Shopping Cart
Remove All
Your shopping cart is currently empty
Anti-CCL20 Polyclonal Antibody is a Rabbit antibody targeting CCL20. Anti-CCL20 Polyclonal Antibody can be used in IF, IHC-Fr, IHC-P.
| Pack Size | Price | USA Warehouse | Global Warehouse | Quantity |
|---|---|---|---|---|
| 50 μL | $222 | 7-10 days | 7-10 days | |
| 100 μL | $374 | 7-10 days | 7-10 days | |
| 200 μL | $528 | 7-10 days | 7-10 days |
| Description | Anti-CCL20 Polyclonal Antibody is a Rabbit antibody targeting CCL20. Anti-CCL20 Polyclonal Antibody can be used in IF, IHC-Fr, IHC-P. |
| Synonyms | ST38, Scya20, MIP-3A, MIP3A, MIP-3[a], LARC, exodus-1, CKb4, chemokine (C-C motif) ligand 20 |
| Ig Type | IgG |
| Reactivity | Human (predicted:Mouse,Rat) |
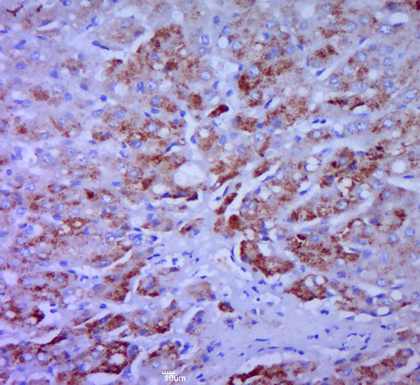
| Verified Activity | Paraformaldehyde-fixed, paraffin embedded (human liver carcinoma); Antigen retrieval by boiling in sodium citrate buffer (pH6.0) for 15 min; Block endogenous peroxidase by 3% hydrogen peroxide for 20 min; Blocking buffer (normal goat serum) at 37°C for 30 min; Antibody incubation with (CCL20) Polyclonal Antibody, Unconjugated (TMAB-00306) at 1:400 overnight at 4°C, followed by a conjugated secondary for 20 min and DAB staining. ![]() |
| Application | |
| Recommended Dose | IHC-P: 1:100-500; IHC-Fr: 1:100-500; IF: 1:100-500 |
| Antibody Type | Polyclonal |
| Host Species | Rabbit |
| Subcellular Localization | Secreted. |
| Tissue Specificity | Expressed predominantly in the liver, lymph nodes, appendix, peripheral blood lymphocytes, and fetal lung. Low levels seen in thymus, prostate, testis, small intestine and colon. |
| Construction | Polyclonal Antibody |
| Purification | Protein A purified |
| Appearance | Liquid |
| Formulation | 0.01M TBS (pH7.4) with 1% BSA, 0.02% Proclin300 and 50% Glycerol. |
| Concentration | 1 mg/mL |
| Research Background | This antimicrobial gene belongs to the subfamily of small cytokine CC genes. Cytokines are a family of secreted proteins involved in immunoregulatory and inflammatory processes. The CC cytokines are proteins characterized by two adjacent cysteines. The protein encoded by this gene displays chemotactic activity for lymphocytes and can repress proliferation of myeloid progenitors. Two transcript variants encoding different isoforms have been found for this gene. [provided by RefSeq, Sep 2014] |
| Immunogen | KLH conjugated synthetic peptide: human CCL20 |
| Antigen Species | Human |
| Gene Name | CCL20 |
| Gene ID | |
| Protein Name | C-C motif chemokine 20 |
| Uniprot ID | |
| Function | Chemotactic factor that attracts lymphocytes and, slightly, neutrophils, but not monocytes. Inhibits proliferation of myeloid progenitors in colony formation assays. May be involved in formation and function of the mucosal lymphoid tissues by attracting lymphocytes and dendritic cells towards epithelial cells. C-terminal processed forms have been shown to be equally chemotactically active for leukocytes. Possesses antibacterial activity E.coli ATCC 25922 and S.aureus ATCC 29213. |
| Molecular Weight | Theoretical: 8.6 kDa. |
| Stability & Storage | Store at -20°C or -80°C for 12 months. Avoid repeated freeze-thaw cycles. |
| Transport | Shipping with blue ice. |
| Size | Quantity | Unit Price | Amount | Operation |
|---|

Copyright © 2015-2026 TargetMol Chemicals Inc. All Rights Reserved.