Shopping Cart
- Remove All
 Your shopping cart is currently empty Your shopping cart is currently empty
Anti-KMT2C Polyclonal Antibody is a Rabbit antibody targeting KMT2C. Anti-KMT2C Polyclonal Antibody can be used in IF,IHC-Fr,IHC-P.
| Pack Size | Price | Availability | Quantity | 
|---|---|---|---|
| 50 μL | $221 | 7-10 days | |
| 100 μL | $374 | 7-10 days | |
| 200 μL | $529 | 7-10 days | 
| Description | Anti-KMT2C Polyclonal Antibody is a Rabbit antibody targeting KMT2C. Anti-KMT2C Polyclonal Antibody can be used in IF,IHC-Fr,IHC-P. | 
| Synonyms | Myeloid/lymphoid or mixed-lineage leukemia protein 3 homolog, Myeloid/lymphoid or mixed-lineage leukemia protein 3, MLL3, Lysine N-methyltransferase 2C, KMT2C, Homologous to ALR protein, Histone-lysine N-methyltransferase MLL3 | 
| Ig Type | IgG | 
| Reactivity | Mouse (predicted:Human,Rat,Pig) | 
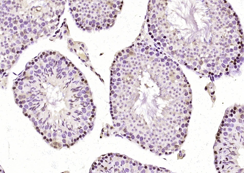
| Verified Activity | Paraformaldehyde-fixed, paraffin embedded (mouse testis tissue); Antigen retrieval by boiling in sodium citrate buffer (pH6.0) for 15 min; Block endogenous peroxidase by 3% hydrogen peroxide for 20 min; Blocking buffer (normal goat serum) at 37°C for 30 min; Antibody incubation with (KMT2C) Polyclonal Antibody, Unconjugated (TMAB-01032) at 1:200 overnight at 4°C, followed by operating according to SP Kit (Rabbit) instructionsand DAB staining.  | 
| Application | |
| Recommended Dose | IHC-P: 1:100-500; IHC-Fr: 1:100-500; IF: 1:100-500 | 
| Antibody Type | Polyclonal | 
| Host Species | Rabbit | 
| Subcellular Localization | Nucleus. | 
| Tissue Specificity | Highly expressed in testis and ovary, followed by brain and liver. Also expressed in placenta, peripherical blood, fetal thymus, heart, lung and kidney. Within brain, expression was highest in hippocampus, caudate nucleus, and substantia nigra. Not detect | 
| Construction | Polyclonal Antibody | 
| Purification | Protein A purified | 
| Appearance | Liquid | 
| Formulation | 0.01M TBS (pH7.4) with 1% BSA, 0.02% Proclin300 and 50% Glycerol. | 
| Concentration | 1 mg/mL | 
| Research Background | This gene is a member of the myeloid/lymphoid or mixed-lineage leukemia (MLL) family and encodes a nuclear protein with an AT hook DNA-binding domain, a DHHC-type zinc finger, six PHD-type zinc fingers, a SET domain, a post-SET domain and a RING-type zinc finger. This protein is a member of the ASC-2/NCOA6 complex (ASCOM), which possesses histone methylation activity and is involved in transcriptional coactivation. [provided by RefSeq, Jul 2008] | 
| Immunogen | KLH conjugated synthetic peptide: human KMT2C | 
| Antigen Species | Human | 
| Gene Name | KMT2C | 
| Gene ID | |
| Protein Name | Histone-lysine N-methyltransferase 2C | 
| Uniprot ID | |
| Function | Histone methyltransferase. Methylates 'Lys-4' of histone H3. H3 'Lys-4' methylation represents a specific tag for epigenetic transcriptional activation. Central component of the MLL2/MLL3 complex, a coactivator complex of nuclear receptors, involved in transcriptional coactivation. MLL3 may be a catalytic subunit of this complex. May be involved in leukemogenesis and developmental disorder. | 
| Molecular Weight | Theoretical: 541 kDa. | 
| Stability & Storage | Store at -20°C or -80°C for 12 months. Avoid repeated freeze-thaw cycles. | 
| Transport | Shipping with blue ice. | 

Copyright © 2015-2025 TargetMol Chemicals Inc. All Rights Reserved.