Shopping Cart
Remove All
Your shopping cart is currently empty
Synonyms: Microtubule-associated proteins 1A/1B light chain 3B, Microtubule-associated protein 1 lig, MAP1A/MAP1B light chain 3 B, MAP1A/MAP1B LC3 B, MAP1 light chain 3-like protein 2, Autophagy-related ubiquitin-like modifier LC3 B, Autophagy-related protein LC3 B
| Pack Size | Price | USA Stock | Global Stock | Quantity |
|---|---|---|---|---|
| 50 μL | $297 | 7-10 days | 7-10 days | |
| 100 μL | $498 | 7-10 days | 7-10 days |
| Description | Anti-MAP1LC3B Antibody (7N270) is a Rabbit antibody targeting MAP1LC3B. Anti-MAP1LC3B Antibody (7N270) can be used in ICC/IF,IHC,IHF,IP,WB. |
| Synonyms | Microtubule-associated proteins 1A/1B light chain 3B, Microtubule-associated protein 1 lig, MAP1A/MAP1B light chain 3 B, MAP1A/MAP1B LC3 B, MAP1 light chain 3-like protein 2, Autophagy-related ubiquitin-like modifier LC3 B, Autophagy-related protein LC3 B |
| Ig Type | IgG |
| Clone | 7N270 |
| Reactivity | Human,Mouse,Rat |
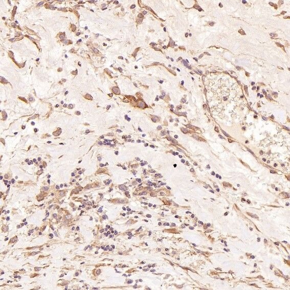
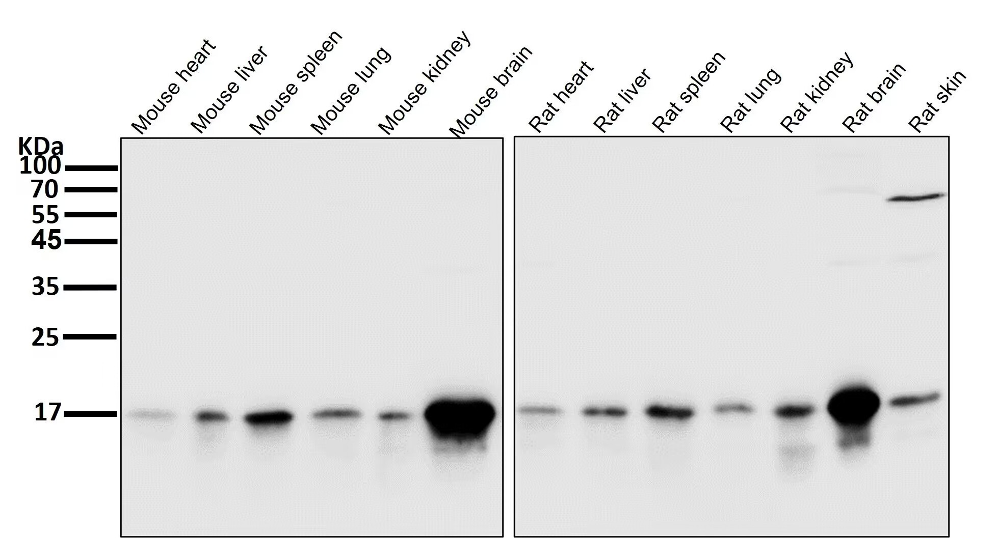
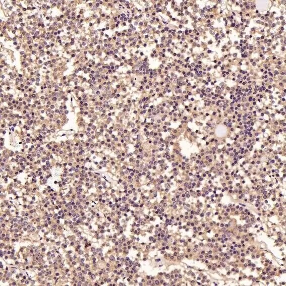
| Verified Activity | 1. All lanes use the Antibody at 1:3000 dilution for 12 hour at 4℃. 2. Immunohistochemical analysis of paraffin-embedded Human pituitary tumor, using the Antibody at 1:50 dilution. 3. Immunohistochemical analysis of paraffin-embedded Human esophageal carcinoma, using the Antibody at 1:50 dilution. 4. Immunofluorescent analysis using the Antibody at 1:150 dilution. 5. All lanes: LC3B Rabbit mAb at 1/2k dilution, Lane 1: Human brain lysate, Lane 2: RAW 264.7 cell lysate, Lane 3: C6 cell lysate, Lane 4: 293 cell lysate, Lane 5: THP-1 cell lysate, Lane 6: A431 cell lysate, Lane 7: SH-SY5Y cell lysate, Secondary All lanes: Goat Anti-Rabbit IgG H&L (HRP) at 1/10000 dilution, Predicted band size: 14,16 kDa, Observed band size: 14,16 kDa, Exposure time: 130 seconds. |
| Application | IHF |
| Recommended Dose | WB: 1:1000-2000; IHC: 1:100-200; ICC/IF: 1:50-200; IHF: 1:50-200; IP: 1:20-50 |
| Antibody Type | Monoclonal |
| Host Species | Rabbit |
| Construction | Recombinant Antibody |
| Purification | ProA affinity purified |
| Appearance | Liquid |
| Formulation | 1*TBS (pH7.4), 1%BSA, 40%Glycerol. Preservative: 0.05% Sodium Azide. |
| Research Background | Microtubule-associated proteins (MAPs) regulate microtubule stability and play critical roles in neuronal development and in maintaining the balance between neuronal plasticity and rigidity. MAP-light chain 3 beta (MAP-LC3β) and MAP-light chain 3 alpha (MAP-LC3α) are subunits of both MAP1A and MAP1B. MAP-LC3β, a homolog of Apg8p, is essential for autophagy and associated to the autophagosome membranes after processing. Two forms of LC3β, the cytosolic LC3-I and the membrane-bound LC3-II, are produced post-translationally. LC3-I is formed by the removal of the C-terminal 22 amino acids from newly synthesized LC3β, followed by the conversion of a fraction of LC3-I into LC3-II. LC3 enhances fibronectin mRNA translation in ductus arteriosus cells through association with 60S ribosomes and binding to an AU-rich element in the 3?? untranslated region of fibronectin mRNA. This facilitates sorting of fibronectin mRNA onto rough endoplasmic reticulum and translation. MAP LC3β may also be involved in formation of autophagosomal vacuoles. It is expressed primarily in heart, testis, brain and skeletal muscle. |
| Conjucates | Unconjugated |
| Immunogen | Recombinant Protein |
| Uniprot ID |
| Molecular Weight | Theoretical: 14, 16 kDa. |
| Stability & Storage | Store at -20°C or -80°C for 12 months. Avoid repeated freeze-thaw cycles. |
| Transport | Shipping with blue ice. |
| Size | Quantity | Unit Price | Amount | Operation |
|---|

Copyright © 2015-2026 TargetMol Chemicals Inc. All Rights Reserved.