Shopping Cart
Remove All
Your shopping cart is currently empty
Anti-CD68 Polyclonal Antibody is a Rabbit antibody targeting CD68. Anti-CD68 Polyclonal Antibody can be used in ELISA,IF,IHC-Fr,IHC-P.
| Pack Size | Price | USA Warehouse | Global Warehouse | Quantity |
|---|---|---|---|---|
| 50 μL | $220 | 7-10 days | 7-10 days | |
| 100 μL | $372 | 7-10 days | 7-10 days |
| Description | Anti-CD68 Polyclonal Antibody is a Rabbit antibody targeting CD68. Anti-CD68 Polyclonal Antibody can be used in ELISA,IF,IHC-Fr,IHC-P. |
| Synonyms | SCARD1, LAMP4, GP110, CD68 molecule |
| Ig Type | IgG |
| Reactivity | Human |
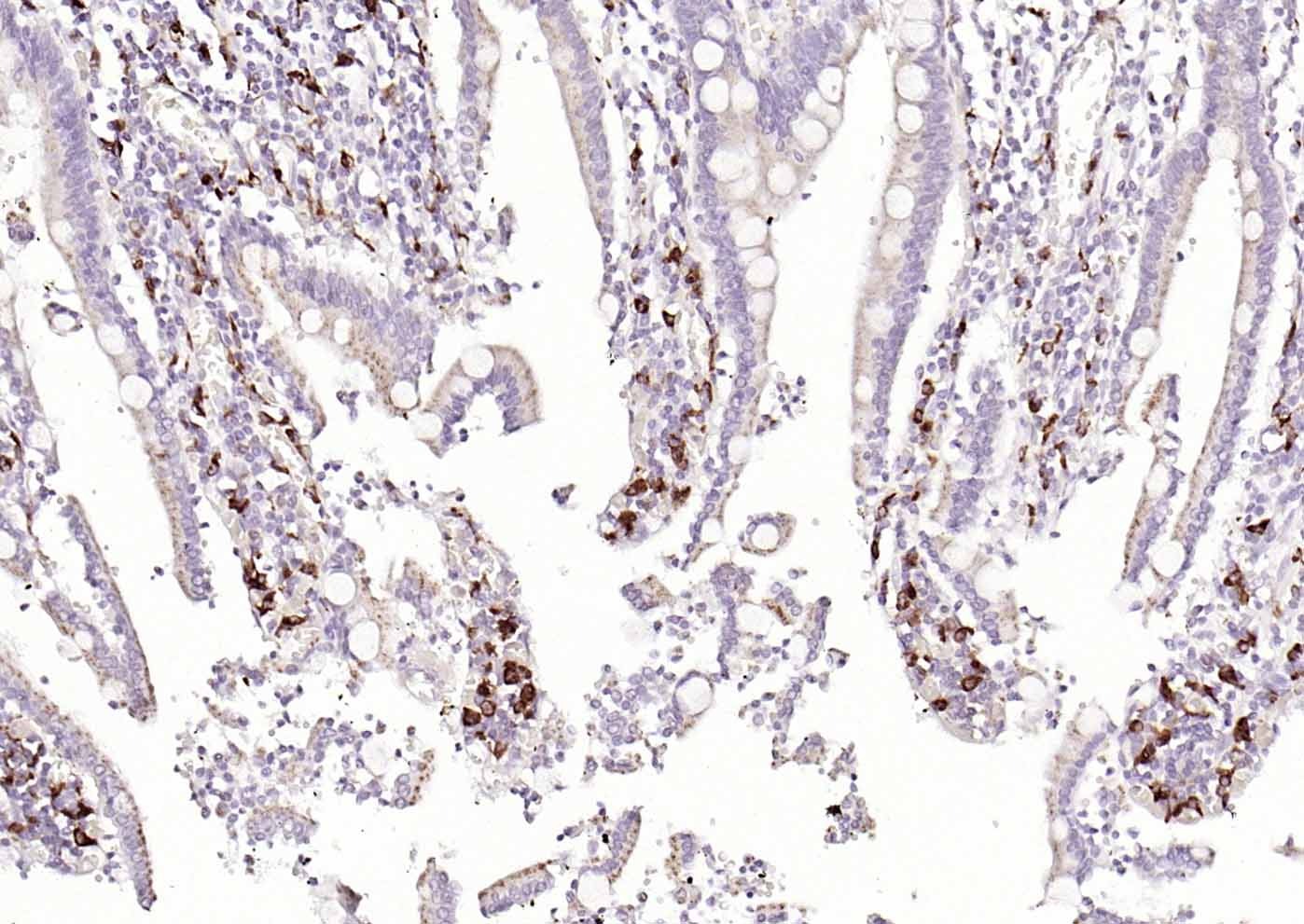
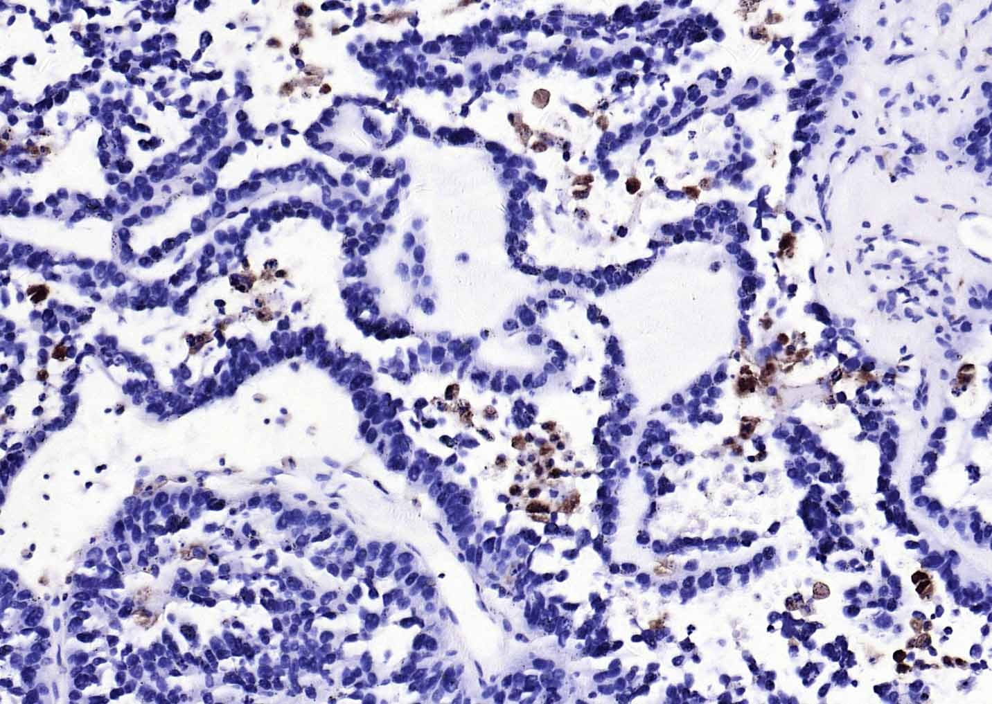
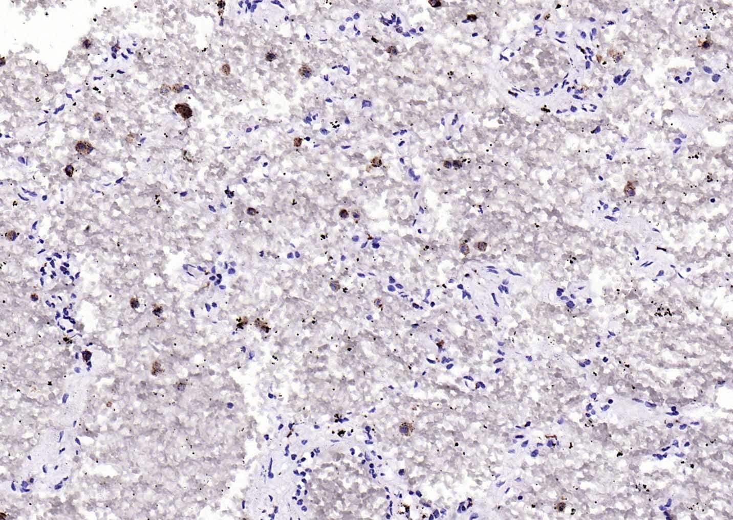
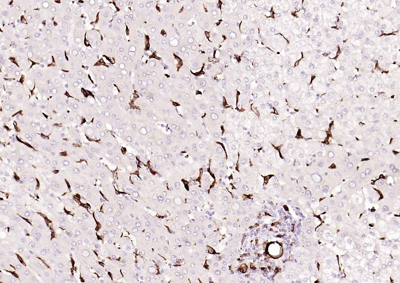
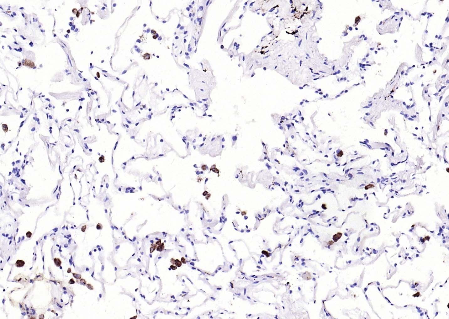
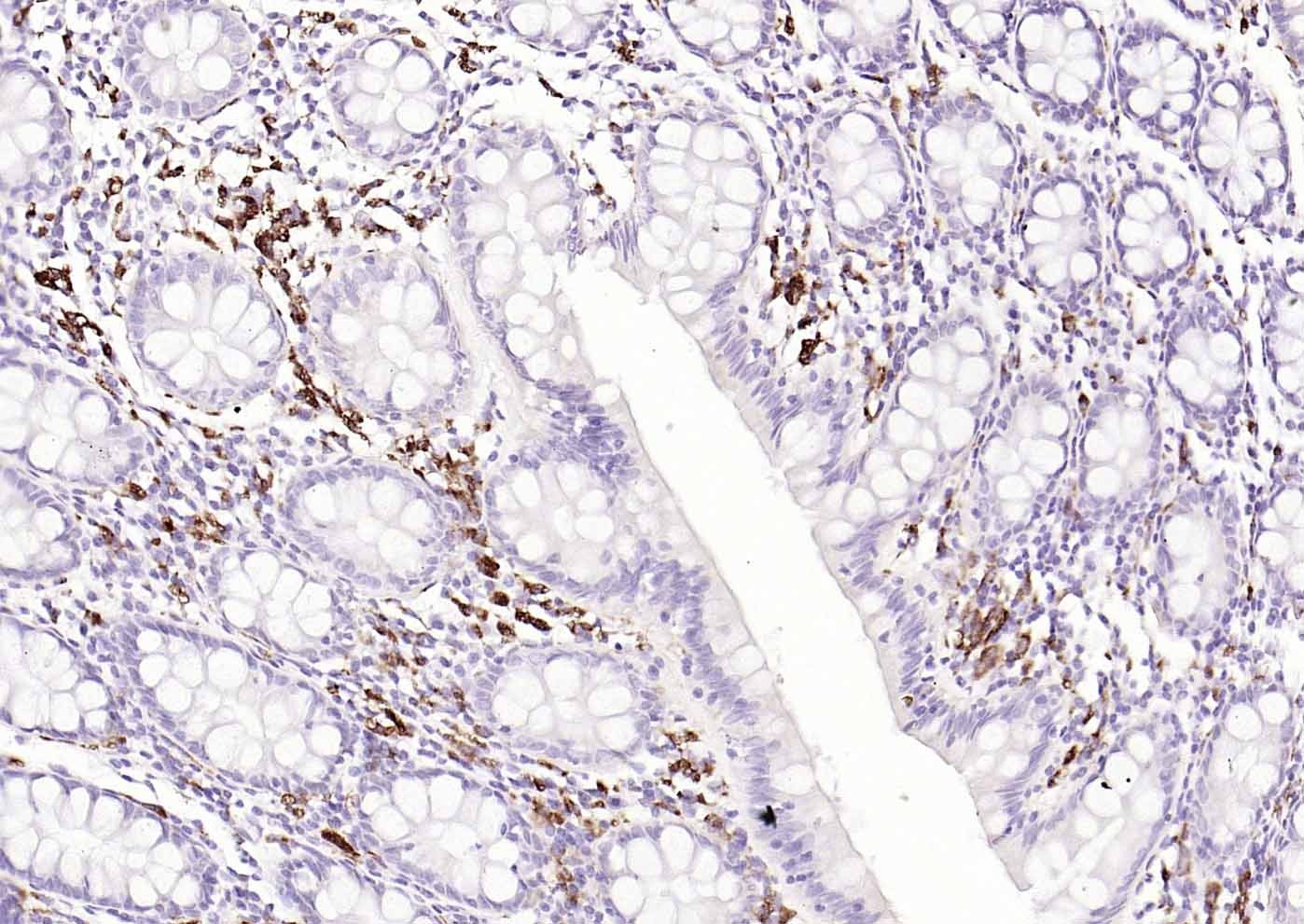
| Verified Activity | 1. Paraformaldehyde-fixed, paraffin embedded (human tonsil); Antigen retrieval by microwaving in sodium citrate buffer (pH6.0) for 5 min; Block endogenous peroxidase by 3% hydrogen peroxide for 20 min; Blocking buffer (normal goat serum) at 37°C for 30 min; Antibody incubation with (CD68) Polyclonal Antibody, Unconjugated (TMAB-00381) at 1:500 overnight at 4°C, followed by operating according to SP Kit (Rabbit) instructionsand DAB staining. 2. Paraformaldehyde-fixed, paraffin embedded (human lung carcinoma); Antigen retrieval by microwaving in sodium citrate buffer (pH6.0) for 5 min; Block endogenous peroxidase by 3% hydrogen peroxide for 20 min; Blocking buffer (normal goat serum) at 37°C for 30 min; Antibody incubation with (CD68) Polyclonal Antibody, Unconjugated (TMAB-00381) at 1:500 overnight at 4°C, followed by operating according to SP Kit (Rabbit) instructionsand DAB staining. 3. Paraformaldehyde-fixed, paraffin embedded (human lung); Antigen retrieval by microwaving in sodium citrate buffer (pH6.0) for 5 min; Block endogenous peroxidase by 3% hydrogen peroxide for 20 min; Blocking buffer (normal goat serum) at 37°C for 30 min; Antibody incubation with (CD68) Polyclonal Antibody, Unconjugated (TMAB-00381) at 1:500 overnight at 4°C, followed by operating according to SP Kit (Rabbit) instructionsand DAB staining. 4. Paraformaldehyde-fixed, paraffin embedded (Human ovarian cancer); Antigen retrieval by microwaving in sodium citrate buffer (pH6.0) for 5 min; Block endogenous peroxidase by 3% hydrogen peroxide for 20 min; Blocking buffer (normal goat serum) at 37°C for 30 min; Antibody incubation with (CD68) Polyclonal Antibody, Unconjugated (TMAB-00381) at 1:500 overnight at 4°C, followed by operating according to SP Kit (Rabbit) instructionsand DAB staining. 5. Paraformaldehyde-fixed, paraffin embedded (human liver); Antigen retrieval by boiling in sodium citrate buffer (pH6.0) for 15 min; Block endogenous peroxidase by 3% hydrogen peroxide for 20 min; Blocking buffer (normal goat serum) at 37°C for 30 min; Incubation with (CD68) Polyclonal Antibody, Unconjugated (TMAB-00381) at 1:200 overnight at 4°C, followed by operating according to SP Kit (Rabbit) instructionsand DAB staining. 6. Paraformaldehyde-fixed, paraffin embedded (human colon); Antigen retrieval by boiling in sodium citrate buffer (pH6.0) for 15 min; Block endogenous peroxidase by 3% hydrogen peroxide for 20 min; Blocking buffer (normal goat serum) at 37°C for 30 min; Incubation with (CD68) Polyclonal Antibody, Unconjugated (TMAB-00381) at 1:200 overnight at 4°C, followed by operating according to SP Kit (Rabbit) instructionsand DAB staining. 7. Paraformaldehyde-fixed, paraffin embedded (Human duodenum); Antigen retrieval by boiling in sodium citrate buffer (pH6.0) for 15 min; Block endogenous peroxidase by 3% hydrogen peroxide for 20 min; Blocking buffer (normal goat serum) at 37°C for 30 min; Incubation with (CD68) Polyclonal Antibody, Unconjugated (TMAB-00381) at 1:200 overnight at 4°C, followed by operating according to SP Kit (Rabbit) instructionsand DAB staining. ![]() ![]() ![]() ![]() ![]() ![]() ![]() |
| Application | |
| Recommended Dose | IHC-P: 1:100-500; IHC-Fr: 1:100-500; IF: 1:200-800; ELISA: 1:5000-10000 |
| Antibody Type | Polyclonal |
| Host Species | Rabbit |
| Subcellular Localization | Isoform Short: Cell membrane; Single-pass type I membrane protein. Isoform Long: Endosome membrane; Single-pass type I membrane protein. Lysosome membrane; Single-pass type I membrane protein. |
| Tissue Specificity | Highly expressed by blood monocytes and tissue macrophages. Also expressed in lymphocytes, fibroblasts and endothelial cells. Expressed in many tumor cell lines which could allow them to attach to selectins on vascular endothelium, facilitating their diss |
| Construction | Polyclonal Antibody |
| Purification | Protein A purified |
| Appearance | Liquid |
| Formulation | 0.01M TBS (pH7.4) with 1% BSA, 0.02% Proclin300 and 50% Glycerol. |
| Concentration | 1 mg/mL |
| Research Background | This gene encodes a 110-kD transmembrane glycoprotein that is highly expressed by human monocytes and tissue macrophages. It is a member of the lysosomal/endosomal-associated membrane glycoprotein (LAMP) family. The protein primarily localizes to lysosomes and endosomes with a smaller fraction circulating to the cell surface. It is a type I integral membrane protein with a heavily glycosylated extracellular domain and binds to tissue- and organ-specific lectins or selectins. The protein is also a member of the scavenger receptor family. Scavenger receptors typically function to clear cellular debris, promote phagocytosis, and mediate the recruitment and activation of macrophages. Alternative splicing results in multiple transcripts encoding different isoforms. [provided by RefSeq, Jul 2008] |
| Immunogen | Recombinant Protein: human CD68 protein |
| Antigen Species | Human |
| Gene Name | CD68 |
| Gene ID | |
| Protein Name | Macrosialin |
| Uniprot ID | |
| Biology Area | Myeloid Cells,SARS Coronavirus |
| Function | Could play a role in phagocytic activities of tissue macrophages, both in intracellular lysosomal metabolism and extracellular cell-cell and cell-pathogen interactions. Binds to tissue- and organ-specific lectins or selectins, allowing homing of macrophage subsets to particular sites. Rapid recirculation of CD68 from endosomes and lysosomes to the plasma membrane may allow macrophages to crawl over selectin-bearing substrates or other cells. |
| Molecular Weight | Theoretical: 37 kDa. Actual: 110-140 kDa. |
| Stability & Storage | Store at -20°C or -80°C for 12 months. Avoid repeated freeze-thaw cycles. |
| Transport | Shipping with blue ice. |
| Size | Quantity | Unit Price | Amount | Operation |
|---|

Copyright © 2015-2025 TargetMol Chemicals Inc. All Rights Reserved.