Shopping Cart
- Remove All
 Your shopping cart is currently empty Your shopping cart is currently empty
Anti-MAP2K3 Antibody (1S917) is a Rabbit antibody targeting MAP2K3. Anti-MAP2K3 Antibody (1S917) can be used in FCM,ICC/IF,IHC,IP,WB.
| Pack Size | Price | Availability | Quantity | 
|---|---|---|---|
| 50 μL | $297 | 7-10 days | |
| 100 μL | $497 | 7-10 days | 
| Description | Anti-MAP2K3 Antibody (1S917) is a Rabbit antibody targeting MAP2K3. Anti-MAP2K3 Antibody (1S917) can be used in FCM,ICC/IF,IHC,IP,WB. | 
| Synonyms | zMKK 3, SKK2, Protein kinase mitogen activated kinase 3, PRKMK3, PRKMK 3, MPK 3, MP2K6, MP2K3, mMKK3b, mMKK 3b, MKK3, MKK 3, Mitogen activated protein kinase kinase 3, MEK3, MEK 3, MAPKK3, MAPKK 3, MAPK kinase 3, MAPK ERK kinase 3, MAP2K 3, MAP kinase kinase 3, MAP Kinase Kinase 3, ERK kinase 3, Dual specificity mitogen activated protein kinase kinase 3 | 
| Ig Type | IgG | 
| Clone | 1S917 | 
| Reactivity | Human,Mouse,Rat | 
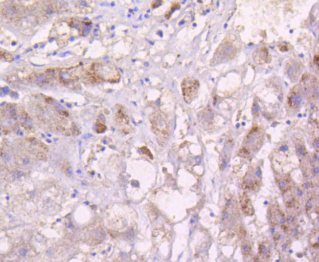
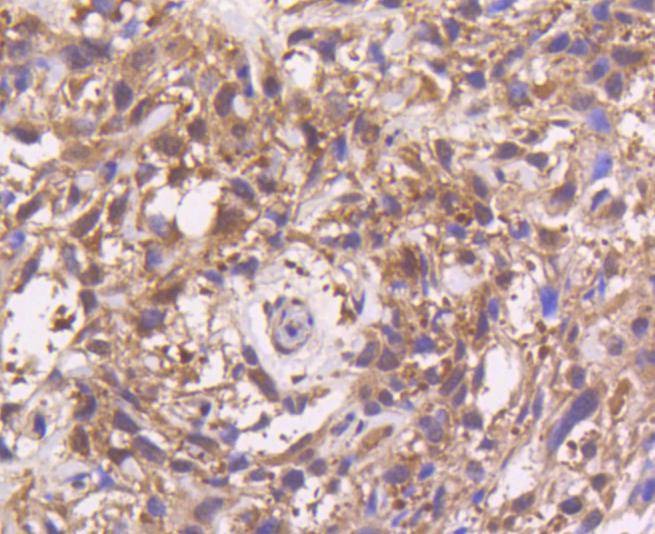
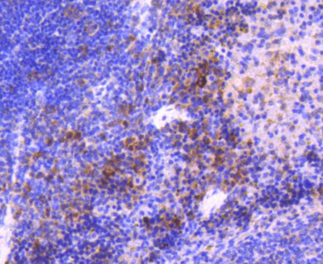
| Verified Activity | 1. Western blot analysis of MEK3 on Hela lysates using anti-MEK3 antibody at 1/1,000 dilution. 2. Immunohistochemical analysis of paraffin-embedded human liver tissue using anti-MEK3 antibody. Counter stained with hematoxylin. 3. Immunohistochemical analysis of paraffin-embedded human breast carcinoma tissue using anti-MEK3 antibody. Counter stained with hematoxylin. 4. Immunohistochemical analysis of paraffin-embedded mouse spleen tissue using anti-MEK3 antibody. Counter stained with hematoxylin. 5. ICC staining MEK3 in Hela cells (green). The nuclear counter stain is DAPI (blue). Cells were fixed in paraformaldehyde, permeabilised with 0.25% Triton X100/PBS. 6. Flow cytometric analysis of Hela cells with MEK3 antibody at 1/50 dilution (red) compared with an unlabelled control (cells without incubation with primary antibody; black). Alexa Fluor 488-conjugated goat anti rabbit IgG was used as the secondary antibody.       | 
| Application | |
| Recommended Dose | WB: 1:1000-5000; IHC: 1:50-200; ICC/IF: 1:50-200; FCM: 1:50-100 | 
| Antibody Type | Monoclonal | 
| Host Species | Rabbit | 
| Construction | Recombinant Antibody | 
| Purification | ProA affinity purified | 
| Appearance | Liquid | 
| Formulation | 1*TBS (pH7.4), 1%BSA, 40%Glycerol. Preservative: 0.05% Sodium Azide. | 
| Research Background | A family of protein kinases located upstream of the MAP kinases and responsible for their activation has been identified. The prototype member of this family, designated MAP kinase kinase, or MEK-1, specifically phosphorylates the MAP kinase regulatory threonine and tyrosine residues present in the Thr-Glu-Tyr motif of ERK. A second MEK family member, MEK-2, resembles MEK-1 in its substrate specificity. MEK-3 (or MKK-3) functions to activate p38 MAP kinase, and MEK-4 (also called SEK1 or MKK-4) activates both p38 and JNK MAP kinases. MEK-5 appears to specifically phosphorylate ERK5, whereas MEK-6 phosphorylates p38 and p38b. MEK-7 (or MKK-7) phosphorylates and activates the JNK signal transduction pathway. | 
| Conjucates | Unconjugated | 
| Immunogen | Recombinant Protein | 
| Uniprot ID | 
| Molecular Weight | Theoretical: 39 kDa. | 
| Stability & Storage | Store at -20°C or -80°C for 12 months. Avoid repeated freeze-thaw cycles. | 
| Transport | Shipping with blue ice. | 

Copyright © 2015-2025 TargetMol Chemicals Inc. All Rights Reserved.