Shopping Cart
Remove All
Your shopping cart is currently empty
Synonyms: Tat associated kinase complex catalytic subunit, TAK, Serine/threonine-protein kinase PITALRE, PITALRE, Cyclin-dependent kinase 9, Cyclin dependent kinase 9, CTK1, Cell division protein kinase 9, Cell division cycle 2-like protein kinase 4, CDK9_HUMAN, Cdk9, CDK 9, CDC2L4, CDC2 related kinase, C-2K
Anti-CDK9 Antibody
(1M957)
| Pack Size | Price | USA Stock | Global Stock | Quantity |
|---|---|---|---|---|
| 50 µL | $298 | 7-10 days | 7-10 days | |
| 100 µL | $498 | 7-10 days | 7-10 days |
| Description | Anti-CDK9 Antibody (1M957) is a Rabbit antibody targeting CDK9. Anti-CDK9 Antibody (1M957) can be used in ICC/IF,IHC,IP,WB. |
| Synonyms | Tat associated kinase complex catalytic subunit, TAK, Serine/threonine-protein kinase PITALRE, PITALRE, Cyclin-dependent kinase 9, Cyclin dependent kinase 9, CTK1, Cell division protein kinase 9, Cell division cycle 2-like protein kinase 4, CDK9_HUMAN, Cdk9, CDK 9, CDC2L4, CDC2 related kinase, C-2K |
| Ig Type | IgG |
| Clone | 1M957 |
| Reactivity | Human |
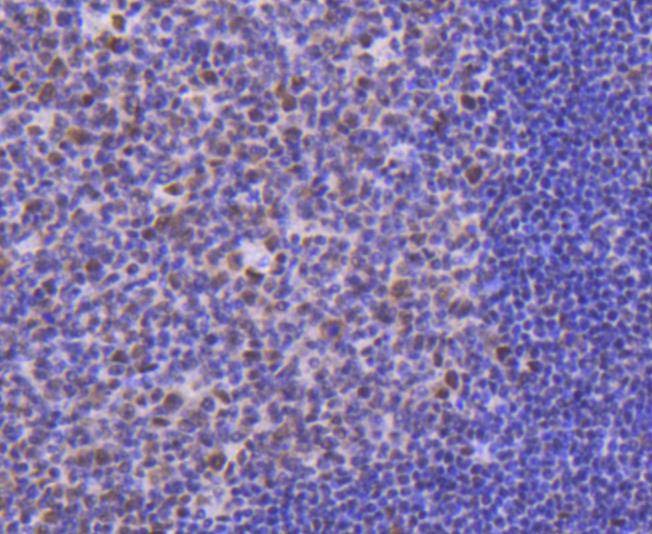
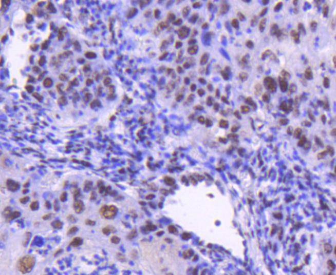
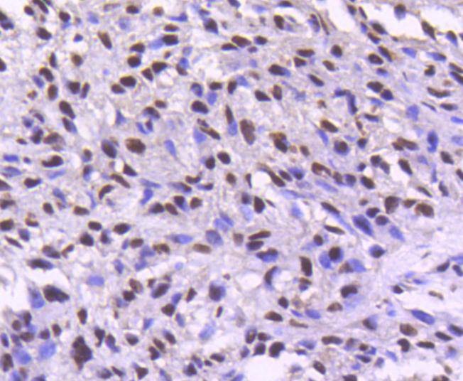
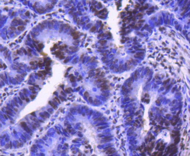
| Verified Activity | 1. Western blot analysis of Cdk9 on different lysates using anti-Cdk9 antibody at 1/1,000 dilution. Positive control: Lane 1: Hela, Lane 2: Jurkat, Lane 3: A431. 2. Immunohistochemical analysis of paraffin-embedded human lung cancer tissue using anti-Cdk9 antibody. Counter stained with hematoxylin. 3. Immunohistochemical analysis of paraffin-embedded human breast carcinoma tissue using anti-Cdk9 antibody. Counter stained with hematoxylin. 4. Immunohistochemical analysis of paraffin-embedded human tonsil tissue using anti-Cdk9 antibody. Counter stained with hematoxylin. 5. Immunohistochemical analysis of paraffin-embedded human colon cancer tissue using anti-Cdk9 antibody. Counter stained with hematoxylin. 6. ICC staining Cdk9 in Hela cells (green). The nuclear counter stain is DAPI (blue). Cells were fixed in paraformaldehyde, permeabilised with 0.25% Triton X100/PBS. 7. ICC staining Cdk9 in A549 cells (green). The nuclear counter stain is DAPI (blue). Cells were fixed in paraformaldehyde, permeabilised with 0.25% Triton X100/PBS. 8. ICC staining Cdk9 in SW480 cells (green). The nuclear counter stain is DAPI (blue). Cells were fixed in paraformaldehyde, permeabilised with 0.25% Triton X100/PBS. , , , , , , ,![]() |
| Application | |
| Recommended Dose | WB: 1:1000; IHC: 1:50-200; ICC/IF: 1:50-200 |
| Antibody Type | Monoclonal |
| Host Species | Rabbit |
| Construction | Recombinant Antibody |
| Purification | ProA affinity purified |
| Appearance | Liquid |
| Formulation | 1*TBS (pH7.4), 1%BSA, 40%Glycerol. Preservative: 0.05% Sodium Azide. |
| Research Background | A family of proteins designated cyclin dependent kinases (Cdks) are critical regulators of cell cycle progression. Cdk family members, including Cdc2 p34, Cdk1?C9, PISSLRE, KKIALRE, PITSLRE, and PCTAIRE 1?C3 are constitutively expressed throughout the cell cycle. Cdc2 p34 activity peaks during mitosis and Cdk2 activity rises in late G1 or early S phase. Cdk4 and Cdk6 are critically involved in G1 to S phase progression. The functions of Cdk3, Cdk5b, PISSLRE, KKIALRE and PCTAIRE 1?C3 are less well defined. Cdk9 (also designated PITALRE) has been shown to specifically phosphorylate the retinoblastoma protein. The more recently cloned Drosophila protein, P-TEFb, is thought to be the homolog of mammalian PITALRE. P-TEFb has been shown to be required for HIV Tat transcriptional activation. |
| Conjucates | Unconjugated |
| Immunogen | Recombinant Protein |
| Uniprot ID |
| Molecular Weight | Theoretical: 43/37 kDa. |
| Stability & Storage | Store at -20°C or -80°C for 12 months. Avoid repeated freeze-thaw cycles. |
| Transport | Shipping with blue ice. |
| Size | Quantity | Unit Price | Amount | Operation |
|---|

Copyright © 2015-2026 TargetMol Chemicals Inc. All Rights Reserved.