Shopping Cart
Remove All
Your shopping cart is currently empty
Anti-CYP26A1 Antibody (8F696) is a Rabbit antibody targeting CYP26A1. Anti-CYP26A1 Antibody (8F696) can be used in IHC,WB.
| Pack Size | Price | USA Warehouse | Global Warehouse | Quantity |
|---|---|---|---|---|
| 50 μL | $298 | 7-10 days | 7-10 days | |
| 100 μL | $498 | 7-10 days | 7-10 days |
| Description | Anti-CYP26A1 Antibody (8F696) is a Rabbit antibody targeting CYP26A1. Anti-CYP26A1 Antibody (8F696) can be used in IHC,WB. |
| Synonyms | Retinoic acid-metabolizing cytochrome, Retinoic acid metabolizing cytochrome, Retinoic acid 4-hydroxylase, Retinoic acid 4 hydroxylase, P450RAI1, P450RAI, P450 retinoic acid inactivating 1, P450, OTTHUMP00000020103, OTTHUMP00000020102, hP450RAI, Cytochrome P450RAI, cytochrome P450, subfamily XXVIA, polypeptide 1, cytochrome P450, family 26, subfamily A, polypeptide 1, Cytochrome P450 retinoic acid-inactivating 1, Cytochrome P450 family 26 subfamily A polypeptide 1, Cytochrome P450 26A1, cyp26a1, CYP26A 1, CYP26, CP26A_HUMAN, CP26 |
| Ig Type | IgG |
| Clone | 8F696 |
| Reactivity | Human,Rat |
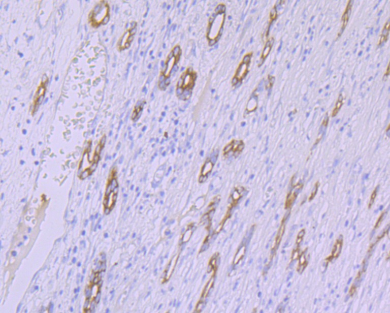
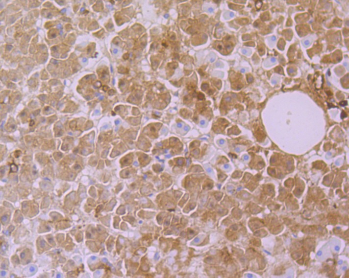
| Verified Activity | 1. Western blot analysis of CYP26A1 on HepG2 cell lysate using anti-CYP26A1 antibody at 1/500 dilution. 2. Immunohistochemical analysis of paraffin-embedded human liver tissue using anti-CYP26A1 antibody. Counter stained with hematoxylin. 3. Immunohistochemical analysis of paraffin-embedded human pancreas tissue using anti-CYP26A1 antibody. Counter stained with hematoxylin. ![]() ![]() ![]() |
| Application | |
| Recommended Dose | WB: 1:500-1000; IHC: 1:50-200 |
| Antibody Type | Monoclonal |
| Host Species | Rabbit |
| Construction | Recombinant Antibody |
| Purification | ProA affinity purified |
| Appearance | Liquid |
| Formulation | 1*TBS (pH7.4), 1%BSA, 40%Glycerol. Preservative: 0.05% Sodium Azide. |
| Research Background | The cytochrome P450 proteins (CYPs) are monooxygenases that catalyze many reactions involved in drug metabolism and synthesis of cholesterol, steroids, and other lipids. P450 enzymes are classified into subfamilies based on their sequence similarities. CYP26A1, also referred to as retinoic acid-4-hydroxylase, is a major retinoic acid catabolic enzyme. CYP26A1 plays an important role in protecting tailbud tissues from inappropriate exposure to retinoic acid. CYP26A1 transcription is epigenetically regulated by nuclear retinoic acid receptor β2. Mutations in the gene encoding for CYP26A1 are associated with caudal agenesis and spina bifida, imperforate anus, agenesis of the caudal portions of the digestive and urogenital tracts, and malformed lumbosacral skeletal elements. CYP26A1 is upregulated in adenomatous polyposis coli mouse adenomas, human FAP adenomas, human sporadic colon carcinomas, and in the intestine of adenomatous polyposis coli (apcmcr) mutant zebrafish embryos. |
| Conjucates | Unconjugated |
| Immunogen | Recombinant Protein: human CYP26A1 aa 200-400 |
| Antigen Species | human |
| Uniprot ID |
| Molecular Weight | Theoretical: 48 kDa. |
| Stability & Storage | Store at -20°C or -80°C for 12 months. Avoid repeated freeze-thaw cycles. |
| Transport | Shipping with blue ice. |
| Size | Quantity | Unit Price | Amount | Operation |
|---|

Copyright © 2015-2026 TargetMol Chemicals Inc. All Rights Reserved.