematopoietic cell proliferation. A-Myb is also member of the Myb family that is expressed in proliferating B cell centroblasts. Transgenic mice overexpressing A-Myb posses enhanced hyperplasia of the lymph nodes. |
| Conjucates | Unconjugated |
| Others Formats | Phospho |
| Immunogen | A synthesized phosphopeptide: human V-Myb+C-Myb around the phosphorylation site of Ser11 |
| Antigen Species | human |
| Uniprot ID |
| Molecular Weight | Theoretical: 72/75 kDa. |
| Stability & Storage | Store at -20°C or -80°C for 12 months. Avoid repeated freeze-thaw cycles. |
| Transport | Shipping with blue ice. |
| Size | Quantity | Unit Price | Amount | Operation |
|---|

Copyright © 2015-2026 TargetMol Chemicals Inc. All Rights Reserved.