Shopping Cart
Remove All
Your shopping cart is currently empty
Synonyms: Proto-oncogene c-Fos, p55, Oncogene FOS, G0S7, G0/G1 switch regulatory protein 7, FBJ Osteosarcoma Virus, FBJ murine osteosarcoma viral (v fos) oncogene homolog (oncogene FOS), Cellular oncogene c fos, C FOS, AP 1, Activator protein 1
Anti-FOS Polyclonal Antibody
| Pack Size | Price | USA Stock | Global Stock | Quantity |
|---|---|---|---|---|
| 50 µL | $222 | 7-10 days | 7-10 days | |
| 100 µL | $373 | 7-10 days | 7-10 days | |
| 200 µL | $529 | 7-10 days | 7-10 days |
| Description | Anti-FOS Polyclonal Antibody is a Rabbit antibody targeting FOS. Anti-FOS Polyclonal Antibody can be used in ICC/IF, IF, IHC-Fr, IHC-P, WB. |
| Synonyms | Proto-oncogene c-Fos, p55, Oncogene FOS, G0S7, G0/G1 switch regulatory protein 7, FBJ Osteosarcoma Virus, FBJ murine osteosarcoma viral (v fos) oncogene homolog (oncogene FOS), Cellular oncogene c fos, C FOS, AP 1, Activator protein 1 |
| Ig Type | IgG |
| Reactivity | Human,Mouse,Rat (predicted:Dog,Pig,Cow,Horse,Rabbit) |
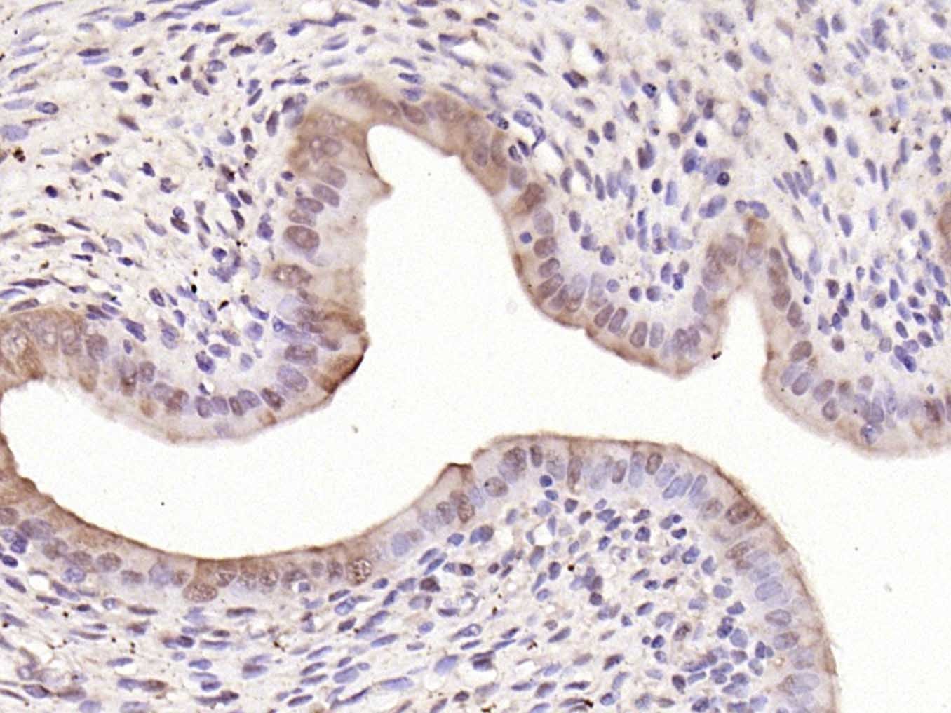
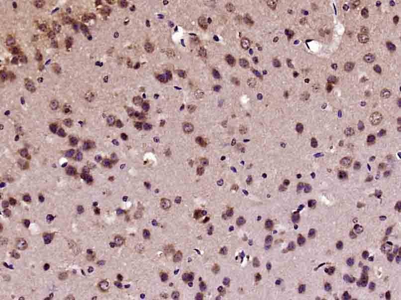
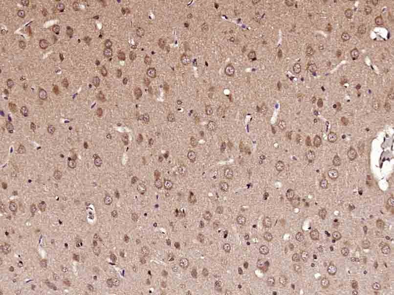
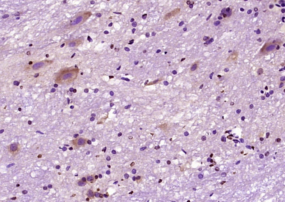
| Verified Activity | 1. Paraformaldehyde-fixed, paraffin embedded (Rat brain); Antigen retrieval by boiling in sodium citrate buffer (pH6.0) for 15 min; Block endogenous peroxidase by 3% hydrogen peroxide for 20 min; Blocking buffer (normal goat serum) at 37°C for 30 min; Antibody incubation with (c-fos) Polyclonal Antibody, Unconjugated (TMAB-00698) at 1:400 overnight at 4°C, followed by operating according to SP Kit (Rabbit) instructionsand DAB staining. 2. Paraformaldehyde-fixed, paraffin embedded (rat uterus); Antigen retrieval by boiling in sodium citrate buffer (pH6.0) for 15 min; Block endogenous peroxidase by 3% hydrogen peroxide for 20 min; Blocking buffer (normal goat serum) at 37°C for 30 min; Antibody incubation with (c-fos) Polyclonal Antibody, Unconjugated (TMAB-00698) at 1:200 overnight at 4°C, followed by operating according to SP Kit (Rabbit) instructionsand DAB staining. 3. Tissue/cell: A431 cell; 4% Paraformaldehyde-fixed; Triton X-100 at room temperature for 20 min; Blocking buffer (normal goat serum) at 37°C for 20 min; Antibody incubation with (c-fos) polyclonal Antibody, Unconjugated (TMAB-00698) 1:100, 90 minutes at 37°C; followed by a FITC conjugated Goat Anti-Rabbit IgG antibody at 37°C for 90 minutes, DAPI (blue) was used to stain the cell nucleus. 4. Tissue/cell: MCF7 cell; 4% Paraformaldehyde-fixed; Triton X-100 at room temperature for 20 min; Blocking buffer (normal goat serum) at 37°C for 20 min; Antibody incubation with (c-fos) polyclonal Antibody, Unconjugated (TMAB-00698) 1:100, 90 minutes at 37°C; followed by a FITC conjugated Goat Anti-Rabbit IgG antibody at 37°C for 90 minutes, DAPI (blue) was used to stain the cell nucleus. 5. Paraformaldehyde-fixed, paraffin embedded (Rat spinal cord); Antigen retrieval by boiling in sodium citrate buffer (pH6.0) for 15 min; Block endogenous peroxidase by 3% hydrogen peroxide for 20 min; Blocking buffer (normal goat serum) at 37°C for 30 min; Antibody incubation with (c-fos) Polyclonal Antibody, Unconjugated (TMAB-00698) at 1:400 overnight at 4°C, followed by operating according to SP Kit (Rabbit) instructionsand DAB staining. 6. Paraformaldehyde-fixed, paraffin embedded (Mouse brain); Antigen retrieval by boiling in sodium citrate buffer (pH6.0) for 15 min; Block endogenous peroxidase by 3% hydrogen peroxide for 20 min; Blocking buffer (normal goat serum) at 37°C for 30 min; Antibody incubation with (c-fos) Polyclonal Antibody, Unconjugated (TMAB-00698) at 1:400 overnight at 4°C, followed by operating according to SP Kit (Rabbit) instructionsand DAB staining. 7. MCF-7 Cell (Human) Lysate at 30 μg Embryo (Mouse) Lysate at 40 μg RAW246.7 (Mouse) lysate at 30 μg NIH/3T3 (Mouse) lysate at 30 μg Cerebrum (Mouse) Lysate at 40 μg Cerebrum (Rat) Lysate at 40 μg Primary: Anti-c-fos (TMAB-00698) at 1/300 dilution Secondary: IRDye800CW Goat Anti-Rabbit IgG at 1/20000 dilution Predicted band size: 41 kDa Observed band size: 55 kDa , , , , , ,![]() |
| Application | |
| Recommended Dose | ICC/IF=1:100-500; IF=1:100-500; IHC-Fr=1:100-500; IHC-P=1:100-500; WB=1:500-2000 |
| Antibody Type | Polyclonal |
| Host Species | Rabbit |
| Subcellular Localization | Nucleus. |
| Construction | Polyclonal Antibody |
| Purification | Protein A purified |
| Appearance | Liquid |
| Formulation | 0.01M TBS (pH7.4) with 1% BSA, 0.02% Proclin300 and 50% Glycerol. |
| Concentration | 1 mg/mL |
| Research Background | The Fos gene family consists of 4 members: FOS, FOSB, FOSL1, and FOSL2. These genes encode leucine zipper proteins that can dimerize with proteins of the JUN family, thereby forming the transcription factor complex AP-1. As such, the FOS proteins have been implicated as regulators of cell proliferation, differentiation, and transformation. In some cases, expression of the FOS gene has also been associated with apoptotic cell death. [provided by RefSeq, Jul 2008]. |
| Immunogen | KLH conjugated synthetic peptide: human c-fos |
| Antigen Species | Human |
| Gene Name | FOS |
| Gene ID | |
| Protein Name | Proto-oncogene c-Fos |
| Uniprot ID | |
| Biology Area | Transcription factors,Oncoproteins,Proto-oncogenes,Leucine Zipper,Soma marker |
| Function | Nuclear phosphoprotein which forms a tight butnon-covalently linked complex with the JUN/AP-1 transcriptionfactor. In the heterodimer, FOS and JUN/AP-1 basic regions eachseems to interact with symmetrical DNA half sites. On TGF-betaactivation, forms a multimeric SMAD3/SMAD4/JUN/FOS complex at theAP1/SMAD-binding site to regulate TGF-beta-mediated signaling. Hasa critical function in regulating the Has a critical function inregulating the development of cells destined to form and maintainthe skeleton. It is thought to have an important role in signaltransduction, cell proliferation and differentiation. |
| Molecular Weight | Theoretical: 41 kDa. Actual: 55 kDa. |
| Stability & Storage | Store at -20°C or -80°C for 12 months. Avoid repeated freeze-thaw cycles. |
| Transport | Shipping with blue ice. |
| Size | Quantity | Unit Price | Amount | Operation |
|---|

Copyright © 2015-2026 TargetMol Chemicals Inc. All Rights Reserved.