Shopping Cart
Remove All
Your shopping cart is currently empty
Synonyms: Type 1 InsP3 receptor, Type 1 inositol 1 4 5 trisphosphate receptor, Type 1 inositol 1, SCA29, SCA16, SCA15, ITPR1_HUMAN, Itpr1, ITPR 1, IP3R1, IP3R 1, IP3R, IP3 receptor isoform 1, IP3 receptor, IP3, IP 3 Receptor, InsP3R1, Inositol 1 4 5 trisphosphate Receptor Type 1, inositol 1 4 5 triphosphate receptor type 1, Inositol 1, DKFZp313N1434, DKFZp313E1334, 5-trisphosphate receptor type 1, 5-trisphosphate receptor, 4
| Pack Size | Price | USA Stock | Global Stock | Quantity |
|---|---|---|---|---|
| 50 μL | $297 | 7-10 days | 7-10 days | |
| 100 μL | $496 | 7-10 days | 7-10 days |
| Description | Anti-IP3 Receptor Antibody (9Q478) is a Rabbit antibody targeting IP3 Receptor. Anti-IP3 Receptor Antibody (9Q478) can be used in IHC,WB. |
| Synonyms | Type 1 InsP3 receptor, Type 1 inositol 1 4 5 trisphosphate receptor, Type 1 inositol 1, SCA29, SCA16, SCA15, ITPR1_HUMAN, Itpr1, ITPR 1, IP3R1, IP3R 1, IP3R, IP3 receptor isoform 1, IP3 receptor, IP3, IP 3 Receptor, InsP3R1, Inositol 1 4 5 trisphosphate Receptor Type 1, inositol 1 4 5 triphosphate receptor type 1, Inositol 1, DKFZp313N1434, DKFZp313E1334, 5-trisphosphate receptor type 1, 5-trisphosphate receptor, 4 |
| Ig Type | IgG |
| Clone | 9Q478 |
| Reactivity | Human,Mouse,Rat |
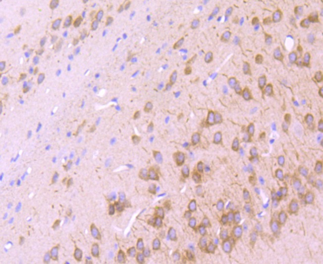
| Verified Activity | 1. Immunohistochemical analysis of paraffin-embedded mouse hippocampus tissue using anti-IP3 Receptor antibody. Counter stained with hematoxylin. 2. Western blot analysis of IP3 Receptor expression in HeLa cell lysate. |
| Application | |
| Recommended Dose | WB: 1:500; IHC: 1:50-200 |
| Antibody Type | Monoclonal |
| Host Species | Rabbit |
| Construction | Recombinant Antibody |
| Purification | ProA affinity purified |
| Appearance | Liquid |
| Formulation | 1*TBS (pH7.4), 1%BSA, 40%Glycerol. Preservative: 0.05% Sodium Azide. |
| Research Background | Intracellular channel that mediates calcium release from the endoplasmic reticulum following stimulation by inositol 1,4,5-trisphosphate. Involved in the regulation of epithelial secretion of electrolytes and fluid through the interaction with AHCYL1. Plays a role in ER stress-induced apoptosis. Cytoplasmic calcium released from the ER triggers apoptosis by the activation of CaM kinase II, eventually leading to the activation of downstream apoptosis pathways. |
| Conjucates | Unconjugated |
| Immunogen | Recombinant Protein |
| Uniprot ID |
| Molecular Weight | Theoretical: 314 kDa. |
| Stability & Storage | Store at -20°C or -80°C for 12 months. Avoid repeated freeze-thaw cycles. |
| Transport | Shipping with blue ice. |
| Size | Quantity | Unit Price | Amount | Operation |
|---|

Copyright © 2015-2026 TargetMol Chemicals Inc. All Rights Reserved.