Shopping Cart
Remove All
Your shopping cart is currently empty
Anti-HSD17B3 Polyclonal Antibody is a Rabbit antibody targeting HSD17B3. Anti-HSD17B3 Polyclonal Antibody can be used in IF, IHC-Fr, IHC-P, WB.
| Pack Size | Price | USA Warehouse | Global Warehouse | Quantity |
|---|---|---|---|---|
| 50 μL | $222 | 7-10 days | 7-10 days | |
| 100 μL | $372 | 7-10 days | 7-10 days | |
| 200 μL | $528 | 7-10 days | 7-10 days |
| Description | Anti-HSD17B3 Polyclonal Antibody is a Rabbit antibody targeting HSD17B3. Anti-HSD17B3 Polyclonal Antibody can be used in IF, IHC-Fr, IHC-P, WB. |
| Synonyms | Testosterone 17 beta dehydrogenase 3, Testicular 17 beta hydroxysteroid dehydrogenase, Hydroxysteroid(17 beta) dehydrogenase 3, Estradiol 17 beta dehydrogenase 3, Estradiol 17 beta dehydrogenase, EDH17B3, DHB3, 17-beta-hydroxysteroid dehydrogenase type 3, 17 beta HSD 3 |
| Ig Type | IgG |
| Reactivity | Mouse,Rat (predicted:Human,Pig,Cow,Horse,Rabbit) |
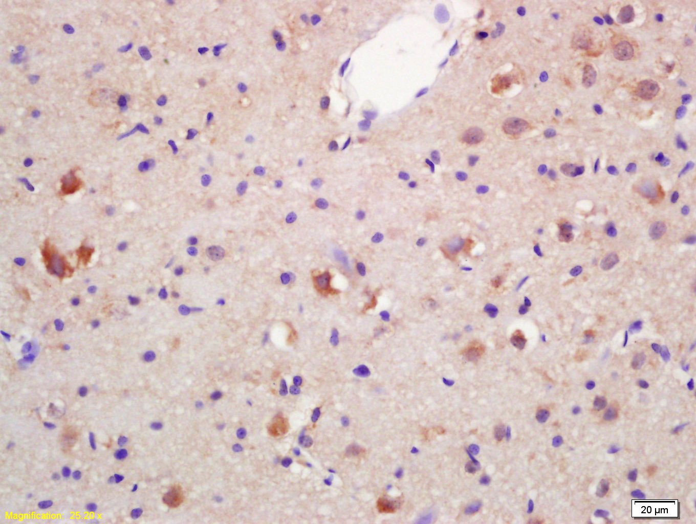
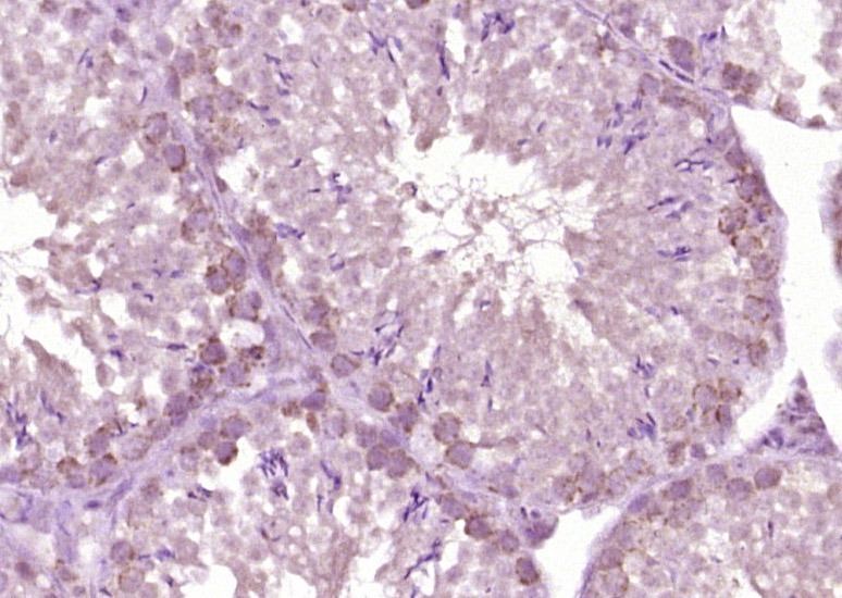
| Verified Activity | 1. Paraformaldehyde-fixed, paraffin embedded (Mouse testis); Antigen retrieval by boiling in sodium citrate buffer (pH6.0) for 15 min; Block endogenous peroxidase by 3% hydrogen peroxide for 20 min; Blocking buffer (normal goat serum) at 37°C for 30 min; Antibody incubation with (HSD17B3) Polyclonal Antibody, Unconjugated (TMAB-00890) at 1:400 overnight at 4°C, followed by operating according to SP Kit (Rabbit) instructionsand DAB staining. 2. Tissue/cell: rat brain tissue; 4% Paraformaldehyde-fixed and paraffin-embedded; Antigen retrieval: citrate buffer (0.01M, pH6.0), Boiling bathing for 15 min; Block endogenous peroxidase by 3% Hydrogen peroxide for 30 min; Blocking buffer (normal goat serum) at 37°C for 20 min; Incubation: Anti-HSD17B3 Polyclonal Antibody, Unconjugated (TMAB-00890) 1:200, overnight at 4°C, followed by conjugation to the secondary antibody and DAb staining. 3. Sample: Brain (Mouse) Lysate at 40 μg Testis (Mouse) Lysate at 40 μg Primary: Anti-HSD17B3 (TMAB-00890) at 1/300 dilution Secondary: HRP conjugated Goat-Anti-rabbit IgG (secondary antibody) at 1/5000 dilution Predicted band size: 34 kDa Observed band size: 34 kDa ![]() ![]() ![]() |
| Application | |
| Recommended Dose | WB: 1:500-2000; IHC-P: 1:100-500; IHC-Fr: 1:100-500; IF: 1:100-500 |
| Antibody Type | Polyclonal |
| Host Species | Rabbit |
| Subcellular Localization | Testis. |
| Tissue Specificity | Testis. |
| Construction | Polyclonal Antibody |
| Purification | Protein A purified |
| Appearance | Liquid |
| Formulation | 0.01M TBS (pH7.4) with 1% BSA, 0.02% Proclin300 and 50% Glycerol. |
| Concentration | 1 mg/mL |
| Research Background | HSD17B3 is involved in the reduction of androstenedione to testosterone. It is expressed predominantly in the testis. Deficiency in HSD17B3 are the cause of male pseudohermaphrodism with gynecomastia (MPH). |
| Immunogen | KLH conjugated synthetic peptide: human HSD17B3 |
| Antigen Species | Human |
| Gene Name | HSD17B3 |
| Gene ID | |
| Protein Name | Testosterone 17-beta-dehydrogenase 3 |
| Uniprot ID | |
| Biology Area | Hormone biosynthesis,Metabolism of lipids and lipoproteins,Oxidative Stress,Hormone biosynthesis,Lipid metabolism,Oxidative stress,Cancer,Hormones |
| Function | Favors the reduction of androstenedione to testosterone. Uses NADPH while the two other EDH17B enzymes use NADH. |
| Molecular Weight | Theoretical: 34 kDa. |
| Stability & Storage | Store at -20°C or -80°C for 12 months. Avoid repeated freeze-thaw cycles. |
| Transport | Shipping with blue ice. |
| Size | Quantity | Unit Price | Amount | Operation |
|---|

Copyright © 2015-2026 TargetMol Chemicals Inc. All Rights Reserved.