Shopping Cart
Remove All
Your shopping cart is currently empty
Anti-MLH1 Antibody (9P46) is a Rabbit antibody targeting MLH1. Anti-MLH1 Antibody (9P46) can be used in FCM,ICC/IF,IHC,IP,WB.
| Pack Size | Price | USA Warehouse | Global Warehouse | Quantity |
|---|---|---|---|---|
| 50 μL | $296 | 7-10 days | 7-10 days | |
| 100 μL | $496 | 7-10 days | 7-10 days |
| Description | Anti-MLH1 Antibody (9P46) is a Rabbit antibody targeting MLH1. Anti-MLH1 Antibody (9P46) can be used in FCM,ICC/IF,IHC,IP,WB. |
| Synonyms | MutL, E. coli, homolog of, 1, MutL protein homolog 1, MutL homolog 1, colon cancer, nonpolyposis type 2 (E. coli), MutL homolog 1 colon cancer nonpolyposis type 2, MutL homolog 1 (E. coli), MutL homolog 1, MLH1_HUMAN, MLH1, MLH 1, MGC5172, HNPCC2, HNPCC 2, HNPCC, hMLH1, hMLH 1, FCC2, FCC 2, DNA mismatch repair protein Mlh1, COCA2, COCA 2 |
| Ig Type | IgG |
| Clone | 9P46 |
| Reactivity | Human,Mouse,Rat |
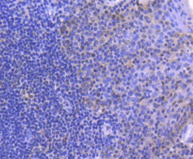
| Verified Activity | 1. Western blot analysis of MLH1 on A431 cells lysates using anti-MLH1 antibody at 1/1,000 dilution. 2. Immunohistochemical analysis of paraffin-embedded human tonsil tissue using anti-MLH1 antibody. Counter stained with hematoxylin. 3. ICC staining MLH1 in HepG2 cells (green). The nuclear counter stain is DAPI (blue). Cells were fixed in paraformaldehyde, permeabilised with 0.25% Triton X100/PBS. 4. Flow cytometric analysis of Hela cells with MLH1 antibody at 1/50 dilution (red) compared with an unlabelled control (cells without incubation with primary antibody; black). Alexa Fluor 488-conjugated goat anti rabbit IgG was used as the secondary antibody. ![]() ![]() ![]() ![]() |
| Application | |
| Recommended Dose | WB: 1:1000; IHC: 1:50-100; ICC/IF: 1:50-200; FCM: 1:50-100 |
| Antibody Type | Monoclonal |
| Host Species | Rabbit |
| Construction | Recombinant Antibody |
| Purification | ProA affinity purified |
| Appearance | Liquid |
| Formulation | 1*TBS (pH7.4), 1%BSA, 40%Glycerol. Preservative: 0.05% Sodium Azide. |
| Research Background | DNA-mismatch repair (MMR) is an essential process in maintaining genetic stability. Lack of a functional DNA-mismatch repair pathway is a common characteristic of several different types of human cancers, either due to an MMR gene mutation or promoter methylation gene silencing. MLH1 is an integral part of the protein complex responsible for mismatch repair and is expressed in lymphocytes, heart, colon, breast, lung, spleen, testis, prostate, thyroid and gall bladder tissues, and is methylated in several ovarian tumors. Loss of MLH1 protein expression is associated with a mutated phenotype, microsatellite instability and a predisposition to cancer. In hereditary nonpolyposis colorectal cancer (HNPCC), an autosomal dominant inherited cancer syndrome that signifies a high risk of colorectal and various other types of cancer, the MLH1 gene exhibits a pathogenic mutation. Certain cancer cell lines, including leukemia CCRF-CEM, colon HCT 116 and KM12, and ovarian cancers SK-OV-3 and IGROV-1, show complete deficiency of MLH1, while MLH1 is expressed in 60% of melanomas, 70% of noninvasive squamous cell carcinomas and 30% of invasive squamous cell carcinomas. |
| Conjucates | Unconjugated |
| Immunogen | Recombinant Protein |
| Uniprot ID |
| Molecular Weight | Theoretical: 85 kDa. |
| Stability & Storage | Store at -20°C or -80°C for 12 months. Avoid repeated freeze-thaw cycles. |
| Transport | Shipping with blue ice. |
| Size | Quantity | Unit Price | Amount | Operation |
|---|

Copyright © 2015-2026 TargetMol Chemicals Inc. All Rights Reserved.