Shopping Cart
Remove All
Your shopping cart is currently empty
Anti-FUT4 Polyclonal Antibody is a Rabbit antibody targeting FUT4. Anti-FUT4 Polyclonal Antibody can be used in FCM,IF,IHC-Fr,IHC-P,WB.
| Pack Size | Price | USA Stock | Global Stock | Quantity |
|---|---|---|---|---|
| 50 μL | $221 | 7-10 days | 7-10 days | |
| 100 μL | $372 | 7-10 days | 7-10 days | |
| 200 μL | $529 | 7-10 days | 7-10 days |
| Description | Anti-FUT4 Polyclonal Antibody is a Rabbit antibody targeting FUT4. Anti-FUT4 Polyclonal Antibody can be used in FCM,IF,IHC-Fr,IHC-P,WB. |
| Synonyms | SSEA-1, SSEA1, LeX, Galactoside 3-L-fucosyltransferase, FUTIV, FucT-IV), FUC-TIV, Fucosyltransferase IV(Fuc-TIV, Fucosyltransferase 4, FCT3A, ELFT, ELAM-1 ligand fucosyltransferase, EC:2.4.1.152, CD15, alpha-(1, 3)-fucosyltransferase 4, 4-galactosyl-N-acetylglucosaminide 3-alpha-L-fucosyltransferase |
| Ig Type | IgG |
| Reactivity | Human,Mouse (predicted:Rat) |
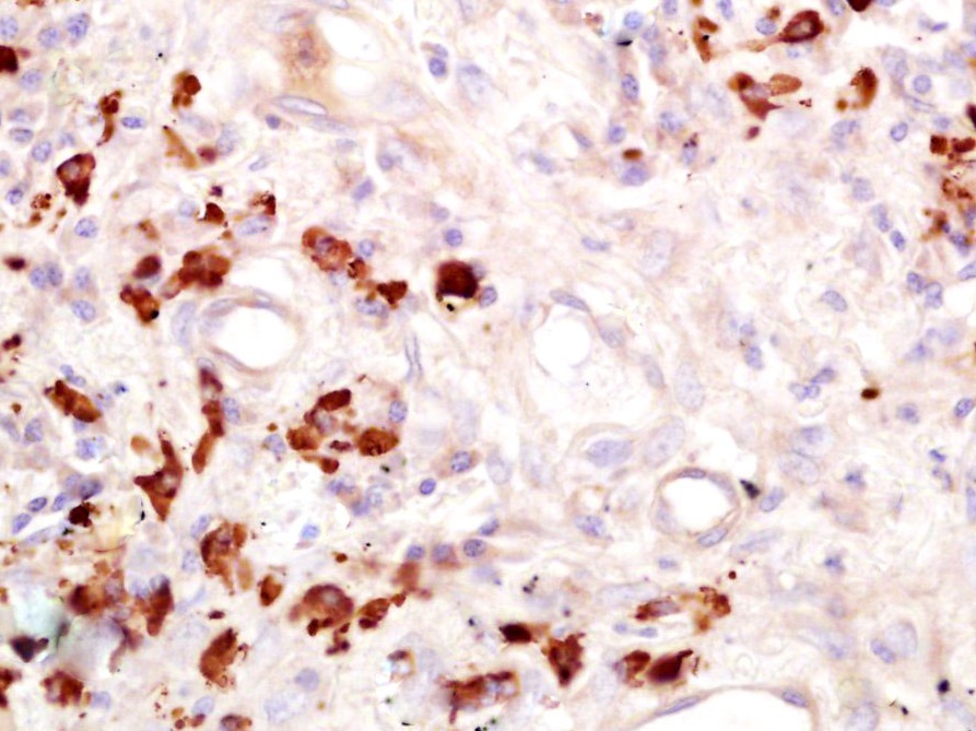
| Verified Activity | 1. Paraformaldehyde-fixed, paraffin embedded (Human lung cancer); Antigen retrieval by boiling in sodium citrate buffer (pH6.0) for 15 min; Block endogenous peroxidase by 3% hydrogen peroxide for 20 min; Blocking buffer (normal goat serum) at 37°C for 30 min; Antibody incubation with (FUT4) Polyclonal Antibody, Unconjugated (TMAB-00722) at 1:400 overnight at 4°C, followed by operating according to SP Kit (Rabbit) instructionsand DAB staining. 2. Overlay histogram showing HL 60 cells stained with TMAB-00722 (Green line). The cells were fixed with 90% methanol (5 min) and then permeabilized with 0.01M PBS-Tween for 20 min. The cells were then incubated in 1x PBS / 10% normal goat serum to block non-specific protein-protein interactions followed by the antibody (TMAB-00722,1 μg/1x10^6 cells) for 30 min at 22°C. The secondary antibody used was fluorescein isothiocyanate goat anti-rabbit IgG (H+L) (Brillant blue line) at 1/200 dilution for 30 min at 22°C. Isotype control antibody was rabbit IgG (polyclonal, Orange line) (1 μg/1x10^6 cells) used under the same conditions. Unlabelled sample (blue line) was also used as a control. Acquisition of 20,000 events were collected using a 20mW Argon ion laser (488nm) and 525/30 bandpass filter. 3. Blank control: Mouse spleen. Primary Antibody (green line): Rabbit Anti-FUT4/FITC Conjugated antibody (TMAB-00722-FITC) Dilution: 1 μg/10^6 cells; Isotype Control Antibody (orange line): Rabbit IgG-FITC. Protocol The cells were fixed with 4% PFA (10 min at room temperature) and then permeabilized with 0.1% PBST for 20 min at-20°C. The cells were then incubated in 5% BSA to block non-specific protein-protein interactions for 30 min at room temperature. The cells were stained with Primary Antibody for 30 min at room temperature. 4. Blank control: HL-60. Primary Antibody (green line): Rabbit Anti-FUT4 (TMAB-00722) Dilution: 1 μg/10^6 cells; Isotype Control Antibody (orange line): Rabbit IgG. Secondary Antibody: Goat anti-rabbit IgG-AF647 Dilution: 1 μg/test. Protocol The cells were fixed with 4% PFA (10 min at room temperature) and then permeabilized with 0.1% PBST for 20 min at room temperature. The cells were then incubated in 5% BSA to block non-specific protein-protein interactions for 30 min at room temperature. Cells stained with Primary Antibody for 30 min at room temperature. The secondary antibody used for 40 min at room temperature. 5. Sample: A549 Cell (Human) Lysate at 40 μg Primary: Anti-FUT4 (TMAB-00722) at 1/300 dilution Secondary: IRDye800CW Goat Anti-Rabbit IgG at 1/20000 dilution Predicted band size: 58 kDa Observed band size: 63 kDa ![]() ![]() ![]() ![]() ![]() |
| Application | |
| Recommended Dose | WB: 1:500-2000; IHC-P: 1:100-500; IHC-Fr: 1:100-500; IF: 1:100-500; FCM: 1μg/Test |
| Antibody Type | Polyclonal |
| Host Species | Rabbit |
| Subcellular Localization | Golgi apparatus, Golgi stack membrane; Single-pass type II membrane protein. Note=Membrane-bound form in trans cisternae of Golgi. |
| Tissue Specificity | Highest expression in stomach and colon. It is also expressed in the lung, testis, uterus, small intestine and to a lesser extent in spleen, and ovary. Present in trace amounts in brain, thymus, heart, smooth muscle, kidney and bone marrow. Not found in l |
| Construction | Polyclonal Antibody |
| Purification | Protein A purified |
| Appearance | Liquid |
| Formulation | 0.01M TBS (pH7.4) with 1% BSA, 0.02% Proclin300 and 50% Glycerol. |
| Concentration | 1 mg/mL |
| Research Background | The Lewis histo-blood group system comprises a set of fucosylated glycosphingolipids that are synthesized by exocrine epithelial cells and circulate in body fluids. The glycosphingolipids function in embryogenesis, tissue differentiation, tumor metastasis, inflammation, and bacterial adhesion. They are secondarily absorbed to red blood cells giving rise to their Lewis phenotype. This gene is a member of the fucosyltransferase family, which catalyzes the addition of fucose to precursor polysaccharides in the last step of Lewis antigen biosynthesis. It encodes an enzyme with alpha(1,3)-fucosyltransferase and alpha(1,4)-fucosyltransferase activities. Mutations in this gene are responsible for the majority of Lewis antigen-negative phenotypes. Multiple alternatively spliced variants, encoding the same protein, have been found for this gene. [provided by RefSeq]. |
| Immunogen | KLH conjugated synthetic peptide: human FUT4 |
| Antigen Species | Human |
| Gene Name | FUT4 |
| Gene ID | |
| Protein Name | alpha-(1, 3)-fucosyltransferase 4 |
| Uniprot ID | |
| Biology Area | CD markers,Surface molecules,Adhesion,Surface Molecules,Endothelial Markers,Human Lineage Negative,Tumor Associated,Golgi |
| Function | May catalyze alpha-1,3 glycosidic linkages involved in the expression of Lewis X/SSEA-1 and VIM-2 antigens. |
| Molecular Weight | Theoretical: 58 kDa. Actual: 63 kDa. |
| Stability & Storage | Store at -20°C or -80°C for 12 months. Avoid repeated freeze-thaw cycles. |
| Transport | Shipping with blue ice. |
| Size | Quantity | Unit Price | Amount | Operation |
|---|

Copyright © 2015-2026 TargetMol Chemicals Inc. All Rights Reserved.