Shopping Cart
Remove All
Your shopping cart is currently empty
Anti-HDAC3 Antibody (9R940) is a Rabbit antibody targeting HDAC3. Anti-HDAC3 Antibody (9R940) can be used in ICC/IF,IHC,IP,WB.
| Pack Size | Price | USA Warehouse | Global Warehouse | Quantity |
|---|---|---|---|---|
| 50 μL | $296 | 7-10 days | 7-10 days | |
| 100 μL | $497 | 7-10 days | 7-10 days |
| Description | Anti-HDAC3 Antibody (9R940) is a Rabbit antibody targeting HDAC3. Anti-HDAC3 Antibody (9R940) can be used in ICC/IF,IHC,IP,WB. |
| Synonyms | SMAP45, RPD3-2, Protein deacylase HDAC3, Protein deacetylase HDAC3, Histone deacetylase 3, HDAC3, HD3 |
| Ig Type | IgG |
| Clone | 9R940 |
| Reactivity | Human,Mouse,Rat |
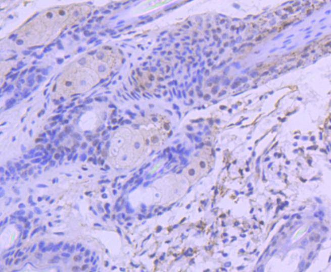
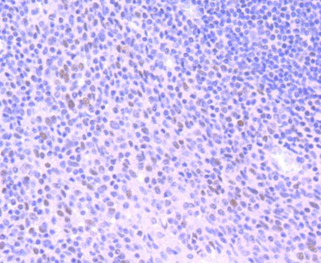
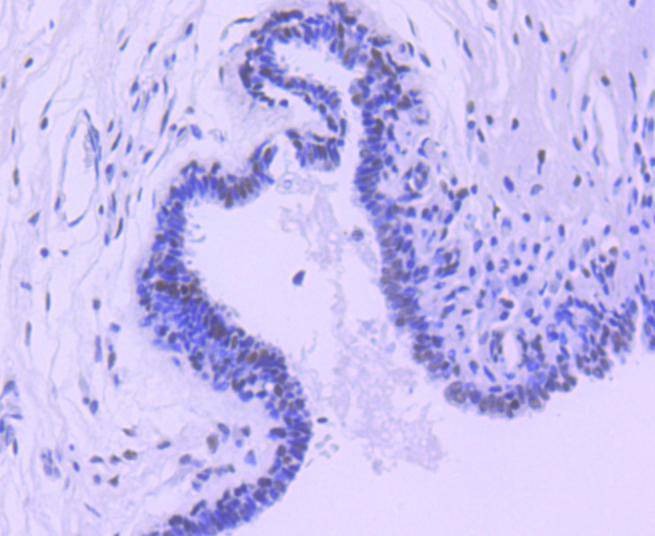
| Verified Activity | 1. Western blot analysis of HDAC3 on NIH/3T3 cell lysates using anti-HDAC3 antibody at 1/1,000 dilution. 2. Immunohistochemical analysis of paraffin-embedded human tonsil tissue using anti-HDAC3 antibody. Counter stained with hematoxylin. 3. Immunohistochemical analysis of paraffin-embedded human breast carcinoma tissue using anti-HDAC3 antibody. Counter stained with hematoxylin. 4. Immunohistochemical analysis of paraffin-embedded mouse skin tissue using anti-HDAC3 antibody. Counter stained with hematoxylin. 5. ICC staining HDAC3 in Hela cells (green). The nuclear counter stain is DAPI (blue). Cells were fixed in paraformaldehyde, permeabilised with 0.25% Triton X100/PBS. 6. ICC staining HDAC3 in NIH/3T3 cells (green). The nuclear counter stain is DAPI (blue). Cells were fixed in paraformaldehyde, permeabilised with 0.25% Triton X100/PBS. ![]() ![]() ![]() ![]() ![]() ![]() |
| Application | |
| Recommended Dose | WB: 1:1000-5000; IHC: 1:50-200; ICC/IF: 1:50 |
| Antibody Type | Monoclonal |
| Host Species | Rabbit |
| Construction | Recombinant Antibody |
| Purification | ProA affinity purified |
| Appearance | Liquid |
| Formulation | 1*TBS (pH7.4), 1%BSA, 40%Glycerol. Preservative: 0.05% Sodium Azide. |
| Research Background | In the intact cell, DNA closely associates with histones and other nuclear proteins to form chromatin. The remodeling of chromatin is believed to be a critical component of transcriptional regulation and a major source of this remodeling is brought about by the acetylation of nucleosomal histones. Acetylation of lysine residues in the amino-terminal tail domain of histone results in an allosteric change in the nucleosomal conformation and an increased accessibility to transcription factors by DNA. Conversely, the deacetylation of histones is associated with transcriptional silencing. Several mammalian proteins have been identified as nuclear histone acetylases, including GCN5, PCAF (p300/CBP-associated factor), p300/CBP and the TFIID subunit TAF II p250. Mammalian HDAC1 (also designated HD1), HDAC2 (also designated RPD3) and HDAC3, all of which are related to the yeast transcriptional factor Rpd3p, have been identified as histone deacetylases. |
| Conjucates | Unconjugated |
| Immunogen | Recombinant Protein |
| Uniprot ID |
| Molecular Weight | Theoretical: 49 kDa. |
| Stability & Storage | Store at -20°C or -80°C for 12 months. Avoid repeated freeze-thaw cycles. |
| Transport | Shipping with blue ice. |
| Size | Quantity | Unit Price | Amount | Operation |
|---|

Copyright © 2015-2026 TargetMol Chemicals Inc. All Rights Reserved.