Shopping Cart
Remove All
Your shopping cart is currently empty
Synonyms: Sphingosine 1phosphate receptor type 1 S1P1, Sphingosine 1-phosphate receptor Edg-1, Sphingosine 1-phosphate receptor 1, Sphingosine 1 phosphate receptor EDG1, S1PR1, S1P1, S1P receptor Edg-1, S1P receptor 1, G protein coupled sphingolipid receptor, Endothelial differentiation G-protein coupled receptor 1, EDG 1, ECGF1, D1S3362, CHEDG1, CD363
Anti-EDG1 Polyclonal Antibody
| Pack Size | Price | USA Stock | Global Stock | Quantity |
|---|---|---|---|---|
| 50 µL | $220 | 7-10 days | 7-10 days | |
| 100 µL | $373 | 7-10 days | 7-10 days | |
| 200 µL | $527 | 7-10 days | 7-10 days |
| Description | Anti-EDG1 Polyclonal Antibody is a Rabbit antibody targeting EDG1. Anti-EDG1 Polyclonal Antibody can be used in IF,IHC-Fr,IHC-P,WB. |
| Synonyms | Sphingosine 1phosphate receptor type 1 S1P1, Sphingosine 1-phosphate receptor Edg-1, Sphingosine 1-phosphate receptor 1, Sphingosine 1 phosphate receptor EDG1, S1PR1, S1P1, S1P receptor Edg-1, S1P receptor 1, G protein coupled sphingolipid receptor, Endothelial differentiation G-protein coupled receptor 1, EDG 1, ECGF1, D1S3362, CHEDG1, CD363 |
| Ig Type | IgG |
| Reactivity | Human,Mouse,Rat (predicted:Dog,Horse) |
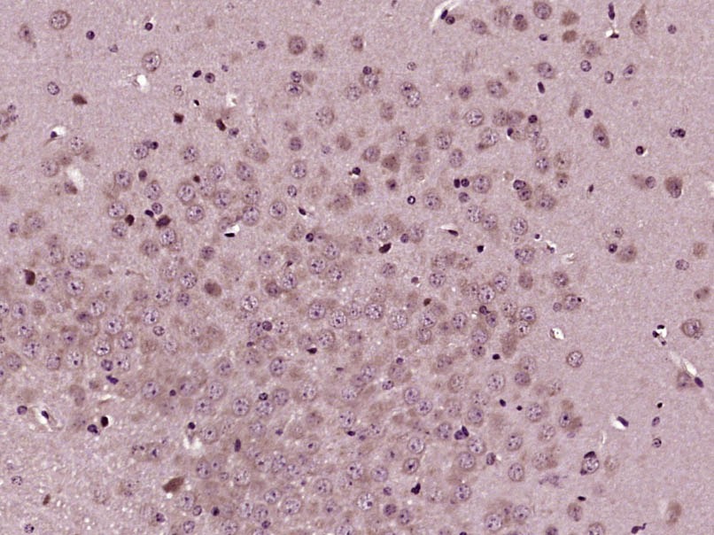
| Verified Activity | 1. Paraformaldehyde-fixed, paraffin embedded (Human brain glioma); Antigen retrieval by boiling in sodium citrate buffer (pH6.0) for 15 min; Block endogenous peroxidase by 3% hydrogen peroxide for 20 min; Blocking buffer (normal goat serum) at 37°C for 30 min; Antibody incubation with (EDG1) Polyclonal Antibody, Unconjugated (TMAB-00588) at 1:400 overnight at 4°C, followed by operating according to SP Kit (Rabbit) instructionsand DAB staining. 2. Paraformaldehyde-fixed, paraffin embedded (Mouse brain); Antigen retrieval by boiling in sodium citrate buffer (pH6.0) for 15 min; Block endogenous peroxidase by 3% hydrogen peroxide for 20 min; Blocking buffer (normal goat serum) at 37°C for 30 min; Antibody incubation with (EDG1) Polyclonal Antibody, Unconjugated (TMAB-00588) at 1:400 overnight at 4°C, followed by operating according to SP Kit (Rabbit) instructionsand DAB staining. 3. Sample: HUVEc (Human) Cell Lysate at 30 μg Primary: Anti-EDG1 (TMAB-00588) at 1/1000 dilution Secondary: IRDye800CW Goat Anti-Rabbit IgG at 1/20000 dilution Predicted band size: 44 kDa Observed band size: 54 kDa 4. Sample: Lane 1: Mouse Cerebellum tissue lysates Lane 2: Mouse Cerebrum tissue lysates Lane 3: Rat Cerebellum tissue lysates Lane 4: Rat Cerebrum tissue lysates Primary: Anti-EDG1 (TMAB-00588) at 1/1000 dilution Secondary: IRDye800CW Goat Anti-Rabbit IgG at 1/20000 dilution Predicted band size: 44 kDa Observed band size: 50 kDa , , ,![]() |
| Application | |
| Recommended Dose | WB: 1:500-2000; IHC-P: 1:100-500; IHC-Fr: 1:100-500; IF: 1:100-500 |
| Antibody Type | Polyclonal |
| Host Species | Rabbit |
| Subcellular Localization | Cell membrane; Multi-pass membrane protein. |
| Tissue Specificity | Endothelial cells, and to a lesser extent, in vascular smooth muscle cells, fibroblasts, melanocytes, and cells of epithelioid origin. |
| Construction | Polyclonal Antibody |
| Purification | Protein A purified |
| Appearance | Liquid |
| Formulation | 0.01M TBS (pH7.4) with 1% BSA, 0.02% Proclin300 and 50% Glycerol. |
| Concentration | 1 mg/mL |
| Research Background | Sphingosine-1-phosphate receptor 1 (S1P receptor 1 or S1P1), also known as endothelial differentiation gene 1 (EDG1) is a protein that in humans is encoded by the S1PR1 gene. S1PR1 is a G-protein-coupled receptor which binds the bioactive signaling molecule sphingosine 1-phosphate (S1P). S1PR1 belongs to a sphingosine-1-phosphate receptor subfamily comprising five members (S1PR1-5). S1PR1 was originally identified as an abundant transcript in endothelial cells and it has an important role in regulating endothelial cell cytoskeletal structure, migration, capillary-like network formation and vascular maturation. In addition, S1PR1 signaling is important in the regulation of lymphocyte maturation, migration and trafficking. |
| Immunogen | KLH conjugated synthetic peptide: human EDG1/CD363 |
| Antigen Species | Human |
| Gene Name | S1PR1 |
| Gene ID | |
| Protein Name | Sphingosine 1-phosphate receptor 1 |
| Uniprot ID | |
| Biology Area | Associated Proteins,Endothelial Cell Markers,Associated Proteins,Endothelial,GPCR,Lipid Signaling |
| Function | Receptor for the lysosphingolipid sphingosine 1-phosphate (S1P). S1P is a bioactive lysophospholipid that elicits diverse physiological effect on most types of cells and tissues. This inducible epithelial cell G-protein-coupled receptor may be involved in the processes that regulate the differentiation of endothelial cells. Seems to be coupled to the G(i) subclass of heteromeric G proteins. |
| Molecular Weight | Theoretical: 44 kDa. Actual: 50 kDa. |
| Stability & Storage | Store at -20°C or -80°C for 12 months. Avoid repeated freeze-thaw cycles. |
| Transport | Shipping with blue ice. |
| Size | Quantity | Unit Price | Amount | Operation |
|---|

Copyright © 2015-2026 TargetMol Chemicals Inc. All Rights Reserved.