Shopping Cart
Remove All
Your shopping cart is currently empty
Synonyms: Strongylocentrotus purpuratus, SNL, Singed drosophila homolog like, Singed (Drosophila) like (sea urchin fascin homolog like), Singed, sea urchin, p55, HSN, FSCN 1, FLJ38511, Fascin1, Fascin homolog 1 actin bundling protein, Fascin homolog 1, Fascin actin bundling protein 1, Fascin 1, Fascin, FAN1, FAN 1, 55 kDa actin-bundling protein, 55 kDa actin bundling protein
Anti-FSCN1 Antibody
(7Z181)
| Pack Size | Price | USA Stock | Global Stock | Quantity |
|---|---|---|---|---|
| 50 µL | $297 | 7-10 days | 7-10 days | |
| 100 µL | $497 | 7-10 days | 7-10 days |
| Description | Anti-FSCN1 Antibody (7Z181) is a Rabbit antibody targeting FSCN1. Anti-FSCN1 Antibody (7Z181) can be used in FCM,ICC/IF,IHC,IP,WB. |
| Synonyms | Strongylocentrotus purpuratus, SNL, Singed drosophila homolog like, Singed (Drosophila) like (sea urchin fascin homolog like), Singed, sea urchin, p55, HSN, FSCN 1, FLJ38511, Fascin1, Fascin homolog 1 actin bundling protein, Fascin homolog 1, Fascin actin bundling protein 1, Fascin 1, Fascin, FAN1, FAN 1, 55 kDa actin-bundling protein, 55 kDa actin bundling protein |
| Ig Type | IgG |
| Clone | 7Z181 |
| Reactivity | Human,Mouse,Rat |
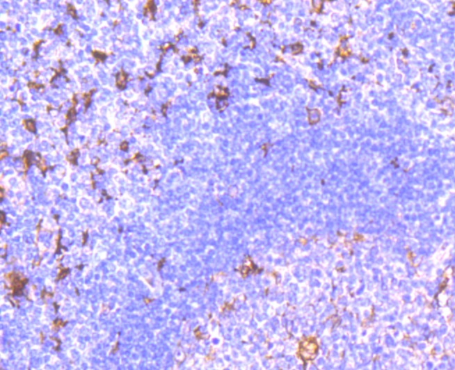
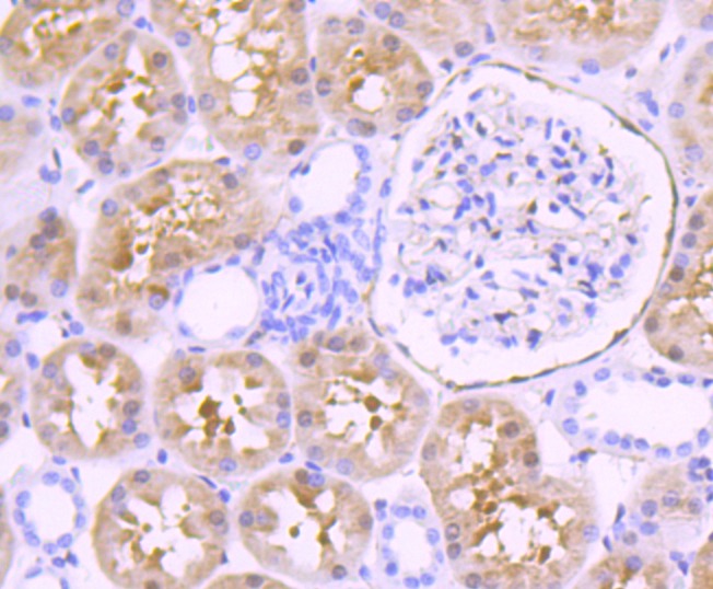
| Verified Activity | 1. Western blot analysis of Fascin on different lysates using anti-Fascin antibody at 1/1,000 dilution. Positive control: Lane1: SH-SY5Y, Lane2: Human brain, Lane3: Rat spleen, Lane4: Mouse testes, Lane5: Mouse brain, Lane6: Mouse spleen. 2. Immunohistochemical analysis of paraffin-embedded rat brain tissue using anti-Fascin antibody. Counter stained with hematoxylin. 3. Immunohistochemical analysis of paraffin-embedded human kidney tissue using anti-Fascin antibody. Counter stained with hematoxylin. 4. Immunohistochemical analysis of paraffin-embedded human tonsil tissue using anti-Fascin antibody. Counter stained with hematoxylin. 5. ICC staining Fascin in Hela cells (green). The nuclear counter stain is DAPI (blue). Cells were fixed in paraformaldehyde, permeabilised with 0.25% Triton X100/PBS. 6. ICC staining Fascin in SW480 cells (green). The nuclear counter stain is DAPI (blue). Cells were fixed in paraformaldehyde, permeabilised with 0.25% Triton X100/PBS. 7. ICC staining Fascin in SH-SY5Y cells (green). The nuclear counter stain is DAPI (blue). Cells were fixed in paraformaldehyde, permeabilised with 0.25% Triton X100/PBS. 8. Flow cytometric analysis of Hela cells with Fascin antibody at 1/100 dilution (red) compared with an unlabelled control (cells without incubation with primary antibody; black). , , , , , , ,![]() |
| Application | |
| Recommended Dose | WB: 1:500-1000; IHC: 1:50-200; ICC/IF: 1:50-200; FCM: 1:50-100 |
| Antibody Type | Monoclonal |
| Host Species | Rabbit |
| Construction | Recombinant Antibody |
| Purification | ProA affinity purified |
| Appearance | Liquid |
| Formulation | 1*TBS (pH7.4), 1%BSA, 40%Glycerol. Preservative: 0.05% Sodium Azide. |
| Research Background | Cell adhesion to extracellular matrix is an important physiological stimulus for organization of the Actin-based cytoskeleton. Adhesion to the matrix glycoprotein Thrombospondin 1 triggers the sustained formation of F-Actin microspikes that contain the Actin-bundling protein Fascin. These structures are also implicated in cell migration, which may be an important function of Thrombospondin 1 in tissue remodelling and wound repair. Fascin bundles Actin microfilaments within dynamic cellular structures such as microspikes, stress fibers and membrane ruffles. Fascin could serve as a prognostic factor for abnormal ovarian epithelial pathology and could be a novel target for the treatment of ovarian cancer. Fascin, an Actin-bundling protein, identifies dendritic cells in the blood and in tissues. |
| Conjucates | Unconjugated |
| Immunogen | Recombinant Protein |
| Uniprot ID |
| Molecular Weight | Theoretical: 54 kDa. |
| Stability & Storage | Store at -20°C or -80°C for 12 months. Avoid repeated freeze-thaw cycles. |
| Transport | Shipping with blue ice. |
| Size | Quantity | Unit Price | Amount | Operation |
|---|

Copyright © 2015-2026 TargetMol Chemicals Inc. All Rights Reserved.