Shopping Cart
Remove All
Your shopping cart is currently empty
Anti-IL-25/IL-17E Polyclonal Antibody is a Rabbit antibody targeting IL-25/IL-17E. Anti-IL-25/IL-17E Polyclonal Antibody can be used in IF,IHC-Fr,IHC-P,WB.
| Pack Size | Price | USA Stock | Global Stock | Quantity |
|---|---|---|---|---|
| 50 μL | $221 | 7-10 days | 7-10 days | |
| 100 μL | $373 | 7-10 days | 7-10 days | |
| 200 μL | $528 | 7-10 days | 7-10 days |
| Description | Anti-IL-25/IL-17E Polyclonal Antibody is a Rabbit antibody targeting IL-25/IL-17E. Anti-IL-25/IL-17E Polyclonal Antibody can be used in IF,IHC-Fr,IHC-P,WB. |
| Synonyms | interleukin-25, Interleukin-17E, IL-25, IL-17E, IL17E |
| Ig Type | IgG |
| Reactivity | Human,Mouse (predicted:Rat,Cow,Horse,Rabbit,Sheep) |
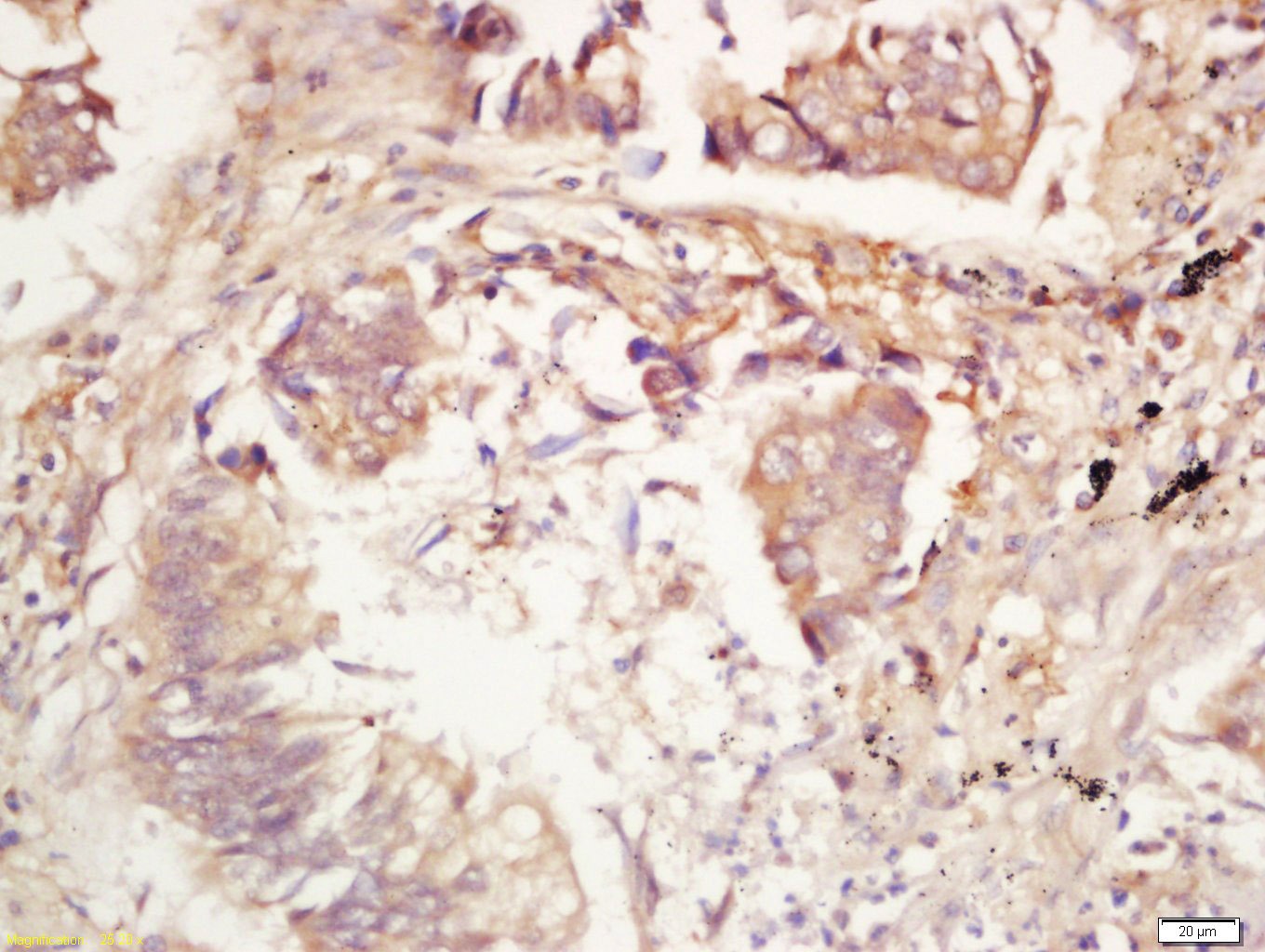
| Verified Activity | 1. Protein: spleen (mouse) lysate at 30 μg; Primary: rabbit Anti-IL17E (TMAB-00957) at 1:300; Secondary: HRP conjugated Goat-Anti-rabbit Igg (secondary antibody) at 1: 5000; Predicted band size: 17 kDa Observed band size: 17 kDa 2. Tissue/cell: human lung carcinoma; 4% Paraformaldehyde-fixed and paraffin-embedded; Antigen retrieval: citrate buffer (0.01M, pH6.0), Boiling bathing for 15 min; Block endogenous peroxidase by 3% Hydrogen peroxide for 30 min; Blocking buffer (normal goat serum) at 37°C for 20 min; Incubation: Anti-IL17E Polyclonal Antibody, Unconjugated (TMAB-00957) 1:200, overnight at 4°C, followed by conjugation to the secondary antibody and DAb staining. ![]() ![]() |
| Application | |
| Recommended Dose | WB: 1:500-2000; IHC-P: 1:100-500; IHC-Fr: 1:100-500; IF: 1:100-500 |
| Antibody Type | Polyclonal |
| Host Species | Rabbit |
| Subcellular Localization | Secreted. |
| Tissue Specificity | Expressed at low levels in several tissues, including brain, kidney, lung, prostate, testis, spinal cord, adrenal gland, and trachea. |
| Construction | Polyclonal Antibody |
| Purification | Protein A purified |
| Appearance | Liquid |
| Formulation | 0.01M TBS (pH7.4) with 1% BSA, 0.02% Proclin300 and 50% Glycerol. |
| Concentration | 1 mg/mL |
| Research Background | The protein encoded by this gene is a cytokine that shares sequence similarity with interleukin 17. This cytokine can induce NF-kappaB activation, and stimulate the production of interleukin8. Both this cytokine and interleukin 17B are ligands for the cytokine receptor IL17BR. Studies of a similar gene in mice suggest that this cytokine may be a pro-inflammatory cytokine favoring the Th2-type immune response. Alternative splicing results in multiple transcript variants. [provided by RefSeq]. |
| Immunogen | KLH conjugated synthetic peptide: human IL17E |
| Antigen Species | Human |
| Gene Name | IL25 |
| Gene ID | |
| Protein Name | Interleukin-25 |
| Uniprot ID | |
| Biology Area | Interleukins |
| Function | Induces activation of NF-kappa-B and stimulates production of the proinflammatory chemokine IL-8. Proinflammatory cytokine favoring Th2-type immune responses. |
| Molecular Weight | Theoretical: 17 kDa. Actual: 17 kDa. |
| Stability & Storage | Store at -20°C or -80°C for 12 months. Avoid repeated freeze-thaw cycles. |
| Transport | Shipping with blue ice. |
| Size | Quantity | Unit Price | Amount | Operation |
|---|

Copyright © 2015-2026 TargetMol Chemicals Inc. All Rights Reserved.