Shopping Cart
Remove All
Your shopping cart is currently empty
Anti-DMT1 Polyclonal Antibody is a Rabbit antibody targeting DMT1. Anti-DMT1 Polyclonal Antibody can be used in IF, IHC-Fr, IHC-P, WB.
| Pack Size | Price | USA Stock | Global Stock | Quantity |
|---|---|---|---|---|
| 50 μL | $221 | 7-10 days | 7-10 days | |
| 100 μL | $372 | 7-10 days | 7-10 days | |
| 200 μL | $528 | 7-10 days | 7-10 days |
| Description | Anti-DMT1 Polyclonal Antibody is a Rabbit antibody targeting DMT1. Anti-DMT1 Polyclonal Antibody can be used in IF, IHC-Fr, IHC-P, WB. |
| Synonyms | SLC11A2, NRAMP2, NRAMP 2, NRAM2, Natural resistance associated macrophage protein 2, DMT 1, Divalent metal transporter 1, DCT1, DCT 1 |
| Ig Type | IgG |
| Reactivity | Mouse,Rat (predicted:Human,Cow) |
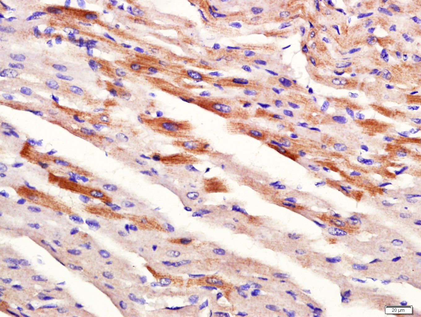
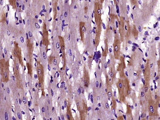
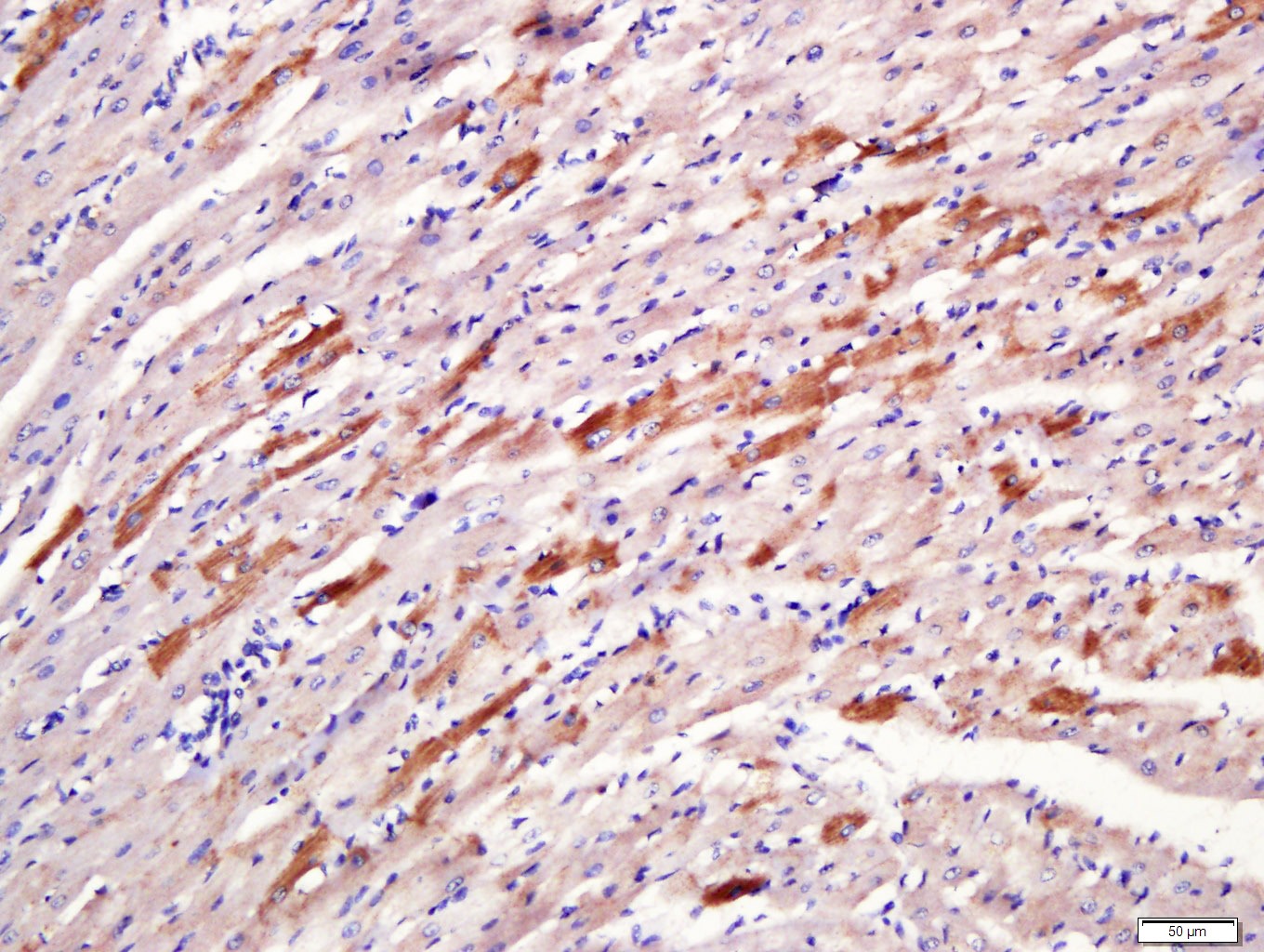
| Verified Activity | 1. Paraformaldehyde-fixed, paraffin embedded (Rat heart); Antigen retrieval by boiling in sodium citrate buffer (pH6.0) for 15 min; Block endogenous peroxidase by 3% hydrogen peroxide for 20 min; Blocking buffer (normal goat serum) at 37°C for 30 min; Antibody incubation with (DMT1) Polyclonal Antibody, Unconjugated (TMAB-00557) at 1:400 overnight at 4°C, followed by a conjugated secondary antibody for 20 min and DAB staining. 2. Sample: Adrenal glands (Mouse) Lysate at 40 μg Primary: Anti-DMT1 (TMAB-00557) at 1/300 dilution Secondary: IRDye800CW Goat Anti-Rabbit IgG at 1/20000 dilution Predicted band size: 62 kDa Observed band size: 64 kDa 3. Paraformaldehyde-fixed, paraffin embedded (Rat heart); Antigen retrieval by boiling in sodium citrate buffer (pH6.0) for 15 min; Block endogenous peroxidase by 3% hydrogen peroxide for 20 min; Blocking buffer (normal goat serum) at 37°C for 30 min; Antibody incubation with (Divalent metal transporter 1; DMT1) Polyclonal Antibody, Unconjugated (TMAB-00557) at 1:400 overnight at 4°C, followed by a conjugated secondary antibody for 20 min and DAB staining. 4. Paraformaldehyde-fixed, paraffin embedded (Rat heart); Antigen retrieval by boiling in sodium citrate buffer (pH6.0) for 15 min; Block endogenous peroxidase by 3% hydrogen peroxide for 20 min; Blocking buffer (normal goat serum) at 37°C for 30 min; Antibody incubation with (Divalent metal transporter 1; DMT1) Polyclonal Antibody, Unconjugated (TMAB-00557) at 1:400 overnight at 4°C, followed by a conjugated secondary antibody for 20 min and DAB staining. ![]() ![]() ![]() ![]() |
| Application | |
| Recommended Dose | WB: 1:500-2000; IHC-P: 1:100-500; IHC-Fr: 1:100-500; IF: 1:100-500 |
| Antibody Type | Polyclonal |
| Host Species | Rabbit |
| Subcellular Localization | Cytoplasm. |
| Tissue Specificity | Heart, brain, lung, skeletal muscle, and kidney. |
| Construction | Polyclonal Antibody |
| Purification | Protein A purified |
| Appearance | Liquid |
| Formulation | 0.01M TBS (pH7.4) with 1% BSA, 0.02% Proclin300 and 50% Glycerol. |
| Concentration | 1 mg/mL |
| Research Background | DMT1 is a major transporter of ferrous iron from the intestinal lumen. DMT1 belongs to the family of NRAMP metal ion transporters which function in diverse organisms from bacteria to human. DMT1 (NRAMP2) transports metal ions at the plasma membrane of cells of both the duodenum and in peripheral tissues, and defective DMT1 causes anaemia. |
| Immunogen | KLH conjugated synthetic peptide: human DMT1 |
| Antigen Species | Human |
| Gene Name | SLC11A2 |
| Gene ID | |
| Protein Name | Natural resistance-associated macrophage protein 2 |
| Uniprot ID | |
| Biology Area | Serum Proteins,Channels,Vitamins / Minerals |
| Function | Actin-bundling protein. May function in mitogen-activated protein kinase pathway. |
| Molecular Weight | Theoretical: 62 kDa. Actual: 64 kDa. |
| Stability & Storage | Store at -20°C or -80°C for 12 months. Avoid repeated freeze-thaw cycles. |
| Transport | Shipping with blue ice. |
| Size | Quantity | Unit Price | Amount | Operation |
|---|

Copyright © 2015-2026 TargetMol Chemicals Inc. All Rights Reserved.