Shopping Cart
Remove All
Your shopping cart is currently empty
Anti-FURIN Antibody (5P939) is a Rabbit antibody targeting FURIN. Anti-FURIN Antibody (5P939) can be used in ICC,IHC,WB.
| Pack Size | Price | USA Warehouse | Global Warehouse | Quantity |
|---|---|---|---|---|
| 50 μL | $297 | 7-10 days | 7-10 days | |
| 100 μL | $498 | 7-10 days | 7-10 days |
| Description | Anti-FURIN Antibody (5P939) is a Rabbit antibody targeting FURIN. Anti-FURIN Antibody (5P939) can be used in ICC,IHC,WB. |
| Synonyms | PCSK3, Paired basic amino acid residue-cleaving enzyme, PACE, FURIN, FUR, Dibasic-processing enzyme |
| Ig Type | IgG |
| Clone | 5P939 |
| Reactivity | Human,Mouse,Rat |
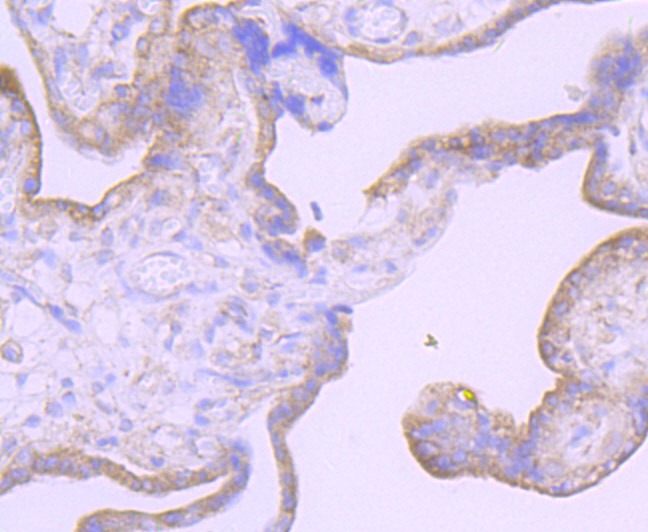
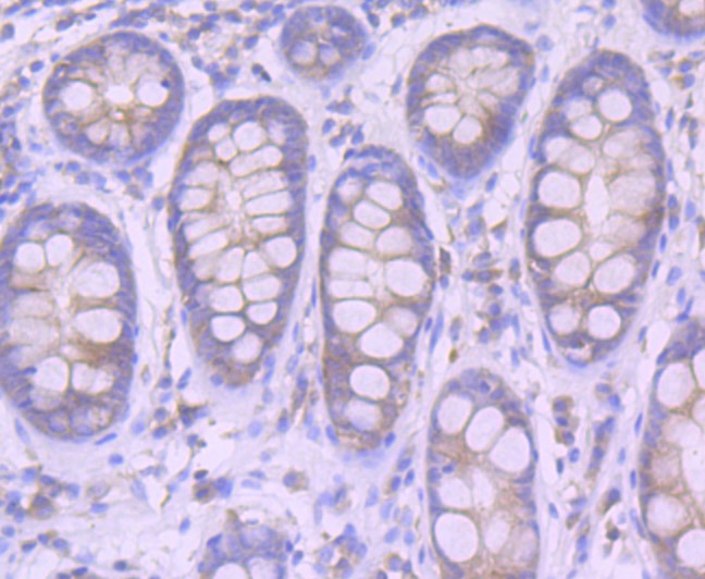
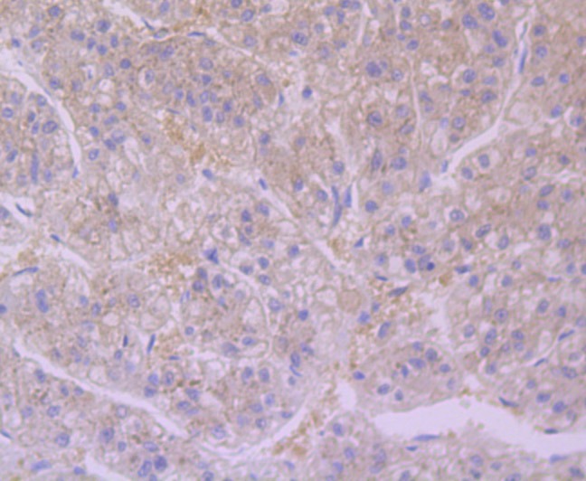
| Verified Activity | 1. Western blot analysis of Furin on different cell lysates using anti-Furin antibody at 1/500 dilution. Positive control: Lane 1: HepG2, Lane 2: Hela, Lane 3: Hela, Lane 4: MCF-7. 2. Immunohistochemical analysis of paraffin-embedded human liver tissue using anti-Furin antibody. Counter stained with hematoxylin. 3. Immunohistochemical analysis of paraffin-embedded human colon tissue using anti-Furin antibody. Counter stained with hematoxylin. 4. Immunohistochemical analysis of paraffin-embedded human placenta tissue using anti-Furin antibody. Counter stained with hematoxylin. 5. Immunohistochemical analysis of paraffin-embedded mouse brain tissue using anti-Furin antibody. Counter stained with hematoxylin. ![]() ![]() ![]() ![]() ![]() |
| Application | |
| Recommended Dose | WB: 1:500-1000; IHC: 1:50; ICC: 1:50-100 |
| Antibody Type | Monoclonal |
| Host Species | Rabbit |
| Construction | Recombinant Antibody |
| Purification | ProA affinity purified |
| Appearance | Liquid |
| Formulation | 1*TBS (pH7.4), 1%BSA, 40%Glycerol. Preservative: 0.05% Sodium Azide. |
| Research Background | Furin (FUR, PACE, PCSK3, SPC1, Kex2p) is a calcium-dependent serine endoprotease that belongs to the subtilisin-like proprotein convertase family. The members of this family process latent precursor proteins into their biologically active products. Furin cleaves at paired basic amino acid processing sites within proparathyroid hormone, transforming growth factor beta 1 precursor, proalbumin, pro-beta-secretase, membrane type-1 matrix metalloproteinase, beta subunit of pro-nerve growth factor and von Willebrand factor. Furin can directly cleave proMMP-2 within the trans-Golgi network leading to an inactive form of matrix metalloproteinase-2 (MMP-2). Furin is synthesized as an inactive zymogen that may minimize the occurrence of premature enzymatic activity that would lead to alternative protein activation or degradation. The inhibitory mechanism is based on the presence of an inactivating prosegment at the NH2 terminal of the Furin. After initial autocatalytic cleavage, the prosegment remains tightly associated until it reaches the trans-Golgi network where the dissociation of the prosegment and activation of furin occurs. |
| Conjucates | Unconjugated |
| Immunogen | Recombinant Protein: human Furin aa 200-400 |
| Antigen Species | human |
| Uniprot ID |
| Molecular Weight | Theoretical: 87 kDa. |
| Stability & Storage | Store at -20°C or -80°C for 12 months. Avoid repeated freeze-thaw cycles. |
| Transport | Shipping with blue ice. |
| Size | Quantity | Unit Price | Amount | Operation |
|---|

Copyright © 2015-2026 TargetMol Chemicals Inc. All Rights Reserved.