Shopping Cart
Remove All
Your shopping cart is currently empty
Anti-KAT8 Antibody (7Z632) is a Rabbit antibody targeting KAT8. Anti-KAT8 Antibody (7Z632) can be used in FCM,ICC,IF,IHC,IP,WB.
| Pack Size | Price | USA Warehouse | Global Warehouse | Quantity |
|---|---|---|---|---|
| 50 μL | $296 | 7-10 days | 7-10 days | |
| 100 μL | $496 | 7-10 days | 7-10 days |
| Description | Anti-KAT8 Antibody (7Z632) is a Rabbit antibody targeting KAT8. Anti-KAT8 Antibody (7Z632) can be used in FCM,ICC,IF,IHC,IP,WB. |
| Synonyms | YBF2/SAS3, SAS2 and TIP60 protein 1, MYST-1, MYST1, MOZ, MOF, Lysine acetyltransferase 8, KAT 8, hMOF, Histone acetyltransferase KAT8, EC 2.3.1.48 |
| Ig Type | IgG |
| Clone | 7Z632 |
| Reactivity | Human,Mouse,Rat |
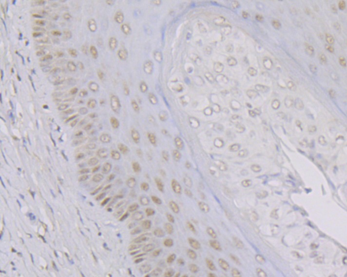
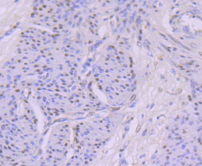
| Verified Activity | 1. Immunohistochemical analysis of paraffin-embedded human cervix tissue using anti-KAT8 antibody. Counter stained with hematoxylin. 2. Immunohistochemical analysis of paraffin-embedded human cervix cancer tissue using anti-KAT8 antibody. Counter stained with hematoxylin. 3. Immunohistochemical analysis of paraffin-embedded rat cervix tissue using anti-KAT8 antibody. Counter stained with hematoxylin. 4. ICC staining KAT8 in MCF-7 cells (green). The nuclear counter stain is DAPI (blue). Cells were fixed in paraformaldehyde, permeabilised with 0.25% Triton X100/PBS. 5. ICC staining KAT8 in SH-SY-5Y cells (green). The nuclear counter stain is DAPI (blue). Cells were fixed in paraformaldehyde, permeabilised with 0.25% Triton X100/PBS. 6. ICC staining KAT8 in SiHa cells (green). The nuclear counter stain is DAPI (blue). Cells were fixed in paraformaldehyde, permeabilised with 0.25% Triton X100/PBS. 7. Flow cytometric analysis of K562 cells with KAT8 antibody at 1/100 dilution (yellow) compared with an unlabelled control (cells without incubation with primary antibody; purple).Alexa Fluor 488-conjugated goat anti-rabbit IgG was used as the secondary antibody. ![]() ![]() ![]() ![]() ![]() ![]() ![]() |
| Application | |
| Recommended Dose | IHC: 1:50-1:200; ICC: 1:50-1:200; FCM: 1:50-1:100 |
| Antibody Type | Monoclonal |
| Host Species | Rabbit |
| Construction | Recombinant Antibody |
| Purification | ProA affinity purified |
| Appearance | Liquid |
| Formulation | Rabbit IgG in 10mM phosphate buffered saline , pH 7.4, 150mM sodium chloride, 0.05% BSA, 0.02% sodium azide and 50% glycerol. |
| Research Background | Dosage compensation ensures that males with a single X chromosome and females with two X chromosomes have the same amount of most X-linked gene products. In Drosophila, this is acheived by enhancing the level of transcription of the X chromosome in males. Proteins such as maleless, male specific lethal 1, 2 and 3, and males absent on the first (MOF) form a dosage compensation complex (DCC) that is required for the twofold increase of transcription of the male X chromosome. The DCC is preferentially associated with many sites on the X chromosome in somatic cells of males. The binding of the DCC to the X chromosome is dependent upon histone 4 acetylation at lysine 16, which is accomplished by MOF. In mammals, MOF (also designated hMOF, MYST1, or MOZ) belongs to the MYST family of histone acetyl transferases which are characterized by a unique C2HC-type zinc finger close to their HAT domains. MOF utilizes the zinc finger domain to contact the globular part of the nucleosome as well as the histone H4 N-terminal tail substrate. The carboxy terminal domain of human MOF also has histone acetyltransferase activity directed against histones H3 and H2A, a characteristic shared with other MYST family histone acetyltransferases. |
| Conjucates | Unconjugated |
| Immunogen | Recombinant Protein: within N-terminal human KAT8 |
| Antigen Species | human |
| Uniprot ID |
| Molecular Weight | Theoretical: 52 kDa. |
| Stability & Storage | Store at -20°C or -80°C for 12 months. Avoid repeated freeze-thaw cycles. |
| Transport | Shipping with blue ice. |
| Size | Quantity | Unit Price | Amount | Operation |
|---|

Copyright © 2015-2026 TargetMol Chemicals Inc. All Rights Reserved.