Shopping Cart
Remove All
Your shopping cart is currently empty
Synonyms: MGC125297, MGC125295, MGC125294, KIAA0151, Inhibitor of nuclear factor kappa-B kinase subunit epsilon, Inhibitor of kappa light polypeptide gene enhancer in B cells, kinase of, epsilon, Inhibitor of kappa light polypeptide gene enhancer in B cells kinase epsilon, Inducible IkappaB kinase, Inducible I kappa-B kinase, Inducible I kappa B kinase, IKK-i, IKKI, IKK-epsilon, IKKepsilon, IKKE_HUMAN, IKK-E, IKKE, IKK related kinase epsilon, IKBKε, IKBKepsilon, IkBKE, IKBK ε, IKBK epsilon, IKBK E, I-kappa-B kinase epsilon, I kappa B kinase epsilon
| Pack Size | Price | USA Stock | Global Stock | Quantity |
|---|---|---|---|---|
| 50 μL | $296 | 7-10 days | 7-10 days | |
| 100 μL | $496 | 7-10 days | 7-10 days |
| Description | Anti-IKBKE Antibody (6N528) is a Rabbit antibody targeting IKBKE. Anti-IKBKE Antibody (6N528) can be used in FCM,ICC,IHC,WB. |
| Synonyms | MGC125297, MGC125295, MGC125294, KIAA0151, Inhibitor of nuclear factor kappa-B kinase subunit epsilon, Inhibitor of kappa light polypeptide gene enhancer in B cells, kinase of, epsilon, Inhibitor of kappa light polypeptide gene enhancer in B cells kinase epsilon, Inducible IkappaB kinase, Inducible I kappa-B kinase, Inducible I kappa B kinase, IKK-i, IKKI, IKK-epsilon, IKKepsilon, IKKE_HUMAN, IKK-E, IKKE, IKK related kinase epsilon, IKBKε, IKBKepsilon, IkBKE, IKBK ε, IKBK epsilon, IKBK E, I-kappa-B kinase epsilon, I kappa B kinase epsilon |
| Ig Type | IgG |
| Clone | 6N528 |
| Reactivity | Human |
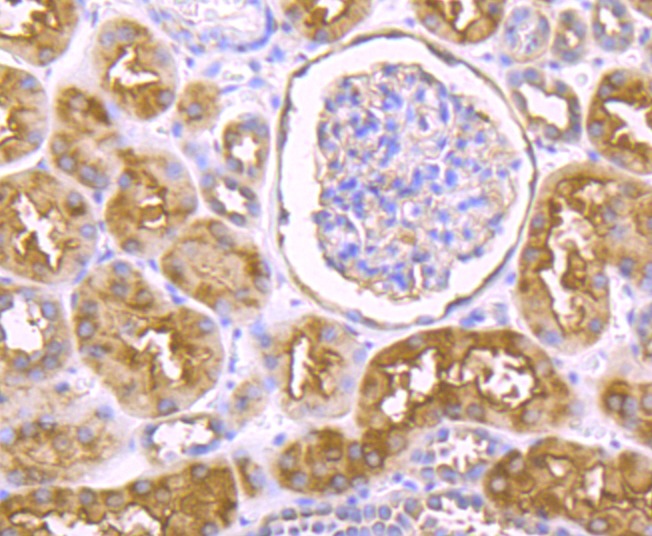
| Verified Activity | 1. Western blot analysis of IKBKE on different cell lysates using anti-IKBKE antibody at 1/500 dilution. Positive control: Lane 1: Hela, Lane 2: Raji, Lane 3: MCF-7, Lane 4: Jurkat. 2. Immunohistochemical analysis of paraffin-embedded human kidney tissue using anti-IKBKE antibody. Counter stained with hematoxylin. 3. ICC staining IKBKE in Hela cells (green). The nuclear counter stain is DAPI (blue). Cells were fixed in paraformaldehyde, permeabilised with 0.25% Triton X100/PBS. 4. ICC staining IKBKE in JAR cells (green). The nuclear counter stain is DAPI (blue). Cells were fixed in paraformaldehyde, permeabilised with 0.25% Triton X100/PBS. 5. ICC staining IKBKE in SK-Br-3 cells (green). The nuclear counter stain is DAPI (blue). Cells were fixed in paraformaldehyde, permeabilised with 0.25% Triton X100/PBS. |
| Application | |
| Recommended Dose | WB: 1:500-2000; IHC: 1:50-200; ICC: 1:50-200; FCM: 1:50-100 |
| Antibody Type | Monoclonal |
| Host Species | Rabbit |
| Construction | Recombinant Antibody |
| Purification | ProA affinity purified |
| Appearance | Liquid |
| Formulation | 1*TBS (pH7.4), 1%BSA, 40%Glycerol. Preservative: 0.05% Sodium Azide. |
| Research Background | The transcription factor NFκB is retained in the cytoplasm in an inactive form by the inhibitory protein IκB. Activation of NFκB requires that IκB be phosphorylated on specific serine residues, which results in targeted degradation of IκB. IκB kinase α (IKKα), previously designated CHUK, interacts with IκB-α and specifically phosphorylates IκB-α on the sites that trigger its degradation, Serines 32 and 36. The functional IKK complex contains three subunits, IKKα, IKKβ and IKKγ (also designated NEMO), and each appear to make essential contributions to IκB phosphorylation. IKK-i is a serine/threonine kinase that shares homology with IKKα and IKKβ. IKK-i is primarily expressed in immune cells and is induced by lipopolysaccharide and by proinflammatory cytokines including TNFα, IL-1 and IL-6. Overexpression of IKK-i has been shown to result in phosphorylation of IκBα on Ser 32 and Ser 36, and in NFκB activation, suggesting that IKK-i may act as an IκB kinase in the immune system. |
| Conjucates | Unconjugated |
| Immunogen | Recombinant Protein |
| Uniprot ID |
| Molecular Weight | Theoretical: 80 kDa. |
| Stability & Storage | Store at -20°C or -80°C for 12 months. Avoid repeated freeze-thaw cycles. |
| Transport | Shipping with blue ice. |
| Size | Quantity | Unit Price | Amount | Operation |
|---|

Copyright © 2015-2026 TargetMol Chemicals Inc. All Rights Reserved.