Shopping Cart
- Remove All
 Your shopping cart is currently empty Your shopping cart is currently empty
Anti-CASP9 Antibody (8M475) is a Rabbit antibody targeting CASP9. Anti-CASP9 Antibody (8M475) can be used in FCM,IHC,WB.
| Pack Size | Price | Availability | Quantity | 
|---|---|---|---|
| 50 μL | $297 | 7-10 days | |
| 100 μL | $497 | 7-10 days | 
| Description | Anti-CASP9 Antibody (8M475) is a Rabbit antibody targeting CASP9. Anti-CASP9 Antibody (8M475) can be used in FCM,IHC,WB. | 
| Synonyms | MCH6, ICE-like apoptotic protease 6, ICE-LAP6, EC 3.4.22.62, Caspase-9, Caspase9, CASP-9, Apoptotic protease-activating factor 3, Apoptotic protease Mch-6, APAF-3 | 
| Ig Type | IgG | 
| Clone | 8M475 | 
| Reactivity | Human | 
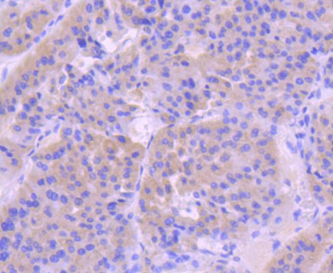
| Verified Activity | 1. Western blot analysis of pro Caspase 9 on Hela cells lysates using anti-pro Caspase 9 antibody at 1/1,000 dilution. 2. Immunohistochemical analysis of paraffin-embedded human liver cancer tissue using anti-pro Caspase 9 antibody. Counter stained with hematoxylin. 3. Flow cytometric analysis of Jurkat cells with pro Caspase 9 antibody at 1/50 dilution (red) compared with an unlabelled control (cells without incubation with primary antibody; black). Alexa Fluor 488-conjugated goat anti rabbit IgG was used as the secondary antibody.    | 
| Application | |
| Recommended Dose | WB: 1:1000-2000; IHC: 1:50-200; FCM: 1:10-50 | 
| Antibody Type | Monoclonal | 
| Host Species | Rabbit | 
| Construction | Recombinant Antibody | 
| Purification | ProA affinity purified | 
| Appearance | Liquid | 
| Formulation | 1*TBS (pH7.4), 1%BSA, 40%Glycerol. Preservative: 0.05% Sodium Azide. | 
| Research Background | A unique family of cysteine proteases has been described that differs in sequence, structure and substrate specificity from any previously described protease family. This family, Ced-3/caspase-1, is comprised of caspase-1, caspase-2, caspase-3, caspase-4, caspase-6, caspase-7 (also designated Mch3, ICE-LAP3 or CMH-1), caspase-9 and caspase-10. Ced-3/caspase-1 family members function as key components of the apoptotic machinery and act to destroy specific target proteins which are critical to cellular longevity. Poly(ADP-ribose) polymerase plays an integral role in surveying for DNA mutations and double strand breaks. Caspase-3, caspase-7 and caspase-9, but not caspase-1, have been shown to cleave the nuclear protein PARP into an apoptotic fragment. Caspase-6, but not caspase-3, has been shown to cleave the nuclear lamins, which are critical to maintaining the integrity of the nuclear envelope and cellular morphology. Caspase-10 has been shown to activate caspase-3 and caspase-7 in response to apoptotic stimuli. | 
| Conjucates | Unconjugated | 
| Immunogen | Recombinant Protein | 
| Uniprot ID | 
| Molecular Weight | Theoretical: 46 kDa. | 
| Stability & Storage | Store at -20°C or -80°C for 12 months. Avoid repeated freeze-thaw cycles. | 
| Transport | Shipping with blue ice. | 

Copyright © 2015-2025 TargetMol Chemicals Inc. All Rights Reserved.