Shopping Cart
Remove All
Your shopping cart is currently empty
Anti-COL4A1 Antibody (8N71) is a Mouse antibody targeting COL4A1. Anti-COL4A1 Antibody (8N71) can be used in ICC/IF,IHC-P.
| Pack Size | Price | USA Warehouse | Global Warehouse | Quantity |
|---|---|---|---|---|
| 50 μL | $218 | 7-10 days | 7-10 days | |
| 100 μL | $318 | 7-10 days | 7-10 days |
| Description | Anti-COL4A1 Antibody (8N71) is a Mouse antibody targeting COL4A1. Anti-COL4A1 Antibody (8N71) can be used in ICC/IF,IHC-P. |
| Synonyms | Collagen alpha-1(IV) chain, COL4A1 |
| Clone | 8N71 |
| Reactivity | Human,Mouse,Rat |
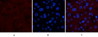
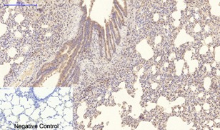
| Verified Activity | 1. Immunohistochemical analysis of paraffin-embedded Human-lung tissue. 1,Collagen IV Mouse Monoclonal Antibody was diluted at 1:200 (4°C,overnight). 2, Sodium citrate pH 6.0 was used for antibody retrieval (>98°C,20min). 3,Secondary antibody was diluted at 1:200 (room tempeRature, 30min). Negative control was used by secondary antibody only. 2. Immunofluorescence analysis of human-liver tissue. 1,Collagen IV Mouse Monoclonal Antibody (red) was diluted at 1:200 (4°C,overnight). 2, Cy3 labled Secondary antibody was diluted at 1:300 (room temperature, 50min).3, Picture B: DAPI (blue) 10min. Picture A:Target. Picture B: DAPI. Picture C: merge of A+B. ![]() ![]() |
| Application | |
| Recommended Dose | IHC-P: 1:50-300; ICC/IF: 1:50-200 |
| Antibody Type | Monoclonal |
| Host Species | Mouse |
| Construction | Hybridoma Monoclonal Antibody |
| Appearance | Liquid |
| Conjucates | Unconjugated |
| Immunogen | A synthesized peptide: Collagen IV |
| Molecular Weight | Theoretical: 161 kDa. |
| Stability & Storage | Store at -20°C or -80°C for 12 months. Avoid repeated freeze-thaw cycles. |
| Transport | Shipping with blue ice. |
| Size | Quantity | Unit Price | Amount | Operation |
|---|

Copyright © 2015-2026 TargetMol Chemicals Inc. All Rights Reserved.