Shopping Cart
Remove All
Your shopping cart is currently empty
Anti-Lactoylglutathione lyase/GLO1 Antibody (8P849) is a Rabbit antibody targeting Lactoylglutathione lyase/GLO1. Anti-Lactoylglutathione lyase/GLO1 Antibody (8P849) can be used in FCM,ICC,IHC,WB.
| Pack Size | Price | USA Warehouse | Global Warehouse | Quantity |
|---|---|---|---|---|
| 50 μL | $297 | 7-10 days | 7-10 days | |
| 100 μL | $498 | 7-10 days | 7-10 days |
| Description | Anti-Lactoylglutathione lyase/GLO1 Antibody (8P849) is a Rabbit antibody targeting Lactoylglutathione lyase/GLO1. Anti-Lactoylglutathione lyase/GLO1 Antibody (8P849) can be used in FCM,ICC,IHC,WB. |
| Synonyms | S-D-lactoylglutathione methylglyoxal lyase, Methylglyoxalase, Lactoylglutathione lyase, Ketone-aldehyde mutase, Glyoxalase I (Glx I), GLO1, Aldoketomutase |
| Ig Type | IgG |
| Clone | 8P849 |
| Reactivity | Human,Mouse,Rat |
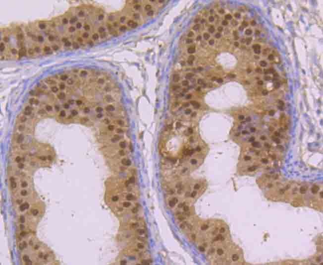
| Verified Activity | 1. Western blot analysis of GLO1 on different lysates using anti-GLO1 antibody at 1/500 dilution. Positive control: Lane 1: Mouse testis tissue, Lane 2: C2C12, Lane 3: 293, Lane 4: Rat spleen tissue. 2. Immunohistochemical analysis of paraffin-embedded rat epididymis tissue using anti-GLO1 antibody. Counter stained with hematoxylin. 3. Immunohistochemical analysis of paraffin-embedded human thyroid gland tissue using anti-GLO1 antibody. Counter stained with hematoxylin. 4. ICC staining GLO1 in 293T cells (green). The nuclear counter stain is DAPI (blue). Cells were fixed in paraformaldehyde, permeabilised with 0.25% Triton X100/PBS. 5. ICC staining GLO1 in HUVEC cells (green). The nuclear counter stain is DAPI (blue). Cells were fixed in paraformaldehyde, permeabilised with 0.25% Triton X100/PBS. 6. ICC staining GLO1 in SH-SY5Y cells (green). The nuclear counter stain is DAPI (blue). Cells were fixed in paraformaldehyde, permeabilised with 0.25% Triton X100/PBS. 7. Flow cytometric analysis of Hela cells with GLO1 antibody at 1/100 dilution (red) compared with an unlabelled control (cells without incubation with primary antibody; black). ![]() ![]() ![]() ![]() ![]() ![]() ![]() |
| Application | |
| Recommended Dose | WB: 1:500-2000; IHC: 1:100-500; ICC: 1:100-500; FCM: 1:50-100 |
| Antibody Type | Monoclonal |
| Host Species | Rabbit |
| Construction | Recombinant Antibody |
| Purification | ProA affinity purified |
| Appearance | Liquid |
| Formulation | 1*TBS (pH7.4), 1%BSA, 40%Glycerol. Preservative: 0.05% Sodium Azide. |
| Research Background | The glyoxal pathway plays a role in the detoxification of glucose degradation products (GDP). Glyoxalase I (GLO1), a member of the glyoxalase family, is effective in eliminating GDP. Overexpression or silencing of Glyoxalase I in mice brain suggests an association between Glyoxalase I and anxiety. Glyoxalase I has three isoforms generated from two alleles in the genome which forms two homodimers and one heterodimer, each subunit binding one zinc ion. Research demonstrates that GLO1 gene expression is induced in colon carcinoma. Both an insulin response element (IRE), and a zinc metal response element (MRE) in the promoter region of the GLO1 gene have been identified. |
| Conjucates | Unconjugated |
| Immunogen | Recombinant Protein |
| Uniprot ID |
| Molecular Weight | Theoretical: 21 kDa. |
| Stability & Storage | Store at -20°C or -80°C for 12 months. Avoid repeated freeze-thaw cycles. |
| Transport | Shipping with blue ice. |
| Size | Quantity | Unit Price | Amount | Operation |
|---|

Copyright © 2015-2026 TargetMol Chemicals Inc. All Rights Reserved.