Shopping Cart
Remove All
Your shopping cart is currently empty
Synonyms: zMKK 3, SKK2, Protein kinase mitogen activated kinase 3, PRKMK3, PRKMK 3, MPK 3, MP2K6, MP2K3, mMKK3b, mMKK 3b, MKK3, MKK 3, Mitogen activated protein kinase kinase 3, MEK3, MEK 3, MAPKK3, MAPKK 3, MAPK kinase 3, MAPK ERK kinase 3, MAP2K 3, MAP kinase kinase 3, ERK kinase 3, Dual specificity mitogen activated protein kinase kinase 3
| Pack Size | Price | USA Stock | Global Stock | Quantity |
|---|---|---|---|---|
| 50 μL | $216 | 7-10 days | 7-10 days | |
| 100 μL | $316 | 7-10 days | 7-10 days |
| Description | Anti-MAP2K3 Polyclonal Antibody is a Rabbit antibody targeting MAP2K3. Anti-MAP2K3 Polyclonal Antibody can be used in IF,IHC,WB. |
| Synonyms | zMKK 3, SKK2, Protein kinase mitogen activated kinase 3, PRKMK3, PRKMK 3, MPK 3, MP2K6, MP2K3, mMKK3b, mMKK 3b, MKK3, MKK 3, Mitogen activated protein kinase kinase 3, MEK3, MEK 3, MAPKK3, MAPKK 3, MAPK kinase 3, MAPK ERK kinase 3, MAP2K 3, MAP kinase kinase 3, ERK kinase 3, Dual specificity mitogen activated protein kinase kinase 3 |
| Ig Type | IgG |
| Reactivity | Human,Mouse,Rat |
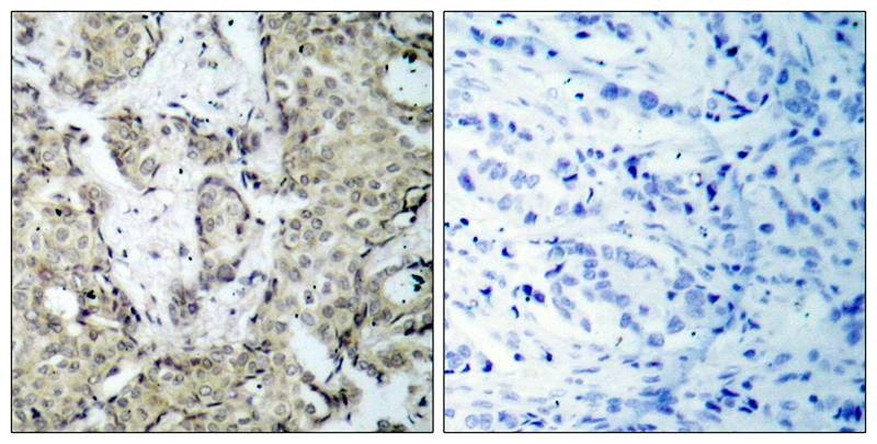
| Verified Activity | 1. Western blot analysis of extracts from Hela cells untreated or treated with PMA using MKK3 (Phospho-Ser189) Antibody TMAC-02592. 2. Immunohistochemical analysis of paraffin-embedded human breast carcinoma tissue using MKK3 (Phospho-Ser189) Antibody TMAC-02592 (left) or the same antibody preincubated with blocking peptide (right). 3. Immunofluorescence staining of methanol-fixed Hela cells using MKK3 (Phospho-Ser189) Antibody TMAC-02592. 4. Western blot analysis of extracts from 3T3 cells, treated with Anisomycin or calf intestinal phosphatase (CIP), using MKK3 (Phospho-Ser189) Antibody TMAC-02592. |
| Application | |
| Antibody Type | Polyclonal |
| Host Species | Rabbit |
| Construction | Polyclonal Antibody |
| Purification | Antibodies were produced by immunizing rabbits with synthetic phosphopeptide and KLH conjugates. Antibodies were purified by affinity-chromatography using epitope-specific phosphopeptide. Non-phospho specific antibodies were removed by chromatogramphy using non-phosphopeptide. |
| Appearance | Liquid |
| Formulation | Supplied at 1.0mg/mL in phosphate buffered saline (without Mg2+ and Ca2+), pH 7.4, 150mM NaCl, 0.02% sodium azide and 50% glycerol. |
| Research Background | Dual specificity kinase. Is activated by cytokines and environmental stress in vivo. Catalyzes the concomitant phosphorylation of a threonine and a tyrosine residue in the MAP kinase p38. |
| Conjucates | Unconjugated |
| Others Formats | Phospho |
| Immunogen | Peptide sequence around phosphorylation site of serine 189 (V-D-S(p)-V-A) derived from Human MKK3 |
| Antigen Species | human |
| Uniprot ID |
| Stability & Storage | Store at 2°C-8°C for 1 month. Store at -20°C or -80°C for 12 months. Avoid repeated freeze-thaw cycles. |
| Transport | Shipping with blue ice. |
| Size | Quantity | Unit Price | Amount | Operation |
|---|

Copyright © 2015-2026 TargetMol Chemicals Inc. All Rights Reserved.