Shopping Cart
Remove All
Your shopping cart is currently empty
Anti-HRH1 Polyclonal Antibody is a Rabbit antibody targeting HRH1. Anti-HRH1 Polyclonal Antibody can be used in IF,IHC-Fr,IHC-P,WB.
| Pack Size | Price | USA Stock | Global Stock | Quantity |
|---|---|---|---|---|
| 50 μL | $220 | 7-10 days | 7-10 days | |
| 100 μL | $374 | 7-10 days | 7-10 days | |
| 200 μL | $528 | 7-10 days | 7-10 days |
| Description | Anti-HRH1 Polyclonal Antibody is a Rabbit antibody targeting HRH1. Anti-HRH1 Polyclonal Antibody can be used in IF,IHC-Fr,IHC-P,WB. |
| Synonyms | HRH1, Histamine H1 receptor, HH1R, H1-R, H1R |
| Ig Type | IgG |
| Reactivity | Human (predicted:Mouse,Rat,Dog,Pig,Cow) |
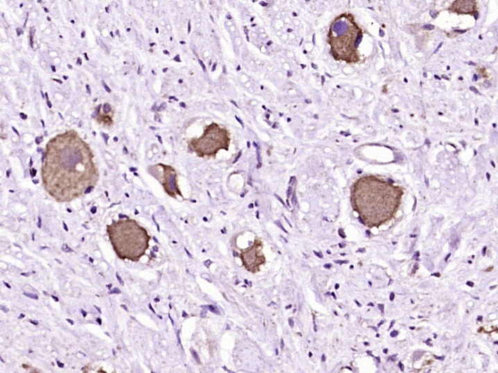
| Verified Activity | 1. Sample: Lane 1: U87MG (Human) Cell Lysate at 30 μg Lane 2: U251 (Human) Cell Lysate at 30 μg Lane 3: Huvec (Human) Cell Lysate at 30 μg Lane 4: Hela (Human) Cell Lysate at 30 μg Primary: Anti-HRH1 (TMAB-00889) at 1/1000 dilution Secondary: IRDye800CW Goat Anti-Rabbit IgG at 1/20000 dilution Predicted band size: 56 kDa Observed band size: 56 kDa 2. Sample: LOVO (Human) Cell Lysate at 30 μg Primary: Anti-HRH1 (TMAB-00889) at 1/1000 dilution Secondary: IRDye800CW Goat Anti-Rabbit IgG at 1/20000 dilution Predicted band size: 54 kDa Observed band size: 54 kDa 3. Paraformaldehyde-fixed, paraffin embedded (Human ovarian cancer); Antigen retrieval by boiling in sodium citrate buffer (pH6.0) for 15 min; Block endogenous peroxidase by 3% hydrogen peroxide for 20 min; Blocking buffer (normal goat serum) at 37°C for 30 min; Antibody incubation with (HRH1) Polyclonal Antibody, Unconjugated (TMAB-00889) at 1:400 overnight at 4°C, followed by operating according to SP Kit (Rabbit) instructionsand DAB staining. ![]() ![]() ![]() |
| Application | |
| Recommended Dose | WB: 1:500-2000; IHC-P: 1:100-500; IHC-Fr: 1:100-500; IF: 1:100-500 |
| Antibody Type | Polyclonal |
| Host Species | Rabbit |
| Subcellular Localization | Cell membrane; Multi-pass membrane protein. |
| Construction | Polyclonal Antibody |
| Purification | Protein A purified |
| Appearance | Liquid |
| Formulation | 0.01M TBS (pH7.4) with 1% BSA, 0.02% Proclin300 and 50% Glycerol. |
| Concentration | 1 mg/mL |
| Research Background | Histamine is a ubiquitous messenger molecule released from mast cells, enterochromaffin-like cells, and neurons. Its various actions are mediated by histamine receptors H1, H2, H3 and H4. This gene was thought to be intronless until recently. The protein encoded by this gene is an integral membrane protein and belongs to the G protein-coupled receptor superfamily. It mediates the contraction of smooth muscles, the increase in capillary permeability due to contraction of terminal venules, the release of catecholamine from adrenal medulla, and neurotransmission in the central nervous system. Multiple alternatively spliced variants, encoding the same protein, have been identified. [provided by RefSeq, Jul 2008]. |
| Immunogen | KLH conjugated synthetic peptide: human HRH1 |
| Antigen Species | Human |
| Gene Name | HRH1 |
| Gene ID | |
| Protein Name | Histamine H1 receptor |
| Uniprot ID | |
| Biology Area | Allergens,Macrophage / Inflamm.,Hormones,GPCR |
| Function | In peripheral tissues, the H1 subclass of histamine receptors mediates the contraction of smooth muscles, increase in capillary permeability due to contraction of terminal venules, and catecholamine release from adrenal medulla, as well as mediating neurotransmission in the central nervous system. |
| Molecular Weight | Theoretical: 54 kDa. Actual: 56 kDa. |
| Stability & Storage | Store at -20°C or -80°C for 12 months. Avoid repeated freeze-thaw cycles. |
| Transport | Shipping with blue ice. |
| Size | Quantity | Unit Price | Amount | Operation |
|---|

Copyright © 2015-2026 TargetMol Chemicals Inc. All Rights Reserved.