Shopping Cart
Remove All
Your shopping cart is currently empty
Anti-KRAS Polyclonal Antibody is a Rabbit antibody targeting KRAS. Anti-KRAS Polyclonal Antibody can be used in FCM, IF, IHC-Fr, IHC-P, WB.
| Pack Size | Price | USA Stock | Global Stock | Quantity |
|---|---|---|---|---|
| 50 μL | $222 | 7-10 days | 7-10 days | |
| 100 μL | $374 | 7-10 days | 7-10 days | |
| 200 μL | $527 | 7-10 days | 7-10 days |
| Description | Anti-KRAS Polyclonal Antibody is a Rabbit antibody targeting KRAS. Anti-KRAS Polyclonal Antibody can be used in FCM, IF, IHC-Fr, IHC-P, WB. |
| Synonyms | RASK2, RALD, NS3, NS, K-RAS4B, K-RAS4A, K-RAS2B, K-RAS2A, KRAS2, KRAS1, K-RAS, Kirsten rat sarcoma viral oncogene homolog, KI-RAS, C-K-RAS, CFC2 |
| Ig Type | IgG |
| Reactivity | Human,Mouse,Rat |
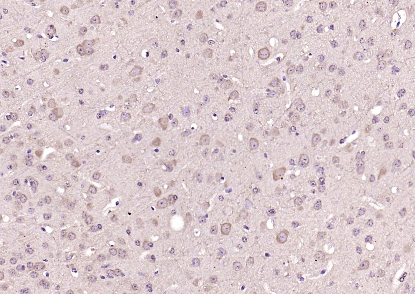
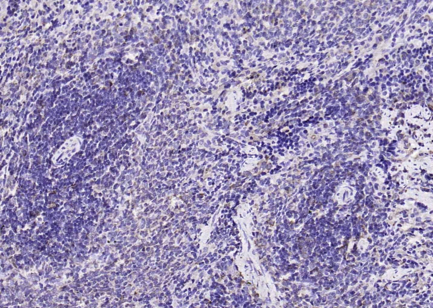
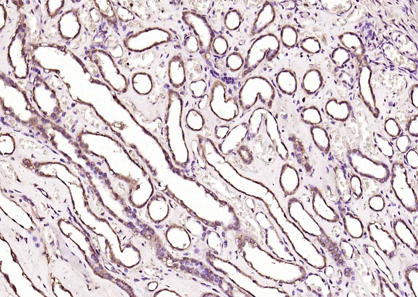
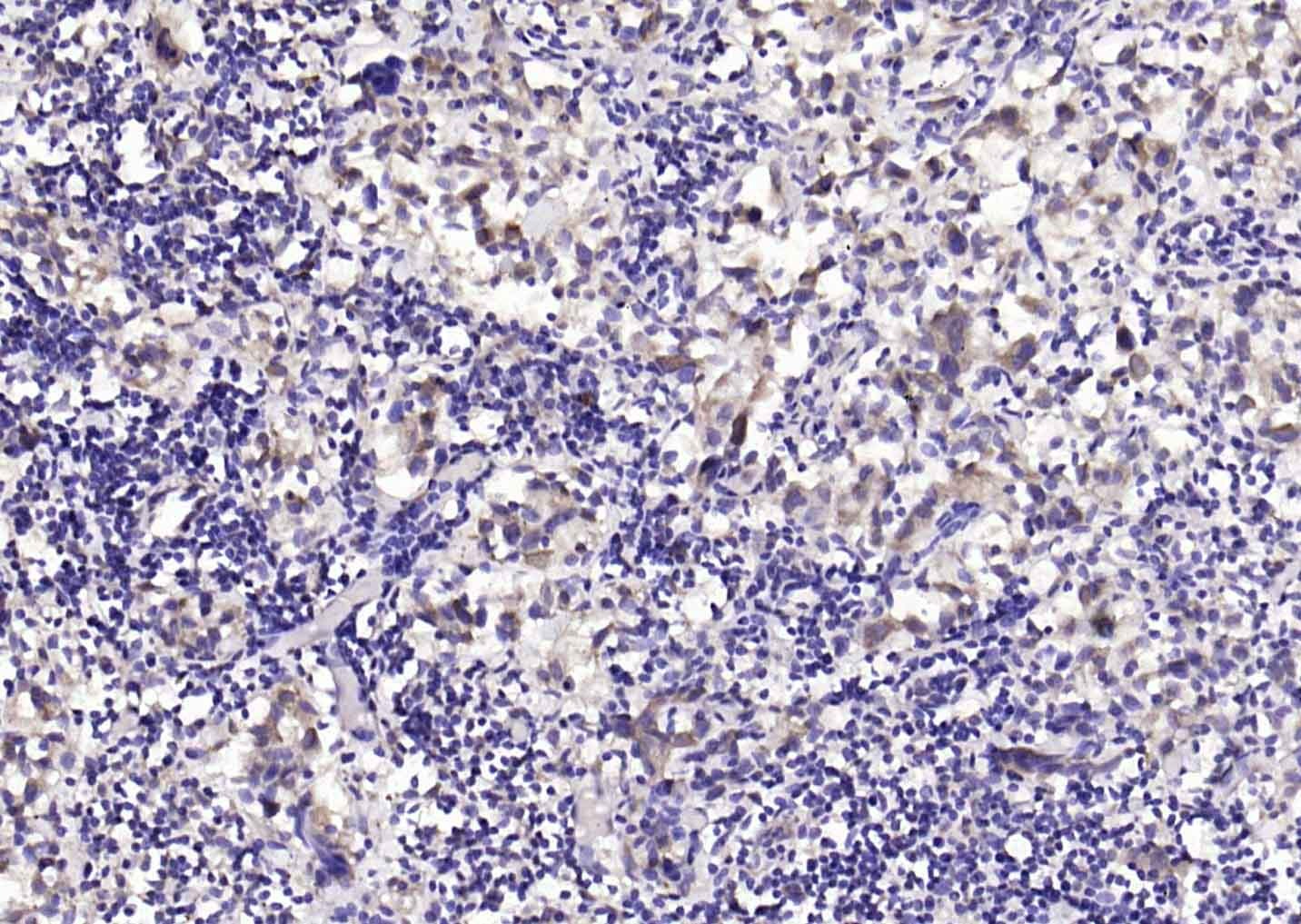
| Verified Activity | 1. Blank control (Black line): Molt4 (Black). Primary Antibody (green line): Rabbit Anti-KRAS antibody (TMAB-01034) Dilution: 1 μg/10^6 cells; Isotype Control Antibody (orange line): Rabbit IgG. Secondary Antibody (white blue line): Goat anti-rabbit IgG-AF647 Dilution: 1 μg/test. Protocol The cells were fixed with 4% PFA (10 min at room temperature) and then permeabilized with 90% ice-cold methanol for 20 min at room temperature. The cells were then incubated in 5% BSA to block non-specific protein-protein interactions for 30 min at room temperature. Cells stained with Primary Antibody for 30 min at room temperature. The secondary antibody used for 40 min at room temperature. 2. Sample: NIH/3T3 (Mouse) Cell Lysate at 30 μg Primary: Anti-KRAS (TMAB-01034) at 1/300 dilution Secondary: IRDye800CW Goat Anti-Rabbit IgG at 1/20000 dilution Predicted band size: 21 kDa Observed band size: 23 kDa 3. Sample: HL60 (Human) Cell Lysate at 30 μg Primary: Anti-KRAS (TMAB-01034) at 1/1000 dilution Secondary: IRDye800CW Goat Anti-Rabbit IgG at 1/20000 dilution Predicted band size: 21 kDa Observed band size: 21 kDa 4. Paraformaldehyde-fixed, paraffin embedded (Human kidney); Antigen retrieval by boiling in sodium citrate buffer (pH6.0) for 15 min; Block endogenous peroxidase by 3% hydrogen peroxide for 20 min; Blocking buffer (normal goat serum) at 37°C for 30 min; Antibody incubation with (KRAS) Polyclonal Antibody, Unconjugated (TMAB-01034) at 1:200 overnight at 4°C, followed by operating according to SP Kit (Rabbit) instructionsand DAB staining. 5. Paraformaldehyde-fixed, paraffin embedded (mouse brain); Antigen retrieval by boiling in sodium citrate buffer (pH6.0) for 15 min; Block endogenous peroxidase by 3% hydrogen peroxide for 20 min; Blocking buffer (normal goat serum) at 37°C for 30 min; Antibody incubation with (KRAS) Polyclonal Antibody, Unconjugated (TMAB-01034) at 1:200 overnight at 4°C, followed by operating according to SP Kit (Rabbit) instructionsand DAB staining. 6. Paraformaldehyde-fixed, paraffin embedded (rat brain); Antigen retrieval by boiling in sodium citrate buffer (pH6.0) for 15 min; Block endogenous peroxidase by 3% hydrogen peroxide for 20 min; Blocking buffer (normal goat serum) at 37°C for 30 min; Antibody incubation with (KRAS) Polyclonal Antibody, Unconjugated (TMAB-01034) at 1:200 overnight at 4°C, followed by operating according to SP Kit (Rabbit) instructionsand DAB staining. 7. Paraformaldehyde-fixed, paraffin embedded (rat spleen); Antigen retrieval by boiling in sodium citrate buffer (pH6.0) for 15 min; Block endogenous peroxidase by 3% hydrogen peroxide for 20 min; Blocking buffer (normal goat serum) at 37°C for 30 min; Antibody incubation with (KRAS) Polyclonal Antibody, Unconjugated (TMAB-01034) at 1:200 overnight at 4°C, followed by operating according to SP Kit (Rabbit) instructionsand DAB staining. 8. Paraformaldehyde-fixed, paraffin embedded (human gastric carcinoma); Antigen retrieval by boiling in sodium citrate buffer (pH6.0) for 15 min; Block endogenous peroxidase by 3% hydrogen peroxide for 20 min; Blocking buffer (normal goat serum) at 37°C for 30 min; Antibody incubation with (KRAS) Polyclonal Antibody, Unconjugated (TMAB-01034) at 1:200 overnight at 4°C, followed by operating according to SP Kit (Rabbit) instructionsand DAB staining. 9. Sample: Lane 1: Human 293T cell lysates Lane 2: Human Hela cell lysates Lane 3: Human A549 cell lysates Primary: Anti-KRAS (TMAB-01034) at 1/1000 dilution Secondary: IRDye800CW Goat Anti-Rabbit IgG at 1/20000 dilution Predicted band size: 21 kDa Observed band size: 24 kDa ![]() ![]() ![]() ![]() ![]() ![]() ![]() ![]() ![]() |
| Application | |
| Recommended Dose | FCM=1 μg/Test; IF=1:100-500; IHC-Fr=1:100-500; IHC-P=1:100-500; WB=1:500-2000 |
| Antibody Type | Polyclonal |
| Host Species | Rabbit |
| Subcellular Localization | Cell membrane. Cell membrane; Lipid-anchor; Cytoplasmic side. Golgi apparatus. Golgi apparatus membrane; Lipid-anchor. Isoform 2: Nucleus. Cytoplasm. Cytoplasm, perinuclear region. |
| Tissue Specificity | Widely expressed. |
| Construction | Polyclonal Antibody |
| Purification | Protein A purified |
| Appearance | Liquid |
| Formulation | 0.01M TBS (pH7.4) with 1% BSA, 0.02% Proclin300 and 50% Glycerol. |
| Concentration | 1 mg/mL |
| Research Background | This gene, a Kirsten ras oncogene homolog from the mammalian ras gene family, encodes a protein that is a member of the small GTPase superfamily. A single amino acid substitution is responsible for an activating mutation. The transforming protein that results is implicated in various malignancies, including lung adenocarcinoma, mucinous adenoma, ductal carcinoma of the pancreas and colorectal carcinoma. Alternative splicing leads to variants encoding two isoforms that differ in the C-terminal region. [provided by RefSeq] Ras, a proto-oncogene, is a small G-protein that has 3 primary isoforms (H-Ras, N-Ras, and K-Ras) that differ in there approximately 20 C-terminal amino acids. H-Ras was first discovered as a transforming product the retrovirus Harvey murine virus and K-Ras of Kirten sarcoma virus. Ras is a heavily studied target of both academic and pharmaceutical research because of its implications in various pathways and diseases as well as being mutated in a large number of human cancers. Ras is most notably the activator of the Erk/MAPK kinase pathway as activator of Raf, as well as an activator of PI3 Kinase (PI3K). In its oncogenic, mutated state, Ras is unable to hydrolyze GTP to GDP, thus staying in an active state and activating numerous pathways including the MAPK pathway through its activation of Raf, but also others as well that include PI3 Kinase and RalGDS. One path that the pharmaceutical industry has taken to control Ras and its activity is by finding what some consider its Achilles’ heel. For its activation, Ras must localize to the plasma membrane, but interestingly, it lacks a transmembrane domain. To achieve this, Ras must first undergo a post-translational modification (PTM) known as prenylation or geranylation at its C-terminal CAAX motif. For this to take place, a controlled three step process must occur. The first step in the process is the prenylation or geranylation of the C in the CAAX motif that is initiated by the covalent attachment of farnesyl groups to the cysteine that is catalyzed by the . After this modification, the and heterodimer enzymes farnesyl transferases –aaX of the motif is proteolytically removed via Rce1 (Ras Converting Enzyme 1), a membrane associated endoprotease, by a mechanism that is still not fully understood. Finally, the C-terminal prenylcysteine is now methlylated by ICMT (Isoprenylcysteine Carboxymethyl Transferase). These drugs have yet to pass clinical trials though and there is doubt that they will ever be successful in treating tumors associated with Ras activation. |
| Immunogen | KLH conjugated synthetic peptide: human K-ras |
| Antigen Species | Human |
| Gene Name | KRAS |
| Gene ID | |
| Protein Name | GTPase KRas |
| Uniprot ID | |
| Biology Area | Ras family,Proto-oncogenes,Ras Family |
| Function | Ras proteins bind GDP/GTP and possess intrinsic GTPase activity. |
| Molecular Weight | Theoretical: 21 kDa. Actual: 24 kDa. |
| Stability & Storage | Store at -20°C or -80°C for 12 months. Avoid repeated freeze-thaw cycles. |
| Transport | Shipping with blue ice. |
| Size | Quantity | Unit Price | Amount | Operation |
|---|

Copyright © 2015-2026 TargetMol Chemicals Inc. All Rights Reserved.