Shopping Cart
Remove All
Your shopping cart is currently empty
Synonyms: RIS2, RIS 2, Retroviral integration site2, Retroviral integration site1, Retroviral integration site 2, Retroviral integration site 1, DUP, Double parked homolog, Double parked Drosophila homolog of, Double parked, DNA replication factor Cdt1, DNA replication factor, Chromatin licensing and DNA replication factor 1, CDT1_HUMAN, cdt1, CDT 1
| Pack Size | Price | USA Stock | Global Stock | Quantity |
|---|---|---|---|---|
| 50 μL | $296 | 7-10 days | 7-10 days | |
| 100 μL | $498 | 7-10 days | 7-10 days |
| Description | Anti-CDT1 Antibody (4Q313) is a Rabbit antibody targeting CDT1. Anti-CDT1 Antibody (4Q313) can be used in IHC,IP,WB. |
| Synonyms | RIS2, RIS 2, Retroviral integration site2, Retroviral integration site1, Retroviral integration site 2, Retroviral integration site 1, DUP, Double parked homolog, Double parked Drosophila homolog of, Double parked, DNA replication factor Cdt1, DNA replication factor, Chromatin licensing and DNA replication factor 1, CDT1_HUMAN, cdt1, CDT 1 |
| Ig Type | IgG |
| Clone | 4Q313 |
| Reactivity | Human |
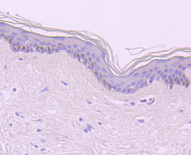
| Verified Activity | 1. Western blot analysis of CDT1 on Hela cell using anti-CDT1 antibody at 1/1,000 dilution. 2. Immunohistochemical analysis of paraffin-embedded human skin tissue using anti-CDT1 antibody. Counter stained with hematoxylin. |
| Application | |
| Recommended Dose | WB: 1:500-1000; IHC: 1:25-50 |
| Antibody Type | Monoclonal |
| Host Species | Rabbit |
| Construction | Recombinant Antibody |
| Purification | ProA affinity purified |
| Appearance | Liquid |
| Formulation | 1*TBS (pH7.4), 1%BSA, 40%Glycerol. Preservative: 0.05% Sodium Azide. |
| Research Background | Human Cdt1 is a nuclear localizing replication initiation factor that is expressed only during the G1 and S phases of the cell cycle. In conjunction with Cdc18, Cdt1 is required to load the MCM protein Cdc21 onto chromatin at the end of mitosis which is necessary to initiate DNA replication. After S-phase onset, Cdt1 protein levels decrease and are barely detectable in cells in early S-phase or G2. However, Cdt1 mRNA is expressed in S-phase-arrested cells, and its levels do not change dramatically during the cell cycle, suggesting that proteolytic degradation rather than transcriptional controls ensure proper accumulation of Cdt1. Cdt1 can associate with the DNA replication inhibitor geminin, which is present in the S and G2 phases of the cell cycle. Inhibition of DNA replication by geminin in cell-free DNA replication extracts can be reversed by the addition of excess Cdt1. Geminin may be responsible for preventing inappropriate origin firing by targeting Cdt1. |
| Conjucates | Unconjugated |
| Immunogen | Recombinant Protein |
| Uniprot ID |
| Molecular Weight | Theoretical: 60 kDa. |
| Stability & Storage | Store at -20°C or -80°C for 12 months. Avoid repeated freeze-thaw cycles. |
| Transport | Shipping with blue ice. |
| Size | Quantity | Unit Price | Amount | Operation |
|---|

Copyright © 2015-2026 TargetMol Chemicals Inc. All Rights Reserved.