Shopping Cart
Remove All
Your shopping cart is currently empty
Anti-Cyclin B2 Antibody (9U494) is a Rabbit antibody targeting Cyclin B2. Anti-Cyclin B2 Antibody (9U494) can be used in ICC/IF,IHC,IP,WB.
| Pack Size | Price | USA Warehouse | Global Warehouse | Quantity |
|---|---|---|---|---|
| 50 μL | $298 | 7-10 days | 7-10 days | |
| 100 μL | $498 | 7-10 days | 7-10 days |
| Description | Anti-Cyclin B2 Antibody (9U494) is a Rabbit antibody targeting Cyclin B2. Anti-Cyclin B2 Antibody (9U494) can be used in ICC/IF,IHC,IP,WB. |
| Synonyms | MGC140694, MGC108931, HsT17299, G2/mitotic-specific cyclin-B2, G2/mitotic specific cyclin B2, G2 mitotic specific cyclin B2, Cyclin B2, CycB2, CCNB2_HUMAN, ccnb2 |
| Ig Type | IgG |
| Clone | 9U494 |
| Reactivity | Human,Mouse,Rat |
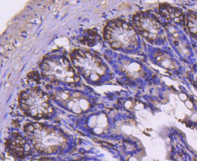
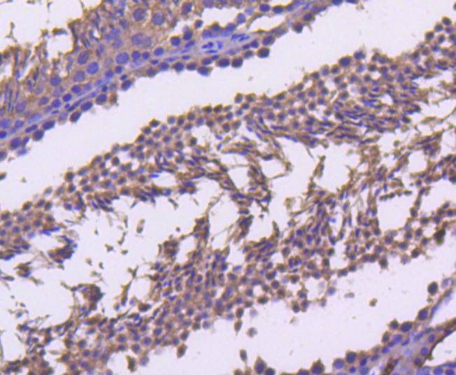
| Verified Activity | 1. Western blot analysis of Cyclin B2 on different lysates using anti-Cyclin B2 antibody at 1/1,000 dilution. Positive control: Lane 1: Hela, Lane 2: K562. 2. Immunohistochemical analysis of paraffin-embedded mouse testis tissue using anti-Cyclin B2 antibody. Counter stained with hematoxylin. 3. Immunohistochemical analysis of paraffin-embedded mouse colon tissue using anti-Cyclin B2 antibody. Counter stained with hematoxylin. 4. ICC staining Cyclin B2 in Hela cells (green). The nuclear counter stain is DAPI (blue). Cells were fixed in paraformaldehyde, permeabilised with 0.25% Triton X100/PBS. 5. ICC staining Cyclin B2 in PC-12 cells (green). The nuclear counter stain is DAPI (blue). Cells were fixed in paraformaldehyde, permeabilised with 0.25% Triton X100/PBS. ![]() ![]() ![]() ![]() ![]() |
| Application | |
| Recommended Dose | WB: 1:1000; IHC: 1:50-200; ICC/IF: 1:50-200 |
| Antibody Type | Monoclonal |
| Host Species | Rabbit |
| Construction | Recombinant Antibody |
| Purification | ProA affinity purified |
| Appearance | Liquid |
| Formulation | 1*TBS (pH7.4), 1%BSA, 40%Glycerol. Preservative: 0.05% Sodium Azide. |
| Research Background | In eukaryotic cells, mitosis is initiated following the activation of a protein kinase known variously as maturation-promoting factor, M-phase specific histone kinase or M-phase kinase. This protein kinase is composed of a catalytic subunit (Cdc2), a regulatory subunit (cyclin B) and a low molecular weight subunit (p13-Suc 1). The Cdc/cyclin enzyme is subject to multiple levels of control of which the regulation of the catalytic subunit by tyrosine phosphorylation is the best understood. Tyrosine phosphorylation inhibits the Cdc2/cyclin B enzyme and tyrosine dephosphorylation, occurring at the onset of mitosis, directly activates the pre-MPF complex . Evidence has established that B-type cyclins not only act on M-phase regulatory subunits of the Cdc2 protein kinase, but also activate the Cdc25A and Cdc25B endogenous tyrosine phosphatase, of which Cdc2 is the physiological substrate. The two B-type cyclins, cyclin B1 and cyclin B2, have been shown to have distinct tissue distributions. |
| Conjucates | Unconjugated |
| Immunogen | Recombinant Protein |
| Uniprot ID |
| Molecular Weight | Theoretical: 45 kDa. |
| Stability & Storage | Store at -20°C or -80°C for 12 months. Avoid repeated freeze-thaw cycles. |
| Transport | Shipping with blue ice. |
| Size | Quantity | Unit Price | Amount | Operation |
|---|

Copyright © 2015-2026 TargetMol Chemicals Inc. All Rights Reserved.