Shopping Cart
Remove All
Your shopping cart is currently empty
Anti-MCP-1/CCL2 Polyclonal Antibody is a Rabbit antibody targeting MCP-1/CCL2. Anti-MCP-1/CCL2 Polyclonal Antibody can be used in IF,IHC-Fr,IHC-P,WB.
| Pack Size | Price | USA Warehouse | Global Warehouse | Quantity |
|---|---|---|---|---|
| 50 μL | $221 | 7-10 days | 7-10 days | |
| 100 μL | $372 | 7-10 days | 7-10 days | |
| 200 μL | $527 | 7-10 days | 7-10 days |
| Description | Anti-MCP-1/CCL2 Polyclonal Antibody is a Rabbit antibody targeting MCP-1/CCL2. Anti-MCP-1/CCL2 Polyclonal Antibody can be used in IF,IHC-Fr,IHC-P,WB. |
| Synonyms | Small-inducible cytokine A2, Scya2, Monocyte chemotactic protein 1, Monocyte chemoattractant protein 1, MCP-1, Ccl2, C-C motif chemokine 2 |
| Ig Type | IgG |
| Reactivity | Rat |
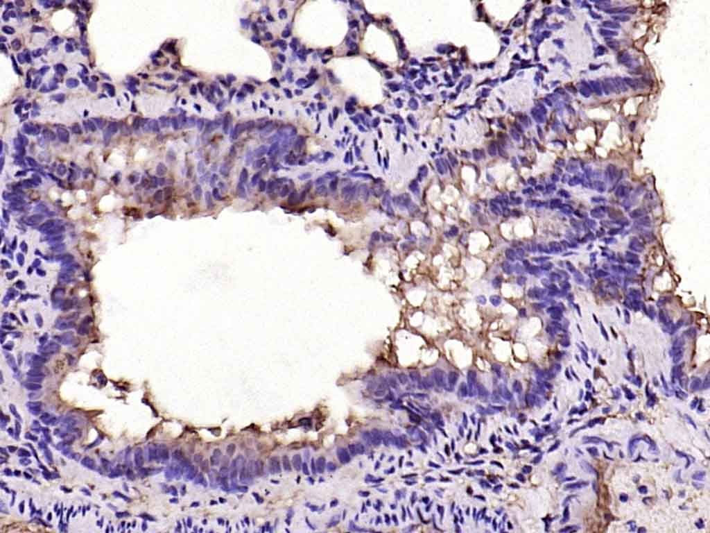
| Verified Activity | Paraformaldehyde-fixed, paraffin embedded (rat lung); Antigen retrieval by boiling in sodium citrate buffer (pH6.0) for 15 min; Block endogenous peroxidase by 3% hydrogen peroxide for 20 min; Blocking buffer (normal goat serum) at 37°C for 30 min; Antibody incubation with (MCP1) Polyclonal Antibody, Unconjugated (TMAB-01115) at 1:200 overnight at 4°C, followed by operating according to SP Kit (Rabbit) instructionsand DAB staining. ![]() |
| Application | |
| Recommended Dose | WB: 1:500-2000; IHC-P: 1:400-800; IHC-Fr: 1:400-800; IF: 1:100-500 |
| Antibody Type | Polyclonal |
| Host Species | Rabbit |
| Subcellular Localization | Secreted. |
| Construction | Polyclonal Antibody |
| Purification | Protein A purified |
| Appearance | Liquid |
| Formulation | 0.01M TBS (pH7.4) with 1% BSA, 0.02% Proclin300 and 50% Glycerol. |
| Concentration | 1 mg/mL |
| Research Background | Chemotactic factor that attracts monocytes and basophils but not neutrophils or eosinophils. Augments monocyte anti-tumor activity. Has been implicated in the pathogenesis of diseases characterized by monocytic infiltrates, like psoriasis, rheumatoid arthritis or atherosclerosis. May be involved in the recruitment of monocytes into the arterial wall during the disease process of atherosclerosis. Monomer or homodimer; in equilibrium. Binds to CCR2 and CCR4. Is tethered on endothelial cells by glycosaminoglycan (GAG) side chains of proteoglycans. Processing at the N-terminus can regulate receptor and targetcell selectivity. Deletion of the N-terminal residue converts it from an activator of basophil to an eosinophil chemoattractant. Genetic variations in CCL2 determine Mycobacterium tuberculosis susceptibility Belongs to the intercrine beta (chemokine CC) family. The MCP-1( the monocyte chemotactic protein1) has many pits that regulates the function toward sex to turn to record the factor, it can induce to have relation with inflammation with the immunity various genes turn to record.The immunity MCP-1 set turns the male signal to mainly locate the afterbirth syrup inside. |
| Immunogen | KLH conjugated synthetic peptide: rat MCP-1 |
| Antigen Species | Rat |
| Gene Name | CCL2 |
| Gene ID | |
| Protein Name | C-C motif chemokine 2 |
| Uniprot ID | |
| Biology Area | Response to hypoxia,Chemokines,Alpha Chemokines (CXC),Hypoxia,Heart disease |
| Function | Chemotactic factor that attracts monocytes and basophils but not neutrophils or eosinophils. Augments monocyte anti-tumor activity. Has been implicated in the pathogenesis of diseases characterized by monocytic infiltrates, like psoriasis, rheumatoid arthritis or atherosclerosis. May be involved in the recruitment of monocytes into the arterial wall during the disease process of atherosclerosis. |
| Molecular Weight | Theoretical: 11 kDa. |
| Stability & Storage | Store at -20°C or -80°C for 12 months. Avoid repeated freeze-thaw cycles. |
| Transport | Shipping with blue ice. |
| Size | Quantity | Unit Price | Amount | Operation |
|---|

Copyright © 2015-2025 TargetMol Chemicals Inc. All Rights Reserved.