Shopping Cart
Remove All
Your shopping cart is currently empty
Anti-MVP Antibody (8H895) is a Rabbit antibody targeting MVP. Anti-MVP Antibody (8H895) can be used in IHC,IP,WB.
| Pack Size | Price | USA Warehouse | Global Warehouse | Quantity |
|---|---|---|---|---|
| 50 μL | $296 | 7-10 days | 7-10 days | |
| 100 μL | $498 | 7-10 days | 7-10 days |
| Description | Anti-MVP Antibody (8H895) is a Rabbit antibody targeting MVP. Anti-MVP Antibody (8H895) can be used in IHC,IP,WB. |
| Synonyms | VAULT1, VAULT 1, testicular secretory protein Li 30, MVP_HUMAN, MVP, Major vault protein, rat, homolog of, Major vault protein, Lung resistance-related protein, Lung resistance related protein, LRP |
| Ig Type | IgG |
| Clone | 8H895 |
| Reactivity | Human |
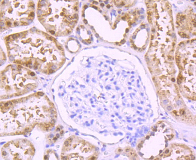
| Verified Activity | 1. Western blot analysis of DDAH1 on human kidney (1) and human liver (2) tissue lysate using anti-DDAH1 antibody at 1/1,000 dilution. 2. Immunohistochemical analysis of paraffin-embedded human prostate tissue using anti-DDAH1 antibody. Counter stained with hematoxylin. 3. Immunohistochemical analysis of paraffin-embedded human kidney tissue using anti-DDAH1 antibody. Counter stained with hematoxylin. ![]() ![]() ![]() |
| Application | |
| Recommended Dose | WB: 1:500-2000; IHC: 1:50-200 |
| Antibody Type | Monoclonal |
| Host Species | Rabbit |
| Construction | Recombinant Antibody |
| Purification | ProA affinity purified |
| Appearance | Liquid |
| Formulation | 1*TBS (pH7.4), 1%BSA, 40%Glycerol. Preservative: 0.05% Sodium Azide. |
| Research Background | DDAH, a dimethylarginine dimethylaminohydrolase, hydrolyzes dimethyl arginine (ADMA) and monomethyl arginine (MMA), both inhibitors of nitric oxide synthases, and may be involved in in-vivo modulation of nitric oxide production. Impairment of DDAH causes ADMA accumulation and a reduction in cGMP generation. DDAH II, the predominant DDAH isoform in endothelial cells, facilitates the induction of nitric oxide synthesis by all-trans-Retinoic acid (atRA). DDAH proteins are highly expressed in colon, kidney, stomach and liver tissues. |
| Conjucates | Unconjugated |
| Immunogen | Recombinant Protein |
| Stability & Storage | Store at -20°C or -80°C for 12 months. Avoid repeated freeze-thaw cycles. |
| Transport | Shipping with blue ice. |
| Size | Quantity | Unit Price | Amount | Operation |
|---|

Copyright © 2015-2026 TargetMol Chemicals Inc. All Rights Reserved.