Shopping Cart
Remove All
Your shopping cart is currently empty
Anti-EMP-1 Polyclonal Antibody is a Rabbit antibody targeting EMP-1. Anti-EMP-1 Polyclonal Antibody can be used in IF,IHC-Fr,IHC-P,WB.
| Pack Size | Price | USA Stock | Global Stock | Quantity |
|---|---|---|---|---|
| 50 μL | $221 | 7-10 days | 7-10 days | |
| 100 μL | $372 | 7-10 days | 7-10 days |
| Description | Anti-EMP-1 Polyclonal Antibody is a Rabbit antibody targeting EMP-1. Anti-EMP-1 Polyclonal Antibody can be used in IF,IHC-Fr,IHC-P,WB. |
| Synonyms | Tumor-associated membrane protein, TMP, Protein B4B, Epithelial membrane protein 1, EMP1, EMP 1, CL-20 |
| Ig Type | IgG |
| Reactivity | Human,Mouse,Rat |
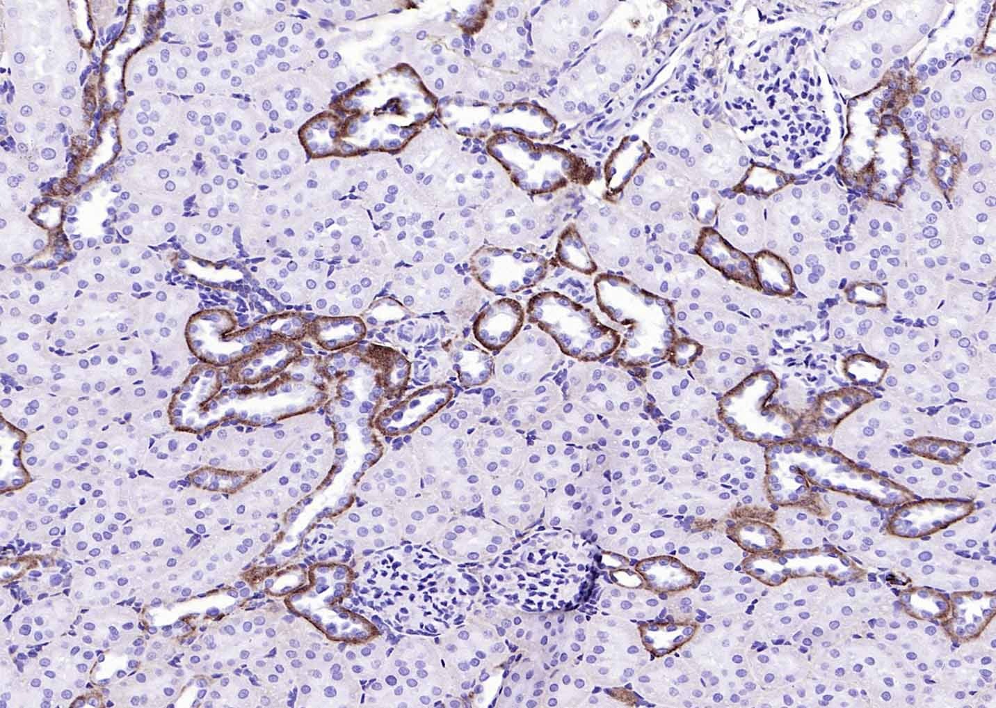
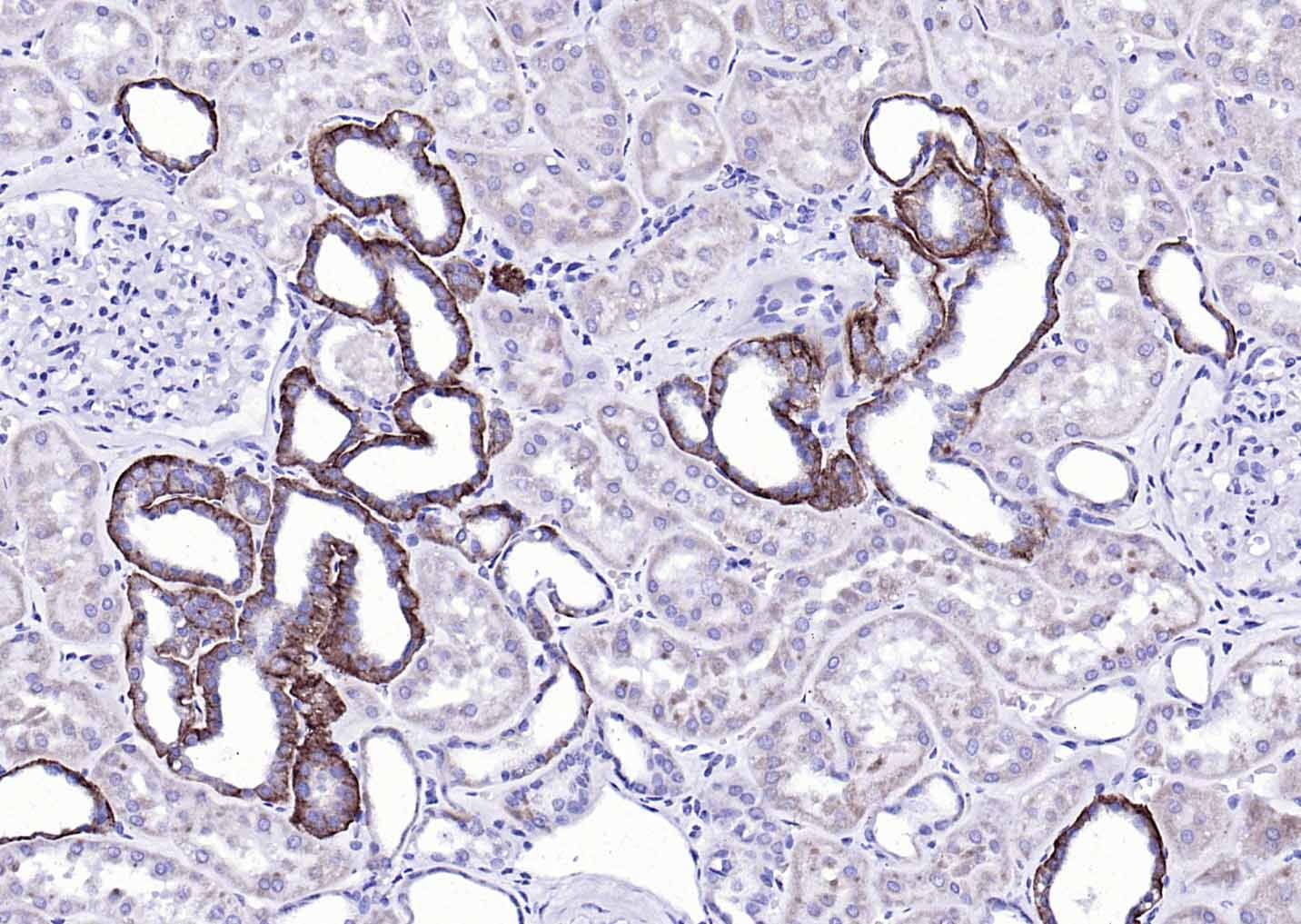
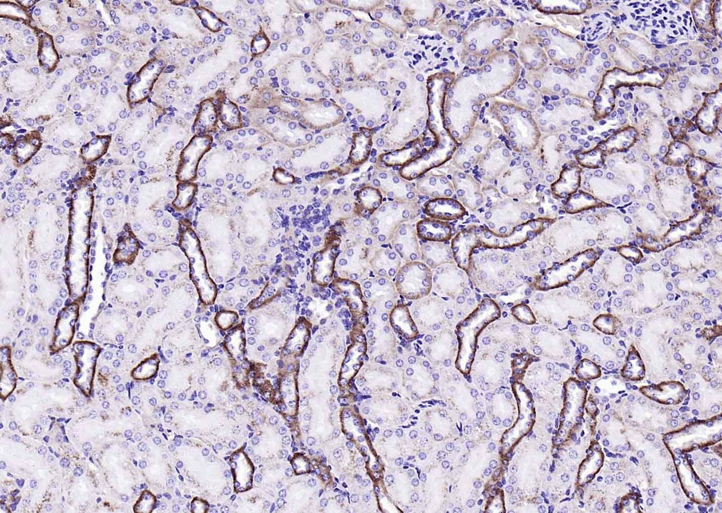
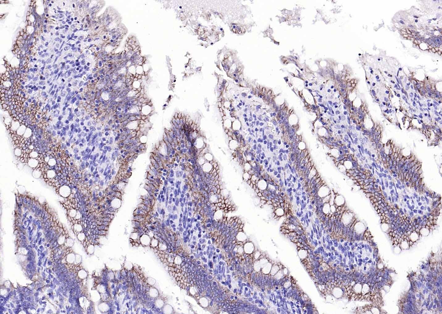
| Verified Activity | 1. Paraformaldehyde-fixed, paraffin embedded (Human kidney); Antigen retrieval by boiling in sodium citrate buffer (pH6.0) for 15 min; Block endogenous peroxidase by 3% hydrogen peroxide for 20 min; Blocking buffer (normal goat serum) at 37°C for 30 min; Antibody incubation with (EMP-1) Polyclonal Antibody, Unconjugated (TMAB-00607) at 1:200 overnight at 4°C, followed by operating according to SP Kit (Rabbit) instructionsand DAB staining. 2. Paraformaldehyde-fixed, paraffin embedded (rat small intestine); Antigen retrieval by boiling in sodium citrate buffer (pH6.0) for 15 min; Block endogenous peroxidase by 3% hydrogen peroxide for 20 min; Blocking buffer (normal goat serum) at 37°C for 30 min; Antibody incubation with (EMP-1) Polyclonal Antibody, Unconjugated (TMAB-00607) at 1:200 overnight at 4°C, followed by operating according to SP Kit (Rabbit) instructionsand DAB staining. 3. Paraformaldehyde-fixed, paraffin embedded (rat kidney); Antigen retrieval by boiling in sodium citrate buffer (pH6.0) for 15 min; Block endogenous peroxidase by 3% hydrogen peroxide for 20 min; Blocking buffer (normal goat serum) at 37°C for 30 min; Antibody incubation with (EMP-1) Polyclonal Antibody, Unconjugated (TMAB-00607) at 1:200 overnight at 4°C, followed by operating according to SP Kit (Rabbit) instructionsand DAB staining. 4. Paraformaldehyde-fixed, paraffin embedded (mouse kidney); Antigen retrieval by boiling in sodium citrate buffer (pH6.0) for 15 min; Block endogenous peroxidase by 3% hydrogen peroxide for 20 min; Blocking buffer (normal goat serum) at 37°C for 30 min; Antibody incubation with (EMP-1) Polyclonal Antibody, Unconjugated (TMAB-00607) at 1:200 overnight at 4°C, followed by operating according to SP Kit (Rabbit) instructionsand DAB staining. 5. Paraformaldehyde-fixed, paraffin embedded (mouse small intestine); Antigen retrieval by boiling in sodium citrate buffer (pH6.0) for 15 min; Block endogenous peroxidase by 3% hydrogen peroxide for 20 min; Blocking buffer (normal goat serum) at 37°C for 30 min; Antibody incubation with (EMP-1) Polyclonal Antibody, Unconjugated (TMAB-00607) at 1:200 overnight at 4°C, followed by operating according to SP Kit (Rabbit) instructionsand DAB staining. 6. 25 μg total protein per Lane of various lysates probed with EMP-1 polyclonal antibody, unconjugated (TMAB-00607) at 1:1000 dilution and 4°C overnight incubation. Followed by conjugated secondary antibody incubation at RT for 60 min. ![]() ![]() ![]() ![]() ![]() ![]() |
| Application | |
| Recommended Dose | WB: 1:500-2000; IHC-P: 1:100-500; IHC-Fr: 1:100-500; IF: 1:100-500 |
| Antibody Type | Polyclonal |
| Host Species | Rabbit |
| Subcellular Localization | Membrane; Multi-pass membrane protein. |
| Tissue Specificity | Most prominently found in the gastrointestinal tract, skin, lung, and brain but not in liver. |
| Construction | Polyclonal Antibody |
| Purification | Protein A purified |
| Appearance | Liquid |
| Formulation | 0.01M TBS (pH7.4) with 1% BSA, 0.02% Proclin300 and 50% Glycerol. |
| Concentration | 1 mg/mL |
| Research Background | Epithelial membrane protein-1 (EMP-1) is a four pass transmembrane protein consisting of 160 amino acids. It is a member of a small family of epithelial membrane proteins. EMP-1 is very similar in structure to its close relative, Peripheral Myelin Protein 22 (PMP22). It is most predominantly expressed in tissues of the gastrointestinal tract but has also been found to be a junctional protein in the liver expressed along the intercellular border. EMP-1 directly interacts with the C-terminus of the P2X7 receptor and may be involved in membrane blebbing. EMP-1 may also be an important regulator in cell communication, signaling, and adhesion. When EMP-1 is overexpressed, cell proliferation is inhibited, S phase is arrested and G1 phase is prolonged in esophogeal cancer cells. EMP-1 may play a role in tumorigenesis and has been identified as a biomarker for gefitinib treatment resistance for patients with lung cancer. |
| Immunogen | KLH conjugated synthetic peptide: mouse EMP-1 |
| Antigen Species | Mouse |
| Gene Name | Emp1 |
| Protein Name | Epithelial membrane protein 1 |
| Molecular Weight | Theoretical: 17 kDa. Actual: 25 kDa. |
| Stability & Storage | Store at -20°C or -80°C for 12 months. Avoid repeated freeze-thaw cycles. |
| Transport | Shipping with blue ice. |
| Size | Quantity | Unit Price | Amount | Operation |
|---|

Copyright © 2015-2026 TargetMol Chemicals Inc. All Rights Reserved.