Shopping Cart
Remove All
Your shopping cart is currently empty
Anti-CD28 Polyclonal Antibody is a Rabbit antibody targeting CD28. Anti-CD28 Polyclonal Antibody can be used in FCM,IF,IHC-Fr,IHC-P.
| Pack Size | Price | USA Warehouse | Global Warehouse | Quantity |
|---|---|---|---|---|
| 50 μL | $220 | 7-10 days | 7-10 days | |
| 100 μL | $374 | 7-10 days | 7-10 days | |
| 200 μL | $527 | 7-10 days | 7-10 days |
| Description | Anti-CD28 Polyclonal Antibody is a Rabbit antibody targeting CD28. Anti-CD28 Polyclonal Antibody can be used in FCM,IF,IHC-Fr,IHC-P. |
| Synonyms | CD28 molecule |
| Ig Type | IgG |
| Reactivity | Mouse,Rat (predicted:Human,Chicken,Dog,Pig,Cow,Horse) |
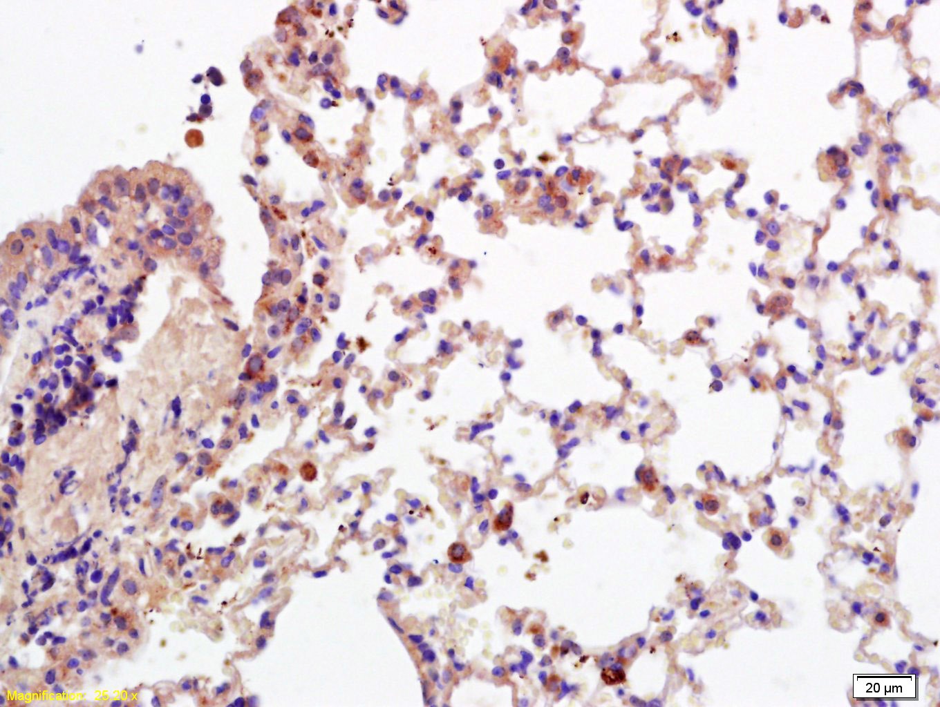
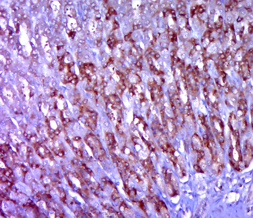
| Verified Activity | 1. Tissue/cell: mouse lung tissue; 4% Paraformaldehyde-fixed and paraffin-embedded; Antigen retrieval: citrate buffer (0.01M, pH6.0), Boiling bathing for 15 min; Block endogenous peroxidase by 3% Hydrogen peroxide for 30 min; Blocking buffer (normal goat serum) at 37°C for 20 min; Incubation: Anti-CD28 Polyclonal Antibody, Unconjugated (TMAB-00349) 1:200, overnight at 4°C, followed by conjugation to the secondary antibody and DAb staining. 2. Positive control: (mo) splenocytes (2% Paraformaldehyde-fixed) Isotype Control Antibody Antibody: Rabbit IgG; Supplier: Cell Signaling Technology; Dilution: 1 μg in 100 μL 1 X PBS containing 0.5% BSA Secondary Antibody Antibody: Goat anti-rabbit IgG-FITC; Supplier: Cell Signaling Technology; Dilution: 1:200 in 1 X PBS containing 0.5% BSA Primary Antibody Supplier: Bioss; Supplier catalog number: TMAB-00349; Dilution: 1 μg in 100 μL 1X PBS containing 0.5% BSA 3. Paraformaldehyde-fixed, paraffin embedded (rat stomach tissue); Antigen retrieval by boiling in sodium citrate buffer (pH6.0) for 15 min; Block endogenous peroxidase by 3% hydrogen peroxide for 20 min; Blocking buffer (normal goat serum) at 37°C for 30 min; Antibody incubation with (CD28) Polyclonal Antibody, Unconjugated (TMAB-00349) at 1:400 overnight at 4°C, followed by a conjugated secondary for 20 min and DAB staining. ![]() ![]() ![]() |
| Application | |
| Recommended Dose | IHC-P: 1:100-500; IHC-Fr: 1:100-500; IF: 1:100-500; FCM: 1μg/Test |
| Antibody Type | Polyclonal |
| Host Species | Rabbit |
| Subcellular Localization | Membrane; Single-pass type I membrane protein. |
| Tissue Specificity | Expressed in T-cells and plasma cells, but not in less mature B-cells. |
| Construction | Polyclonal Antibody |
| Purification | Protein A purified |
| Appearance | Liquid |
| Formulation | 0.01M TBS (pH7.4) with 1% BSA, 0.02% Proclin300 and 50% Glycerol. |
| Concentration | 1 mg/mL |
| Research Background | The protein encoded by this gene is essential for T-cell proliferation and survival, cytokine production, and T-helper type-2 development. Several alternatively spliced transcript variants encoding different isoforms have been found for this gene.[provided by RefSeq, Jul 2011] |
| Immunogen | KLH conjugated synthetic peptide: mouse CD28 |
| Antigen Species | Mouse |
| Gene Name | CD28 |
| Gene ID | |
| Protein Name | T-cell-specific surface glycoprotein CD28 |
| Uniprot ID | |
| Biology Area | CD,Regulatory T Cells,CD,NK Cell Lineage,T Lymphocytic Lineage |
| Function | Possibly involved in T-cell activation. |
| Molecular Weight | Theoretical: 25 kDa. Actual: 45 kDa. |
| Color | Transparent |
| Appearance | Liquid |
| Stability & Storage | Store at -20°C or -80°C for 12 months. Avoid repeated freeze-thaw cycles. |
| Transport | Shipping with blue ice. |
| Size | Quantity | Unit Price | Amount | Operation |
|---|

Copyright © 2015-2026 TargetMol Chemicals Inc. All Rights Reserved.