Shopping Cart
- Remove All
 Your shopping cart is currently empty Your shopping cart is currently empty
Anti-FKBP51 Antibody (6E556) is a Rabbit antibody targeting FKBP51. Anti-FKBP51 Antibody (6E556) can be used in FCM,ICC/IF,IHC,IP,WB.
| Pack Size | Price | Availability | Quantity | 
|---|---|---|---|
| 50 μL | $297 | 7-10 days | |
| 100 μL | $496 | 7-10 days | 
| Description | Anti-FKBP51 Antibody (6E556) is a Rabbit antibody targeting FKBP51. Anti-FKBP51 Antibody (6E556) can be used in FCM,ICC/IF,IHC,IP,WB. | 
| Synonyms | T cell FK506 binding protein, Rotamase, Ptg10, Ptg 10, PPIase FKBP5, PPIase, Peptidyl-prolyl cis-trans isomerase FKBP5, Peptidylprolyl cis trans isomerase, Peptidyl prolyl cis trans isomerase, P54, OTTHUMP00000016268, MGC111006, HSP90-binding immunophilin, HSP90 binding immunophilin, FKBP54, FKBP-51, FKBP5_HUMAN, FKBP-5, FKBP5, FKBP 54, FKBP 51, FKBP 5, FK506-binding protein 5, FK506 binding protein 5, FF1 antigen, Androgen-regulated protein 6, Androgen regulated protein 6, AIG6, AIG 6, 54 kDa progesterone receptor-associated immunophilin, 54 kDa progesterone receptor associated immunophilin, 51 kDa FKBP, 51 kDa FK506-binding protein, 51 kDa FK506 binding protein 5, 51 kDa FK506 binding protein | 
| Ig Type | IgG | 
| Clone | 6E556 | 
| Reactivity | Human,Rat | 
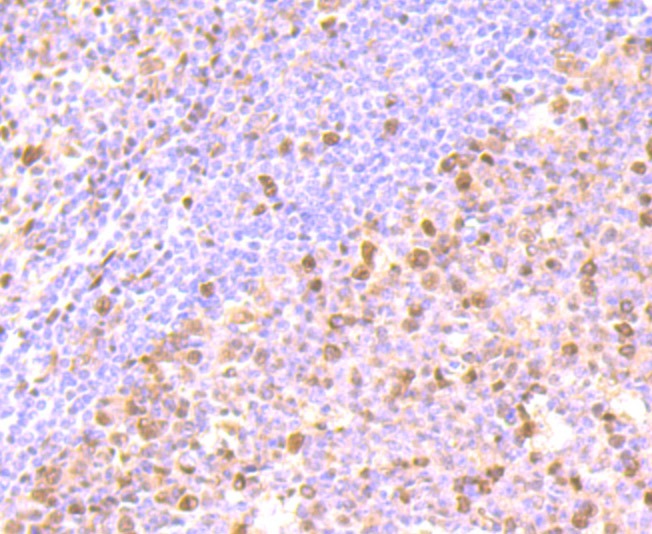
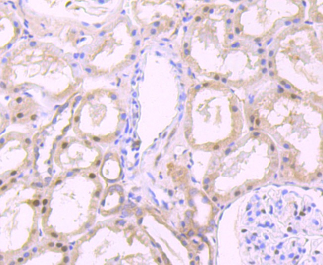
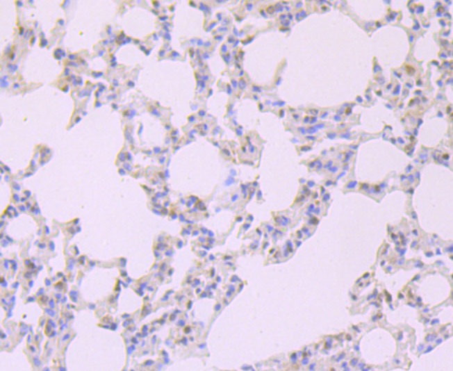
| Verified Activity | 1. Western blot analysis of FKBP51 on rat kidney tissue and Daudi cell lysate using anti-FKBP51 antibody at 1/500 dilution. 2. Immunohistochemical analysis of paraffin-embedded human tonsil tissue using anti-FKBP51 antibody. Counter stained with hematoxylin. 3. Immunohistochemical analysis of paraffin-embedded human kidney tissue using anti-FKBP51 antibody. Counter stained with hematoxylin. 4. Immunohistochemical analysis of paraffin-embedded rat lung tissue tissue using anti-FKBP51 antibody. Counter stained with hematoxylin. 5. Flow cytometric analysis of Daudi cells with FKBP51 antibody at 1/100 dilution (red) compared with an unlabelled control (cells without incubation with primary antibody; black). Alexa Fluor 488-conjugated goat anti rabbit IgG was used as the secondary antibody.      | 
| Application | |
| Recommended Dose | WB: 1:500-2000; IHC: 1:50-200; ICC/IF: 1:50-200; IP: 1:50; FCM: 1:50 | 
| Antibody Type | Monoclonal | 
| Host Species | Rabbit | 
| Construction | Recombinant Antibody | 
| Purification | ProA affinity purified | 
| Appearance | Liquid | 
| Formulation | 1*TBS (pH7.4), 1%BSA, 40%Glycerol. Preservative: 0.05% Sodium Azide. | 
| Research Background | The immunophilins are a highly conserved family of cis-trans peptidyl-prolyl isomerases that bind to and mediate the effects of immunosuppressive drugs, such as cyclosporin, FK506 and rapamycin. Several related immunophilins, FKBP12, FKBP51 and FKBP52, are characterized as cytosolic FK506-binding proteins, and following ligand binding, they functionally inhibit the phosphatase activity of calcineurin. The ubiquitously expressed FKBP12 also associates with the cytoplasmic domain of the TGFβ-type I receptor, where it stabilizes the inactive conformation of the receptor and blocks the activation of the TGFβ pathway. FKBP51 and FKBP52 are two highly related proteins. FKBP51 is predominantly expressed in T cells and is induced by glucocorticoids. FKBP51 mediates the effects of FK506 and rapamycin by inhibiting intracellular calcineurin activity, and by blocking T-cell activation and proliferation. FKBP52, known also as FKBP-59 or heat shock protein 56, is expressed in a variety of tissues and can also associate with the heat shock protein (hsp90) in mature steroid receptor complexes (6,8). | 
| Conjucates | Unconjugated | 
| Immunogen | Recombinant Protein | 
| Uniprot ID | 
| Molecular Weight | Theoretical: 51 kDa. | 
| Stability & Storage | Store at -20°C or -80°C for 12 months. Avoid repeated freeze-thaw cycles. | 
| Transport | Shipping with blue ice. | 

Copyright © 2015-2025 TargetMol Chemicals Inc. All Rights Reserved.