Shopping Cart
Remove All
Your shopping cart is currently empty
Anti-CLEC5A Polyclonal Antibody is a Rabbit antibody targeting CLEC5A. Anti-CLEC5A Polyclonal Antibody can be used in IF,IHC-Fr,IHC-P,WB.
| Pack Size | Price | USA Stock | Global Stock | Quantity |
|---|---|---|---|---|
| 50 μL | $220 | 7-10 days | 7-10 days | |
| 100 μL | $372 | 7-10 days | 7-10 days | |
| 200 μL | $527 | 7-10 days | 7-10 days |
| Description | Anti-CLEC5A Polyclonal Antibody is a Rabbit antibody targeting CLEC5A. Anti-CLEC5A Polyclonal Antibody can be used in IF,IHC-Fr,IHC-P,WB. |
| Synonyms | C-type lectin domain family 5, member A |
| Ig Type | IgG |
| Reactivity | Human,Mouse,Rat (predicted:Pig,Cow,Horse,Rabbit) |
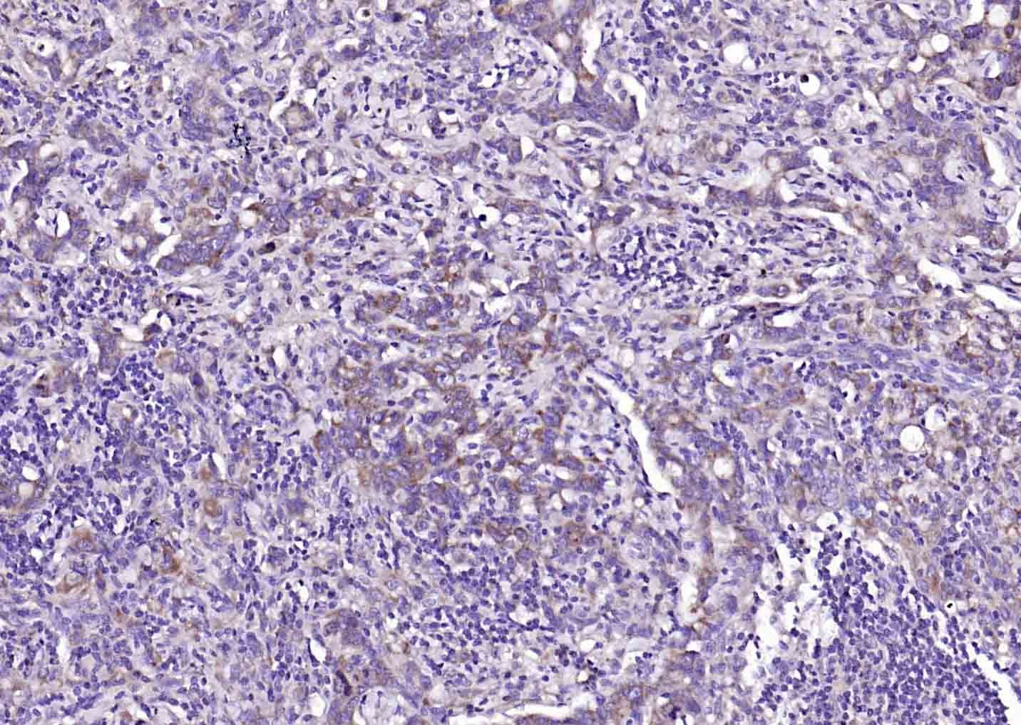
| Verified Activity | 1. Sample: Spleen (Mouse) Lysate at 40 μg Primary: Anti-CLEC5a (TMAB-00447) at 1/300 dilution Secondary: IRDye800CW Goat Anti-Rabbit IgG at 1/20000 dilution Predicted band size: 22 kDa Observed band size: 22 kDa 2. Paraformaldehyde-fixed, paraffin embedded (human gastric carcinoma); Antigen retrieval by boiling in sodium citrate buffer (pH6.0) for 15 min; Block endogenous peroxidase by 3% hydrogen peroxide for 20 min; Blocking buffer (normal goat serum) at 37°C for 30 min; Antibody incubation with (CLEC5A) Polyclonal Antibody, Unconjugated (TMAB-00447) at 1:200 overnight at 4°C, followed by operating according to SP Kit (Rabbit) instructionsand DAB staining. 3. Sample: Lane 1: Mouse Spinal cord tissue lysates Lane 2: Rat Spinal cord tissue lysates Primary: Anti-CLEC5A (TMAB-00447) at 1/1000 dilution Secondary: IRDye800CW Goat Anti-Rabbit IgG at 1/20000 dilution Predicted band size: 22 kDa Observed band size: 37 kDa ![]() ![]() ![]() |
| Application | |
| Recommended Dose | WB: 1:500-2000; IHC-P: 1:100-500; IHC-Fr: 1:100-500; IF: 1:100-500 |
| Antibody Type | Polyclonal |
| Host Species | Rabbit |
| Subcellular Localization | Cell membrane; Single-pass type II membrane protein. |
| Tissue Specificity | Expressed in peripheral blood monocytes and in the monocyte/macrophage cell lines U937 and MonoMac6, but not in cell lines of other origins. Expression is down-regulated when monocytes differentiate into dendritic cells. |
| Construction | Polyclonal Antibody |
| Purification | Protein A purified |
| Appearance | Liquid |
| Formulation | 0.01M TBS (pH7.4) with 1% BSA, 0.02% Proclin300 and 50% Glycerol. |
| Concentration | 1 mg/mL |
| Research Background | This gene encodes a member of the C-type lectin/C-type lectin-like domain (CTL/CTLD) superfamily. Members of this family share a common protein fold and have diverse functions, such as cell adhesion, cell-cell signalling, glycoprotein turnover, and roles in inflammation and immune response. The encoded type II transmembrane protein interacts with dnax-activation protein 12 and may play a role in cell activation. Alternative splice variants have been described but their full-length sequence has not been determined. [provided by RefSeq]. |
| Immunogen | KLH conjugated synthetic peptide: mouse CLEC5A |
| Antigen Species | Mouse |
| Gene Name | CLEC5A |
| Gene ID | |
| Protein Name | C-type lectin domain family 5 member A |
| Uniprot ID | |
| Biology Area | Antiviral Signaling,Macrophage / Inflamm.,Host Virus Interaction |
| Function | Functions as a positive regulator of osteoclastogenesis. Cell surface receptor that signals via TYROBP. Regulates inflammatory responses. Acts as a key regulator of synovial injury and bone erosion during autoimmune joint inflammation. Critical macrophage receptor for dengue virus serotypes 1-4. The binding of dengue virus to CLEC5A triggers signaling through phosphylation of TYROBP, this interaction does not result in viral entry but stimulates proinflammatory cytokine release. |
| Molecular Weight | Theoretical: 22 kDa. Actual: 25-37 kDa. |
| Stability & Storage | Store at -20°C or -80°C for 12 months. Avoid repeated freeze-thaw cycles. |
| Transport | Shipping with blue ice. |
| Size | Quantity | Unit Price | Amount | Operation |
|---|

Copyright © 2015-2026 TargetMol Chemicals Inc. All Rights Reserved.