Shopping Cart
Remove All
Your shopping cart is currently empty
Synonyms: TY protease, TY, MGC141966, ICH3 protease, ICH3, ICH 3 protease, ICH 3, ICERELIII, ICEREL III, ICE(rel)III, ICE(rel) III, ICE, Caspase-5 subunit p20, Caspase-5, Caspase5, caspase 5 apoptosis related cysteine protease, Caspase 5 apoptosis related cysteine peptidase, CASP5, CASP 5, Apoptosis related cysteine protease
| Pack Size | Price | USA Stock | Global Stock | Quantity |
|---|---|---|---|---|
| 50 μL | $296 | 7-10 days | 7-10 days | |
| 100 μL | $496 | 7-10 days | 7-10 days |
| Description | Anti-Caspase 5 Antibody (3R203) is a Rabbit antibody targeting Caspase 5. Anti-Caspase 5 Antibody (3R203) can be used in ICC/IF,IHC,IP,WB. |
| Synonyms | TY protease, TY, MGC141966, ICH3 protease, ICH3, ICH 3 protease, ICH 3, ICERELIII, ICEREL III, ICE(rel)III, ICE(rel) III, ICE, Caspase-5 subunit p20, Caspase-5, Caspase5, caspase 5 apoptosis related cysteine protease, Caspase 5 apoptosis related cysteine peptidase, CASP5, CASP 5, Apoptosis related cysteine protease |
| Ig Type | IgG |
| Clone | 3R203 |
| Reactivity | Human |
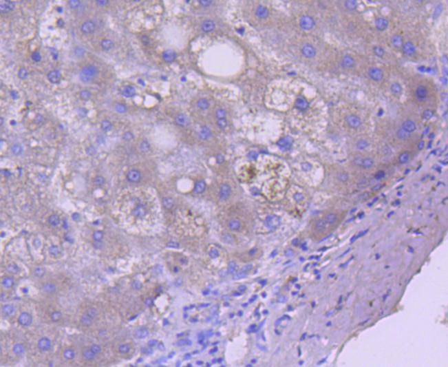
| Verified Activity | 1. Immunohistochemical analysis of paraffin-embedded human liver tissue using anti-Caspase 5 antibody. Counter stained with hematoxylin. 2. ICC staining Caspase 5 in A549 cells (green). The nuclear counter stain is DAPI (blue). Cells were fixed in paraformaldehyde, permeabilised with 0.25% Triton X100/PBS. 3. ICC staining Caspase 5 in Hela cells (green). The nuclear counter stain is DAPI (blue). Cells were fixed in paraformaldehyde, permeabilised with 0.25% Triton X100/PBS. 4. ICC staining Caspase 5 in SHG-44 cells (green). The nuclear counter stain is DAPI (blue). Cells were fixed in paraformaldehyde, permeabilised with 0.25% Triton X100/PBS. |
| Application | |
| Recommended Dose | WB: 1:500-1000; IHC: 1:50-200; ICC/IF: 1:50-200 |
| Antibody Type | Monoclonal |
| Host Species | Rabbit |
| Construction | Recombinant Antibody |
| Purification | ProA affinity purified |
| Appearance | Liquid |
| Formulation | 1*TBS (pH7.4), 1%BSA, 40%Glycerol. Preservative: 0.05% Sodium Azide. |
| Research Background | Caspases are cysteine proteases which play important roles in the activation of cytokines and in apoptosis. The ICE subfamily of caspases comprises peptides closely related to caspase-1, which promotes maturation of interleukin 1β (IL-1β) and interleukin-18 (IL-18) by proteolytic cleavage of precursor forms to generate biologically active peptides. Both caspase-4 and caspase-5 are members of the caspase-1 subfamily, and are more closely related to each other than to other homologues. Caspase-5 (also designated ICErel-III, TY, ICH-3 and caspase-12 in mouse), can cleave its own precursor, an activity that requires the cysteine 245 residue. Frameshift mutations in caspase-5 have been identified in MMP tumors of the endometrium, colon, and stomach, indicating the caspase-5 may be a new target gene in the microsatellite mutator pathway for cancer. The human caspase 5 gene maps to chromosome 11q22.2-q22.3 and encodes a protein whose expression is barely detectable in most tissues except brain, with highest expression levels being found in lung, liver and skeletal muscle. |
| Conjucates | Unconjugated |
| Immunogen | Recombinant Protein |
| Uniprot ID |
| Molecular Weight | Theoretical: 47 kDa. |
| Stability & Storage | Store at -20°C or -80°C for 12 months. Avoid repeated freeze-thaw cycles. |
| Transport | Shipping with blue ice. |
| Size | Quantity | Unit Price | Amount | Operation |
|---|

Copyright © 2015-2026 TargetMol Chemicals Inc. All Rights Reserved.