Shopping Cart
Remove All
Your shopping cart is currently empty
Anti-Carbonic Anhydrase 2 Antibody (5N337) is a Rabbit antibody targeting Carbonic Anhydrase 2. Anti-Carbonic Anhydrase 2 Antibody (5N337) can be used in IHC,WB.
| Pack Size | Price | USA Warehouse | Global Warehouse | Quantity |
|---|---|---|---|---|
| 50 μL | $297 | 7-10 days | 7-10 days | |
| 100 μL | $497 | 7-10 days | 7-10 days |
| Description | Anti-Carbonic Anhydrase 2 Antibody (5N337) is a Rabbit antibody targeting Carbonic Anhydrase 2. Anti-Carbonic Anhydrase 2 Antibody (5N337) can be used in IHC,WB. |
| Synonyms | Cyanamide hydratase CA2, Carbonic anhydrase II (CA-II), Carbonic anhydrase 2, Carbonate dehydratase II, Ca2 |
| Ig Type | IgG |
| Clone | 5N337 |
| Reactivity | Human,Mouse,Rat |
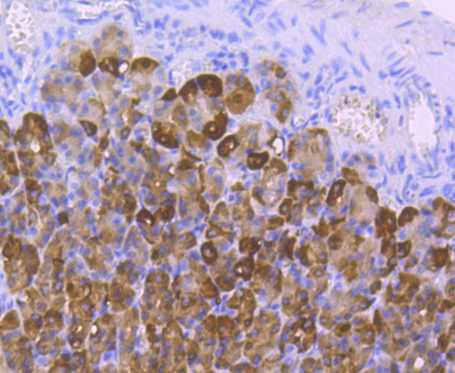
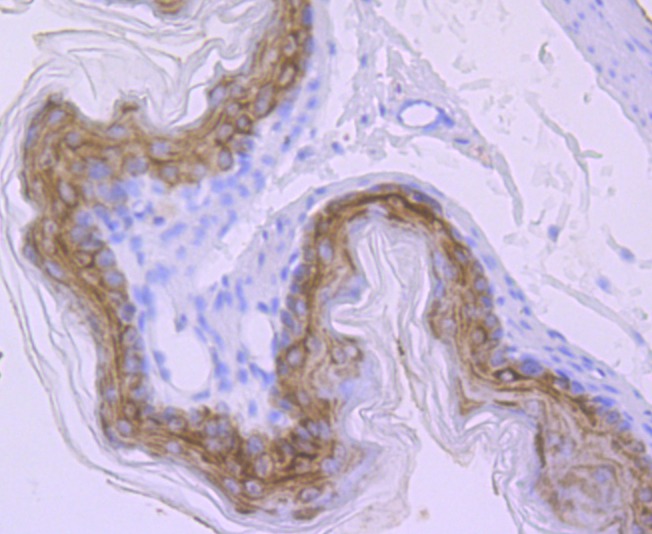
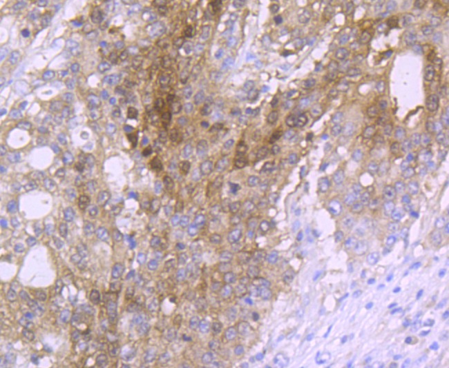
| Verified Activity | 1. Western blot analysis of Carbonic anhydrase 2 on different lysates using anti-Carbonic anhydrase 2 antibody at 1/1,000 dilution. Positive control: Lane 1: Mouse brain, Lane 2: 293T, Lane 3: Rat liver, Lane 4: Mouse colon. 2. Immunohistochemical analysis of paraffin-embedded rat stomach tissue using anti-Carbonic anhydrase 2 antibody. Counter stained with hematoxylin. 3. Immunohistochemical analysis of paraffin-embedded human stomach cancer tissue using anti-Carbonic anhydrase 2 antibody. Counter stained with hematoxylin. 4. Immunohistochemical analysis of paraffin-embedded mouse stomach tissue using anti-Carbonic anhydrase 2 antibody. Counter stained with hematoxylin. ![]() ![]() ![]() ![]() |
| Application | |
| Recommended Dose | WB: 1:1000-2000; IHC: 1:50-200 |
| Antibody Type | Monoclonal |
| Host Species | Rabbit |
| Construction | Recombinant Antibody |
| Purification | ProA affinity purified |
| Appearance | Liquid |
| Formulation | 1*TBS (pH7.4), 1%BSA, 40%Glycerol. Preservative: 0.05% Sodium Azide. |
| Research Background | Carbonic anhydrases (CAs) are members of a large family of zinc metalloenzymes that catalyze the reversible hydration of carbon dioxide. CAs are involved in a variety of biological processes including respiration, calcification, acid-base balance and bone resorption, as well as the formation of aqueous humor, cerebrospinal fluid, saliva and gastric juice. They show extensive diversity in distribution and in their subcellular localization. The human CA2 gene, which maps to chromosome 8q21, encodes CA II, a cytoplasmic protein that has the highest turnover rate and widest tissue distribution of any known human CA isozyme. The human CA4 gene, which maps to chromosome 17q23, encodes CA IV, a membrane-anchored isozyme that is expressed on the luminal surfaces of pulmonary capillaries and proximal renal tubules. The human CA9, CA12 and CA14 genes, which map to chromosomes 9p13, 15q22 and 1q21, respectively, encode transmembrane proteins that have unique patterns of tissue-specific expression. |
| Conjucates | Unconjugated |
| Immunogen | Recombinant Protein |
| Uniprot ID |
| Molecular Weight | Theoretical: 29 kDa. |
| Stability & Storage | Store at -20°C or -80°C for 12 months. Avoid repeated freeze-thaw cycles. |
| Transport | Shipping with blue ice. |
| Size | Quantity | Unit Price | Amount | Operation |
|---|

Copyright © 2015-2026 TargetMol Chemicals Inc. All Rights Reserved.